您现在的位置:主页 > 科研教学 > 专业交流 >
专业交流
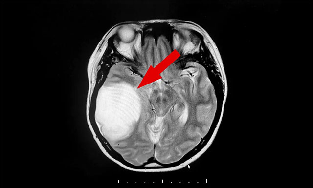
医学前沿 | 四旬女子头痛呕吐竟是颅内巨大胶质瘤 神经外科沈建康教授顺利切除
大脑主要包括左、右大脑半球,是中枢神经中最大和最复杂的结构体,是调节机体功能的器官,也是意识、精神、语言、学习、记忆和智能等高级神经活动的物质基础。大脑半球借沟和裂分为5叶:即额叶、颞叶、顶...【详细】
八旬老伯大脑中动脉重度狭窄致瘫 DSA介入及系统治疗后能生活自理
脑卒中俗称“中风”,根据世界医学知名期刊《柳叶刀》披露的数据统计,脑卒中已成为中国人第一大死亡原因,其中脑梗(缺血性卒中)约占全部脑卒中的70%,是脑血液供应障碍引起的脑部病变。颅内动脉狭窄是...【详细】
39岁男子脑梗导致偏瘫!是什么让中风越来越 “年轻化”?
39的小徐(化名)既往有高血压、冠心病多年,血压最高达收缩压180mmHg,舒张压100mmHg。正值壮年的他从事财务工作,他是家中的顶梁柱,家有爱妻和两个孩子,一家四口其乐融融,2018年不幸被一场“厄运”打...【详细】
我“帕”痛!帕金森病患者不可忽视“痛”这一症状
帕金森病 (Parkinson’s Disease,PD) 是一种常见的中老年人神经系统退行性疾病,临床特征包括动作迟缓、震颤、肌强直等运动症状和非运动症状 (NMS)。长期以来,运动症状一直是帕金森病的研究重点,但随着...【详细】
近七旬的她罹患帕金森病常做噩梦 手术后她能穿绳打结且能安稳入睡
帕金森病 (Parkinson's Disease, PD) 是中老年人常见的神经系统疾病,存在震颤、僵直、动作迟缓、走路不稳等典型的运动症状。近年来,随着大家对帕金森病的认知不断深入,包括失眠多梦等非运动症状对患者...【详细】
张琪博士团队成功应用血流导向装置 Pipeline 治疗大型复杂颅内动脉瘤
8月1日,上海蓝十字脑科医院脑血管病病区张琪博士团队成功为一位具有高破裂风险,表现为头晕症状的颅内大型动脉瘤患者,实施了先进水平的“血管导向装置 Pipeline” 技术治疗,让其转危为安。...【详细】
巨大垂体瘤导致性功能、视力下降,神经外科李士其教授经蝶窦入路成功切除
在临床上经常发现有许多患者由于闭经、不孕、月经不调而辗转在妇产科治疗 ,她们往往做了很多检查、吃了很多药物,最后到神经外科确诊为垂体瘤时,往往已经错过了对该病的较佳治疗时机;更为严重的是有些...【详细】
28岁小伙惨遭车祸昏迷20天 神经外科潘仁龙团队为其成功促醒
因交通事故导致的昏迷是一种严重的意识障碍,其死亡率非常高,长期昏迷不仅会产生肺部感染、肌肉萎缩、褥疮及尿路感染等多种并发症,而且生命体征也会时常出现急剧变化,可致命并使原发病加重,因此,必须...【详细】
五旬男子视物模糊伴视野缺损,神经外科李士其教授翼点入路为其切除颅咽管瘤
颅咽管瘤是位于鞍区或鞍旁区的生长缓慢的中枢神经系统良性肿瘤。起源于颅咽管的上皮细胞或 Rathke's囊的残留(造釉型)或由原始口凹残留的鳞状上皮细胞化生而来(乳头型)。颅咽管瘤可从垂体下丘脑轴的任...【详细】
放疗专家王晓东,让肺癌中晚期患者看到 “生命曙光”
近期,国家癌症中心发布了中国最新癌症数据,报告显示:全国每年约有1万人被确诊为癌症,一直到85岁,一个人的患癌风险为36%,其中肺癌为发病率、死亡率双率第一的癌症。...【详细】
医院简介专家教授科室介绍医院荣誉医学百科就医指南上海蓝生脑科公司