《北青网》2023年2月18日报道,近日,著名好莱坞巨星布鲁斯·威利斯的家人发表了一份联合声明,声明称:自从去年布鲁斯·威利斯患有失语症并希望让每个人了解他的最新情况以来,他们得到了难以置信的爱和支持。
自2022年春季宣传以来,布鲁斯·威利斯被诊断出患有失语症,并已发展为额颞叶痴呆症的诊断:“不幸的是,沟通困难只是布鲁斯所面临疾病的一个症状。虽然很痛苦,但终于得到了一种解脱明确的诊断。”
近日,上海蓝十字脑科医院神经内科7A病区张静波主任就收治了这样一位额颞叶痴呆患者。其诊断更是一波三折,最终经张静波主任抽丝剥茧,才得以确诊。目前经过对症治疗后,患者部分症状明显改善。

▲ 张静波主任在分析病情
行走不稳,反应迟钝,记忆力下降,七旬大妈怎么了?
70岁的王大妈从三年前开始,无明显诱因出现起步困难,身体前倾,行走不稳,肢体抖动,静止时抖动加重,并伴有头晕。在当地医院被诊断为帕金森病,给予改善循环、营养脑细胞、止晕、降脂稳斑,及多巴胺应用等对症处理后,患者头晕、心走不稳症状好转,遂办理出院。
但是,半年前,王大妈行走不稳症状加重,伴有反应迟钝、记忆力下降、计算力下降、说话找词困难等,如不能记起前一天饮食情况,不能正确对物体名称进行描述;王大妈做了一辈子小生意,之前计算很灵活,信手拈来,现在却总是算错账。此外,王大妈还伴有行为异常症状,如自行前往川流不息的车流中央等,让家人担惊受怕,并伴有表情淡漠,情绪低落,偶有躁动,怀疑家人讨厌自己,偶有小便失禁症状。
王大妈脑袋里到底出了什么问题?是帕金森,亦或是老年痴呆?家人百思不得其解,辗转了多家医院,同样毫无结果。慕名之下,王大妈一家来到上海蓝十字脑科医院,求医于对神经系统疑难杂症有着丰富经验的张静波主任,以期明确诊断,找到答案,好做进一步治疗。

▲ 帕金森?老年痴呆?七旬大妈病因不明
张静波主任发现端倪,排除帕金森病
入院查体,表情痴呆,神志清,言语流利,对答切题,说话声音像小鸟样;二次计算力差,近记忆力明显欠佳,眼球垂直运动障碍,双侧上视欠佳;左侧肢体肌张力略高,左侧病理征阴性。MMSE评分19分,轻度痴呆。MoCA评分15分,中度认知障碍。既往口服多巴丝肼片(治疗帕金森病药物)。
在详细了解患者病情后,张静波主任敏锐地发现端倪。“患者三年前出现帕金森症状,但是最近一年就开始出现痴呆症状,而帕金森病一般在十年之后出现痴呆症状,患者痴呆症状出现太早,而且如果是帕金森病,应该还在抗帕金森药物治疗5年蜜月期内,药物治疗应该有效果。”张静波据此判断,王大妈并不是患了帕金森病。
张静波主任介绍,帕金森病与老年性痴呆属两种不同疾病,但均好发于中老年人群,属神经系统退行性疾病,帕金森病因α-突触核蛋白聚集于某些神经核团所致的疾病,老年性痴呆属Aβ-淀粉样蛋白聚集于颞叶、额叶、海马等皮层,出现老年斑及神经元纤维缠结所致。
为了进一步鉴别诊断,张静波主任团队为患者进行了PET磁共振检查(多巴胺转运体、葡萄糖代谢、Aβ蛋白分子影像学鉴别),进一步鉴别帕金森病和老年痴呆。张静波主任介绍,除了在恶性肿瘤的诊断、治疗前评估与疗效评估等应用,PET在神经系统疾病的诊断上也应用广泛。在脑显像中,PET能提供病理生理学和分子水平信息,为神经系统疾病(尤其是神经退行性疾病和脑肿瘤等)的诊疗决策提供有力的证据。

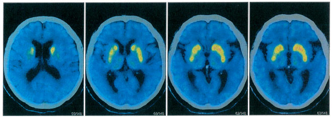
▲ 检查结果:多巴胺转运体异常
系列检查,最终确诊额颞叶痴呆
PET影像结果示:脑部18F-AV45结果:双侧大脑半球皮质Aβ(β-淀粉样蛋白)未见异常沉积。脑部18F-FDG结果:双侧额叶、双侧尾状核、中脑FDG代谢减低;双侧小脑FDG代谢减低。脑部11C- CFT结果:双侧尾状核、双侧壳核前部、双侧壳核后部DAT(多巴胺转运体)分布减低,右侧明显。
张静波主任指出,如果是帕金森病,多巴胺转运体是以进行性壳核损害为主,所以排除帕金森病。但是双侧大脑半球皮质Aβ未见异常沉积,因此也排除老年痴呆。诊断方向进一步明确,张静波主任进一步考虑为帕金森叠加综合征。帕金森叠加综合征是有帕金森病的综合征的一些临床表现,但是伴有其他的一些神经系统变性疾病的综合征,比如说患者有可能有进行性核上性麻痹、皮质基底节变性、多系统萎缩和额颞叶痴呆等疾病。最终,经会诊,确诊额颞叶痴呆合并帕金森综合征。
目前,经过治疗,患者行走不稳症状得到明显改善,说话声音也变得洪亮。
及早诊断、治疗,可延缓疾病的发展速度
关于痴呆,最常见的是“阿尔茨海默病”,占比50%以上。它的主要临床特点是早期以近事记忆损害为主,如丢三落四、前说后忘等。随着病情的发展,患者可能会逐渐出现远事记忆受损和智能减退,同时还可能出现胡言乱语、情绪不稳定、行为反常等现象。
“额颞叶痴呆”并不常见,发病率约占痴呆的20%,大多在60岁以上起病。它早期的记忆损害往往不明显,主要表现为人格和行为的改变。人格改变方面,如逐渐变得被动、话少、懒散、冷漠、自私、多疑、说谎等;行为改变方面,如变得幼稚、易发脾气、好冲动、“偷窃”等。此外,有的患者可表现为本能意向亢进。
阿尔茨海默病和额颞叶痴呆都是目前尚不能治愈的疾病,但是及早的诊断、治疗通常能延缓疾病的发展速度,因此当患者出现疾病的临床症状的时候需要及时前往医院就诊。同时在平常生活中还可多做一些益智活动或者游戏,保持健康饮食、良好的心境等,有助于预防阿尔茨海默病或额颞叶痴呆的出现。
版权声明:部分图片源自摄图网,如有版权纠纷,请及时联系医院。一经查实,将立即删除。
此文章仅作为临床学术研究、学术交流使用!
上一篇:气温骤降 五旬阿姨面肌痉挛症状加重 微血管减压术助她重拾笑颜 下一篇:七旬老伯突然双侧肢体乏力 只是脑梗“复发”吗?
头晕、耳鸣等这些看似普通的身体信号,有时也可能是颅内一种“沉...【详细】


