脑膜瘤通常呈膨胀性缓慢生长,早期可无明显体征表现。一旦瘤体压迫重要神经功能区,可出现头痛、癫痫,视觉、听觉及肢体运动障碍等症状。此时,肿瘤往往已经长得很大,若不及时治疗,病情将呈进行性加重,甚至威胁患者生命。
患者张先生(化名)是一位“85后”。2023年11月中旬,张先生无明显诱因突发意识不清,重重摔倒在地,左肩和头部着地,身体一度僵直。约1小时后,他逐渐清醒,但左肩无法活动,疼痛难忍。
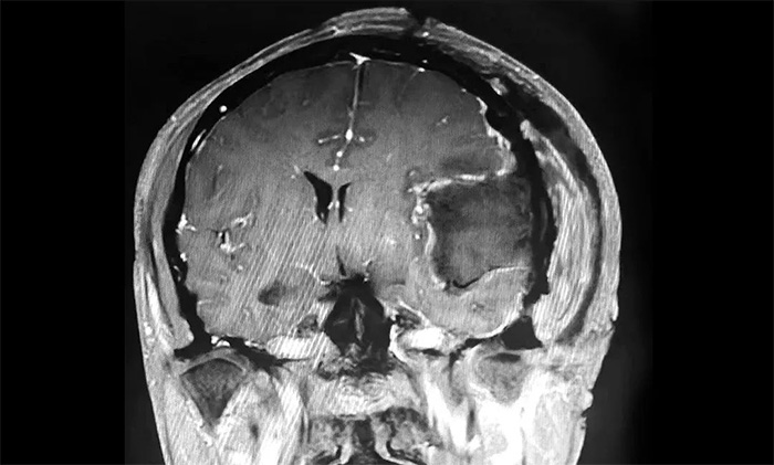
家人将其送往当地医院,经检查,肩胛骨骨折。进一步检查头颅CT,发现其左侧额颞部团块状高密度影,最大直径约6.0公分(厘米)。病灶体积巨大,患者来到上海蓝十字脑科医院寻求进一步治疗。
入院后,患者收治于神经内科4A病区。完善针对性检查后,经多学科综合会诊,患者左侧额颞部实性占位,最大直径约6.0公分,体积如鸭蛋大小,考虑左侧额颞部脑膜瘤。

▲ 肿瘤体积如鸭蛋大小
发生于额颞部位的巨大脑膜瘤,治疗方法主要为显微外科手术切除。该肿瘤不仅体积巨大,横跨多个重要脑功能区,行DSA检查发现,肿瘤包裹缠绕多根重要的动脉血管,血供十分丰富。若直接行手术切除肿瘤,容易因术中大出血而危及患者生命。

▲ DSA检查示:肿瘤血供丰富
围绕这一棘手难题,医院多学科紧密合作,由神经外科学术副院长兼神经外科6A病区于耀宇主任精心设计手术方案,与神经外科沈建康主任、4A病区医生团队等共同开展严谨的评估讨论,进一步优化完善治疗方案。
大家一致认为,患者手术指征明确,未见明显手术禁忌。由于该肿瘤血供丰富,宜采取“术前栓塞+肿瘤切除”的方案,以减少术中出血,利于肿瘤完整切除,尽可能避免意外发生。
4A病区医生团队与患者和家属充分沟通,明确手术方案的必要性和风险性,并获得充分理解、签字同意后,11月23日,医院学术副院长兼神经内科4A病区主任席刚明教授在4A病区副主任王贵平博士及介入团队协助下,首先为患者在全麻下行脑血管造影+脑膜瘤栓塞手术。手术过程顺利,复查肿瘤供血血管基本不显影,为下一步进行肿瘤切除创造了有利条件。
2023年12月7日,在进一步完善术中应急预案,做好充分准备后,沈建康主任与于耀宇主任联手,开展了高难度的巨大脑膜瘤切除手术。

▲ 肿瘤顺利切除
手术取左侧额颞顶部入路,在显微镜下,沈建康主任与于耀宇主任通力协作,仔细分离肿物周边密集的神经血管,逐步分块切除肿物及附着的硬膜。切除肿瘤后,术区瘤腔未见活动性出血。历时5小时,手术顺利完成,留取病理标本送检。

▲ 病理分析确定为纤维型脑膜瘤(WHO 1级)
术后,患者生命体征平稳,安返监护病房。经对留取的肿物样本进行病理分析,确定为纤维型脑膜瘤(WHO 1级),为良性肿瘤。
脑膜瘤虽多为良性肿瘤 切不可掉以轻心
脑膜瘤是起源于脑膜及脑膜间隙的衍生物,为颅内常见的原发性肿瘤,占颅内肿瘤的15%~20%。
2021年世界卫生组织(WHO)CNS肿瘤分类将脑膜瘤分为WHO 1~3级,包括15种病理学亚型。其中,约80%为WHO 1级脑膜瘤,约20%为WHO 2~3级脑膜瘤。

沈建康主任介绍,脑膜瘤通常生长慢病程长,早期可无明显体征表现。但其呈膨胀性生长,患者往往以头痛、癫痫为首发症状,还可因肿瘤生长于不同的脑功能区,压迫到神经和重要血管,出现视觉、听觉、嗅觉及肢体运动障碍等不同体征表现。此时,肿瘤可能已经长得很大,若不及时治疗,病情将呈进行性加重,可致颅压持续增高甚至脑疝形成,进而威胁到患者生命。
于耀宇主任则表示,该例巨大脑膜瘤手术达到肿瘤及硬膜全切,而大多数低级别脑膜瘤患者通过手术全切,能够获得良好的临床预后。个别不能全切的脑膜瘤,通过放射治疗等综合治疗手段,亦可改善生活质量,提高生存率。因此,在出现相应症状时,应及早就医检查诊断,积极干预治疗,以免贻误治疗时机。
版权声明:部分图片源自摄图网,如有版权纠纷,请及时联系医院。一经查实,将立即删除。
此文章仅作为临床学术研究、学术交流使用!
上一篇:警惕!老年人头部磕碰后可能出现慢性硬膜下血肿,上海蓝十字脑科医院微创介入新方法巧解病痛 下一篇:中年男子一觉醒来突发脑干梗死 多学科救治顺利脱险
11月26日,闵行区七宝镇“一育三给”文明实践志愿服务沉网入格分...【详细】


