淋巴瘤是起源于淋巴造血系统的恶性肿瘤,主要表现为无痛性淋巴结肿大、肝脾肿大,由于人体淋巴系统的分布特点,使淋巴瘤几乎可以侵犯到全身任何组织和器官。然而,原发性中枢神经系统淋巴瘤 ( Primary Central Nervous System Lymphoma, PCNSL ) 在临床上较少见,仅占中枢神经系统肿瘤的0.3%-1.5%。
头晕胸闷竟查出颅内淋巴瘤
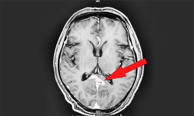
年过六旬的男性患者江某(化名),于2018年进行体检时被告知脾脏肿大,但由于当时并无不适症状,患者没有太在意。2019年11月中旬,患者突感身体不适,头晕胸闷恶心,就诊于当地医院。行头颅增强核磁检查后,诊断其为胼胝体压部及右侧丘脑淋巴瘤,当时暂未发现转移迹象。

▲ 放疗前 MRI 影像
因病灶位置较深,手术难度大、风险高。患者和家属在了解上海蓝十字脑科医院引进了先进的瑞典医科达 Synergy 数字化直线加速器,并拥有经验丰富的放疗专家团队后,便慕名来医院寻求放射治疗。
医院放疗科王晓东主任团队为患者完善各项检查,根据患者的临床资料、病理诊断和影像结果,确定患者满足放疗条件,并制定了完善周密的放疗计划。入院治疗一个多月后,患者感觉良好、食欲及大小便正常,放疗期间未出现明显不良反应。经过放射治疗,其头晕、胸闷、恶心症状得到缓解改善。

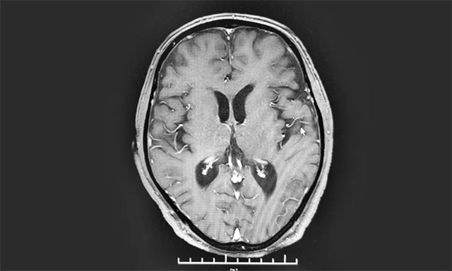
▲ 复查时病灶明显缩小
今年8月下旬,患者经出院休养后再次来院复查,病灶明显缩小。看到复查结果,患者紧紧握住了医生的手,感激之情溢于言表。
颅内淋巴瘤进展较快 应早诊断早治疗
淋巴瘤是起源于淋巴结和淋巴组织的一种恶性肿瘤,由于淋巴组织遍布全身,长在不同部位的淋巴瘤,所表现出来的症状也不一样,并且淋巴瘤的分型特别多,因此,也被称为“千面肿瘤”。
原发性颅内淋巴瘤通常也被称为原发性中枢神经系统淋巴瘤(PCNSL),临床上较少见,仅占中枢神经系统肿瘤的0.3%~1.5%。该疾病多见于中老年人。常见表现为头痛、头晕、恶心、言语不清、癫痫及肢体功能障碍等。由于其早期症状往往不明显,影像表现亦缺乏特征性,需与脑膜瘤、毛细胞型星形细胞瘤、转移瘤、胶质母细胞瘤等进行鉴别诊断。若不及时进行有效的干预控制,疾病中晚期的进展相对较快,病情可在较短时间恶化并威胁患者生命。
王晓东主任表示,颅内淋巴瘤的治疗方法主要包括手术治疗、放射治疗、化学治疗及其他治疗等。但由于颅内淋巴瘤边界不清,手术很难切除彻底,复发可能性比较大。而与其他脑肿瘤相比,颅内淋巴瘤对放疗较为敏感,一般使用放射治疗效果比较明显。
王晓东主任最后提醒,颅内淋巴瘤是恶性肿瘤,因此一定要早发现、早诊断、早治疗,才能更好地控制癌细胞的发展与扩散,才能较大程度延长患者生命,改善其生活质量。
小贴士
日常生活中,普通人群应该怎么预防颅内淋巴瘤呢?
1.养成健康的生活习惯,尽量不要熬夜,保证充足的睡眠,多参加体育运动,提高自身的免疫力,能有效预防病毒感染,不让淋巴瘤有“可乘之机”;
2.均衡饮食,少吃咸而辣的食物,不吃过热或者变质的食物,戒烟限酒;
3.保持良好心态,积极应对压力,及时调整不良情绪,防止过度疲劳。

为了更好满足肿瘤患者治疗的需求,上海蓝十字脑科医院引进了高端的放疗设备——瑞典医科达 Synergy 数字化直线加速器,具有图像引导放射治疗功能及容积旋转调强治疗功能。不仅可以对颅内淋巴瘤患者实施放疗,还可以对中晚期患者实施姑息性治疗,特别是对于具有淋巴结转移、肿瘤远处转移的患者,精准放疗是进行肿瘤局部控制的一种有效手段,使患者得到更好的治疗效果,并较大程度保护人体正常组织和器官,提高治疗安全性。
此文章仅作为临床学术研究、学术交流使用!
上一篇:他头晕并记忆力下降疑患阿尔兹海默症 潘仁龙团队行颞肌贴敷术两周出院 下一篇:妙龄女子容貌变丑,连续11年例假异常,“元凶”竟是垂体瘤
近日,上海蓝十字脑科医院神经内科任明博士为核心成员参与完成的...【详细】


