生殖细胞瘤好发于颅内,是一种多见于儿童及青少年人群的恶性肿瘤。由于生殖细胞瘤对放射线高度敏感,通过手术、放射治疗等综合治疗手段,往往能取得较为理想的治疗效果。
近期,上海蓝十字脑科医院肿瘤科(放疗)王晓东主任团队,为一位年轻的“95”后生殖细胞瘤术后患者开展放疗。经过一个完整疗程的治疗后,其症状得到改善,复查影像显示病灶较前明显缩小。
年轻小伙突然双侧视野缺损
2021年8月,27岁的小刚(化名)在无明显诱因的情况下,出现双侧视野缺损,可视范围变窄,两侧出现“盲区”,就像被“黑幕”遮蔽一般。
在当地医院行MRI检查提示:鞍区及松果体区异常信号,幕上脑积水,右侧乳突少许炎症。9月,患者在外院行经蝶窦鞍区病损切除术,术后病理示:生殖细胞瘤。
上海蓝十字脑科医院肿瘤科(放疗)王晓东主任:生殖细胞瘤是来源于生殖细胞的肿瘤,好发于颅内,是一种多见于儿童及青少年人群的恶性肿瘤。颅内生殖细胞瘤以松果体区最为常见,其次为鞍上区,少数发生于基底节区,亦有患者可多处同时累及。
根据发生部位及大小的不同,生殖细胞瘤的主要临床症状也不尽相同。
发生于鞍上区
由于压迫视交叉,可引起双颞侧偏盲,视力下降、视物模糊,部分可出现视野缺损;肿瘤侵犯脑垂体,可导致内分泌障碍表现。随着疾病进展,可出现颅内压增高症状,如头痛、呕吐等。
发生于松果体区
可发生性早熟。较早出现包括头痛、呕吐、嗜睡等颅内压增高症状,部分患者会出现记忆障碍。瘤体较大者,会出现耳鸣、听力障碍、步态不稳、眼球水平震颤等小脑压迫体征。
发生于基底节区
多表现为进行性偏侧肢体无力,也可出现运动异常亢进或减退。症状会因肿瘤生长而持续恶化,晚期可出现头痛、呕吐等颅内压增高症状。
直线加速器放疗后症状缓解
近期,患者感到头痛,偶有恶心呕吐。经多方打听和亲友推荐,他了解到上海蓝十字脑科医院引进了高端放疗设备——瑞典医科达 Synergy 数字化直线加速器,并拥有临床经验丰富的专业医生团队,便慕名来到医院寻求进一步治疗。

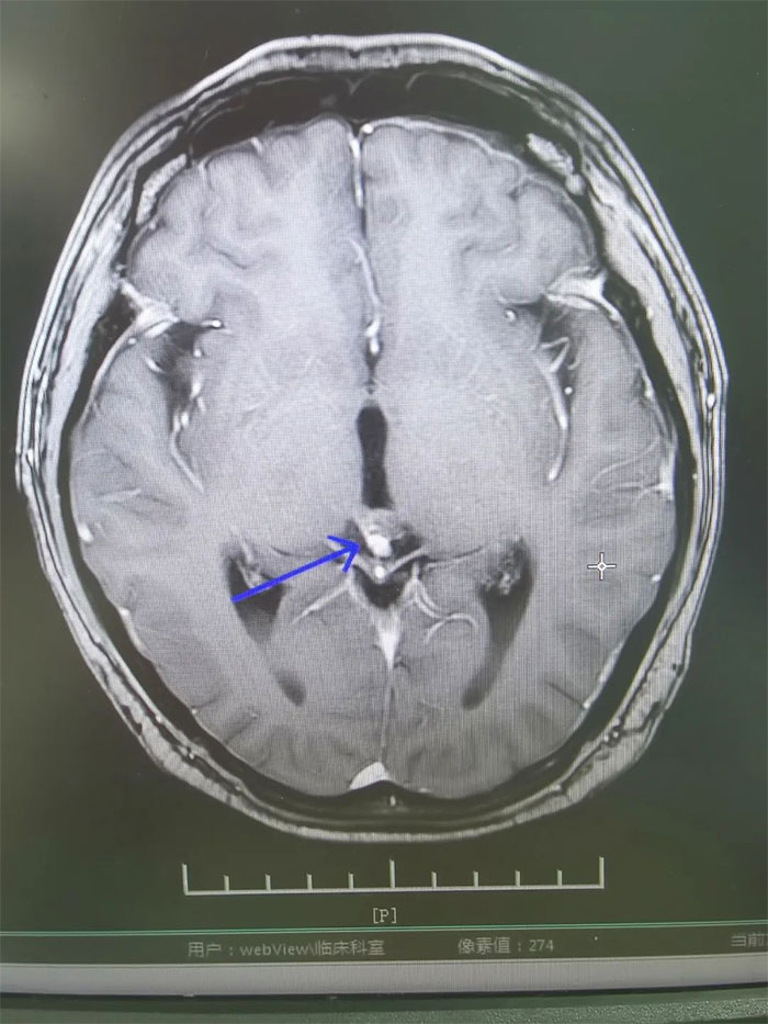
▲ 放疗前病灶影像定位
肿瘤科(放疗)王晓东主任详细了解了患者的病史,并进一步完善检查。在查体时,小刚表示近期感到头痛,偶有恶心呕吐。垂体增强MRI示:垂体术后,垂体区及松果体区占位,视交叉受压,右侧海绵窦局部受累,第三脑室扩大,梗阻性脑积水形成,提示病情进一步加重。

▲王晓东主任团队为患者开展放疗
王晓东主任指出,相较于其他恶性脑肿瘤,生殖细胞瘤对放射线高度敏感,因而放射治疗在该疾病的治疗上发挥着重要作用。针对小刚的病情,王晓东主任团队开展了审慎的讨论评估,制定了全脑全脊髓大范围照射,同步瘤床推量的放疗方案,预防肿瘤局部复发及通过脑脊液播散转移。

▲ 放疗后复查,病灶明显缩小
经过一个完整疗程的放疗,患者没有出现明显并发症,头痛、恶心呕吐症状得到缓解。复查MRI,影像显示病灶明显缩小,梗阻性脑积水消失。进一步完善检查评估后,小刚已顺利出院。眼见短时间内病情即得到控制,小刚对生活又重拾信心,表示一定会以积极的心态面对人生。
王晓东主任提醒,生长于脑部的恶性肿瘤往往病程短、进展快、危害大。根据病灶所在位置、大小及患者个体情况的差异,应在考虑采取包括手术(以解除肿瘤压迫所致神经功能损害、高颅压症状为主)、放疗、化疗等综合治疗手段的基础上,制定个性化治疗方案,并且要通过对患者的长期跟踪、定期随访,达到缓解症状、改善生活质量、延长生存期的目标。

▲ 瑞典医科达Synergy数字化直线加速器
为更好满足肿瘤患者治疗的需求,上海蓝十字脑科医院引进了高端的放疗设备——瑞典医科达Synergy数字化直线加速器。这是一款具有图像引导放射治疗(IGRT)能力及容积旋转调强(VMAT)治疗能力的高端放疗设备,可以达到准确定位、准确计划、准确治疗为特征的高能X射线放射治疗。可满足现代放疗时代的技术需求及高级应用,如三维适形放疗(3DCRT)、调强放疗(IMRT)、容积旋转调强治疗(VMAT)、立体定向放疗(SRT)等,在较大限度保护正常组织及器官的情况下,提高对肿瘤的照射剂量,缩短治疗时间,提高治疗的安全性。
此文章仅作为临床学术研究、学术交流使用!
上一篇:优质服务|锦旗背后的故事,为神经内科4A病区点赞 下一篇:优质服务 | “她们是名副其实的白衣天使,是病人的亲人”——家属致信感谢张静波主任团队
11月26日,闵行区七宝镇“一育三给”文明实践志愿服务沉网入格分...【详细】


