日常生活中,“撞到头”并不是什么罕见的事情,尤其老年人,因身体灵活性和平衡功能降低,磕磕碰碰着实难免,但大部分人只要没有出血和昏迷都不当一回事。其实,对于老年人而言,撞到头后即使看上去没有大碍,却可能发生“慢性硬膜下血肿”,这种看不见的伤,对老年人的危害极大!
上海蓝十字脑科医院神经内科4A病区副主任王贵平博士介绍,慢性硬膜下血肿是中枢神经系统最常见的疾病之一,多发生于老年人,且常合并多种基础疾病。每年总发病率约为1.7/10万~20.6/10万,通常有头部外伤病史,一般在外伤后1-3个月左右,出现一侧肢体乏力,感觉异常以及头晕头痛。老年人慢性硬膜下血肿的病残率和致死率远高于青年人,其病死率为1.3%~2.5%。发病初期极易被人忽视,所以被人称为“隐形杀手”。
近日,上海蓝十字脑科医院神经内科4A病区收治了一位老年男性慢性硬膜下血肿患者,经王贵平博士行脑膜中动脉介入栓塞治疗,巧妙解除患者病痛。

▲ 王贵平博士在为患者手术
老人突发言语不清肢体活动不利
王贵平博士微创介入治疗巧治慢性硬膜下血肿
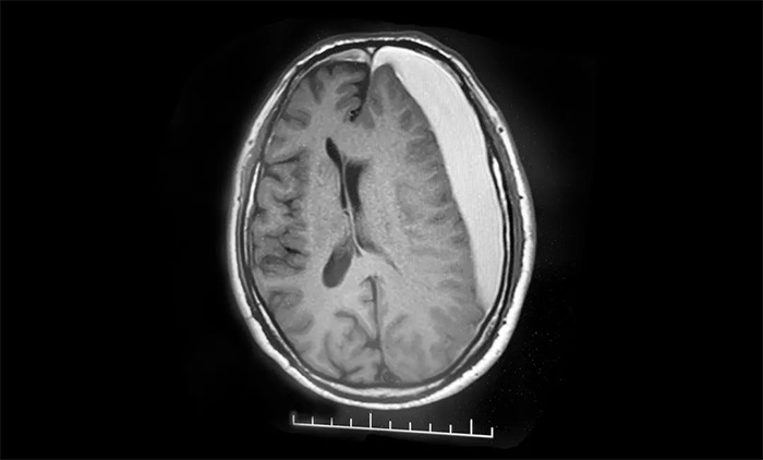
患者为老年男性。2023年12月25日中午突发言语不清,无流涎,无吞咽困难,无意识不清,当时未重视。两天后,病情加重,突发右侧肢体活动不利,摔倒,伴头晕不适,无视物模糊,无天旋地转,无恶心呕吐,无四肢麻木。经磁共振检查,诊断为左侧额颞顶部及右侧额部慢性硬膜下血肿。
王贵平博士分析指出,正是慢性硬膜下血肿压迫左侧大脑半球,导致患者出现右侧肢体活动不利等一系列神经功能障碍。在征得家属同意后,王贵平博士准备进行介入治疗选择性栓塞掉出血来源的脑膜中动脉,达到防止血肿进展,促进血肿吸收的目的。值得注意的是,脑膜中动脉的解剖结构呈多样性,要注意潜在的危险侧支血管,防止误栓塞,非常考验术者经验和技巧。
12月29日,顺利进行手术。术中,王贵平博士在介入团队协助下克服血管迂曲的困难,导管精准到达左脑膜中动脉前支、左脑膜中动脉后支,之后缓慢注入液体栓塞剂,栓塞剂逐渐向脑膜中动脉主干反流,复查造影,左脑膜中动脉无明显前向血流,手术成功。术后,患者无新发神经功能缺损。言语不清,肢体活动不利,头晕等症状逐步好转。
王贵平博士叮嘱患者,康复出院后,仍要坚持随访。

▲ 左侧额颞顶部及右侧额部慢性硬膜下血肿,并挤压脑组织导致中线右偏

▲ 术中

▲ 顺利栓塞脑膜中动脉
脑膜中动脉栓塞手术
从根本上治疗慢性硬膜下血肿
王贵平博士介绍,慢性硬膜下血肿形成主要由于颅脑外伤后,位于蛛网膜下腔的硬脑膜边界细胞、成纤维细胞及炎性细胞释放细胞因子并发生复杂的炎性反应,这些细胞因子可能影响血凝块的纤维蛋白过度溶解、血管生成因子的产生,并促进血肿周围的硬脑膜边界细胞层形成包膜,即硬脑膜侧的外膜和蛛网膜侧的内膜,其中外膜结构中存在大量新生不稳定的毛细血管,这些血管的破裂会导致硬膜下腔反复出血,从而使血肿增大。
慢性硬膜下血肿患者常将轻微的头部外伤史遗忘,临床上仅以颅内高压增高为主,局限性脑功能障碍出现较晚,因此给诊断造成一定困难,易误诊为高血压脑病、脑血管意外或颅内肿瘤。
目前,手术治疗是症状性慢性硬膜下血肿的一线治疗方法,包括钻孔引流术、锥孔引流术、开颅血肿清除术、内镜下血肿清除和硬膜下腹腔分流术。虽然手术干预清除血肿的效果明显且可靠,但术后复发率较高。有研究表明,传统锥孔引流术治疗慢性硬膜下血肿的复发率可高达33% 。对于大部分无症状和低复发风险的慢性硬膜下血肿患者可采用保守治疗。但最终仍有84%接受药物治疗的患者需要手术干预。近年来,有研究发现,通过栓塞脑膜中动脉能够阻断慢性硬膜下血肿的血液供应,从而使血肿由持续渗漏和积聚转变为重吸收。
该术式是通过微创介入方式,经股动脉穿刺将微导管置入脑膜中动脉远端,通过新型液体栓塞材料将脑膜中动脉闭塞。与传统的钻孔引流术相比,脑膜中动脉栓塞具有安全性高,操作简单,复发率低,创伤小,恢复快等诸多优势,对于高龄和全身情况差的老年患者尤其适合,有些病人甚至不用钻孔开颅手术,已经逐步成为治疗慢性硬膜下血肿新方法。
生活中怎样避免硬膜下血肿?
关键在于预防。王贵平博士提醒,要尽可能减少头部受伤的机会,例如佩戴头盔,开车时系好安全带,适量饮酒,定期检查视力等。日常应注意休息,在从事可能造成外伤的活动前咨询医生,按医嘱服药,做重要决定前跟家人商量。不要大量饮酒,注意一些抗血小板药物和抗凝药物可能增加出血风险,例如阿司匹林、氯吡格雷、肝素、华法林等。行动不便的老年人在生活中,一定要当心,老人家去哪里,最好有人陪同。
如果发生头部磕碰,此后出现反应迟钝或肢体乏力等情况,应及时到医院就诊,完善头颅CT或MRI检查。
上一篇:席刚明教授团队及时行下腔静脉滤器置入术 为患者撑起“生命保护伞” 下一篇:39岁男子突然意识不清摔倒在地 多学科协作顺利切除颅内巨大脑膜瘤
11月26日,闵行区七宝镇“一育三给”文明实践志愿服务沉网入格分...【详细】


