不是因为脸部突然剧痛麻木,陈女士可能不会想到人生中会遭遇一台高风险的脑部肿瘤切除手术。在肿瘤成功切除后,她躺在上海蓝十字脑科医院的病床上细细回想,这几年来说不清道不明的那些“不舒服”,终于算是有了说法。
头晕脸麻常感脑子里“有蚂蚁在爬”
今年46岁的陈女士早年就和丈夫来上海打拼。长期以来,她在一家鞋油制造企业的生产线打工。经常在充满刺鼻气味的环境下工作,让她的“耐受力”提高了不少。“起初不适应的时候会常常感到头晕,时间久了也就习惯了。”陈女士告诉笔者。
就在2014年,一次轻微的头部损伤后,她开始不定期出现头痛头晕的状况。“程度不是很严重,基本两三分钟左右就好了。”陈女士表示。直到前年,她先后两次前往上海某三甲医院进行检查,拍了CT片检查后并未发现有明显异常。
除了头痛头晕,这些年陈女士还常常觉得“脑子里有东西在爬在动”——有时候能感到血管神经的搏动跳跃,有时候又有些难以名状的酥麻感,就像很多蚂蚁在里面爬。
今年9月28日,半夜起来上厕所的陈女士,突然感到天旋地转,左侧头面部剧痛难忍,碰触上去也没有了知觉。虽然症状很快消失了,心有余悸的她还是马上赶到上海蓝十字脑科医院来查个究竟。
“哑铃型”三叉神经鞘瘤现形
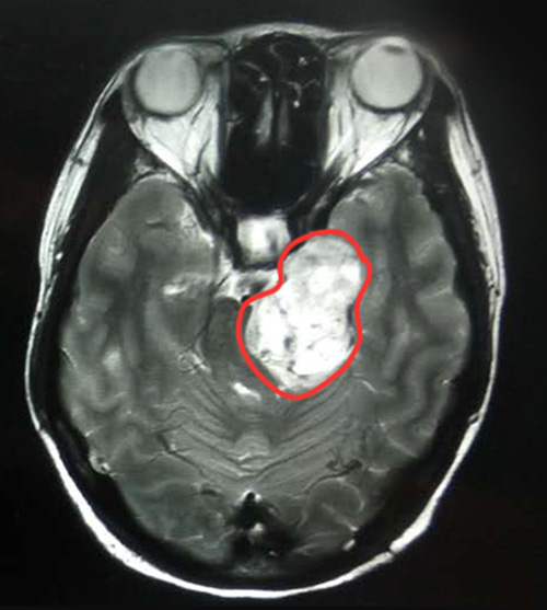
陈女士的MRI影像诊断报告单很快出来了,结果让她大吃一惊。MRI影像显示,患者左侧桥小脑角区见团块状异常信号病灶,边界清晰,大小约4.8*3.3厘米,肿瘤呈哑铃状生长,左侧三叉神经显示不清,临近脑干受压,第四脑室受压变形,是一枚体积不小的三叉神经鞘瘤。

▲MRI影像显示,左侧桥小脑角区有一4.8*3.3厘米的肿瘤
陈女士育有两个女儿,小女儿今年才15岁,夫妻俩共同打拼赚钱经营维系着生计。女主人“脑子里长瘤”,对于这个小家庭来说无疑是沉重的打击。
手术切除肿瘤是治疗三叉神经鞘瘤的首选方法。经过与亲戚的慎重商议,立即进行手术成为大家的共识。“她还年轻,孩子不能没有妈妈,花再多的钱也要治。”陈女士的姐姐告诉笔者。
柳叶轻刀干净利落
顾名思义,三叉神经鞘瘤是起源于三叉神经的肿瘤。统计显示,三叉神经鞘瘤约占颅内肿瘤的0.2%~1%,并不多见。这种肿瘤生长比较缓慢,有的病史可达10年以上,因而早期不太容易被患者察觉。
待到确诊时,肿瘤体积往往已比较巨大,治疗难度及风险显著增加。
三叉神经鞘瘤最常见的症状为同侧面部感觉障碍,通常为麻木,也可有疼痛或感觉异常。
虽然这种肿瘤多为良性,但手术风险和难度却非常高。上海蓝十字脑科医院神经外科专家沈建康教授介绍,三叉神经鞘瘤可分为颅中窝型、颅后窝型和骑跨于颅中和后颅窝的“哑铃型”。患者陈女士被查出的三叉神经鞘瘤就属于最为少见的“哑铃型”肿瘤。
由于患者的脑干已受压变形,病灶骑跨中后颅窝,手术风险和难度都非常高。加之桥小脑角区重要神经血管非常多,稍有不慎,患者将出现严重的神经功能障碍。
切除三叉神经鞘瘤,首先要考虑的是肿瘤大小、部位与周围结构的关系以及患者的条件。沈建康教授表示,切除“哑铃型” 三叉神经鞘瘤,有些主刀医生会考虑分两次手术,对肿瘤分步切除。
在术前讨论时,以沈建康教授为首的,有着丰富临床经验的专家团队经过认真分析研讨,决定对患者实施经颞下——天幕入路,一次性切除肿瘤的手术方案,尽可能减轻患者的痛苦和压力。

▲沈建康教授在显微镜下为患者切除了肿瘤
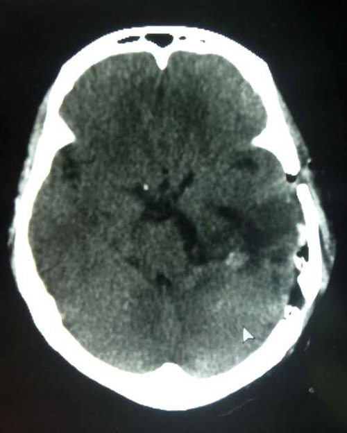
手术台上,全麻状态下的患者安稳地沉睡着。沈建康教授眼前的肿瘤质地柔软,呈灰褐色。肿瘤已压迫“生命中枢”脑干,所幸与脑供血动脉黏连并不紧密。沈建康教授凭借娴熟的手术技艺,在医院先进的高倍显微镜下精雕细刻,轻轻牵拉、小心剥离,历时约5个小时,分块将肿瘤切除。术后通过CT复查,已不见肿瘤踪迹,手术取得了成功。

▲患者术后CT已不见肿瘤踪影
如今,陈女士正在逐渐恢复,身体状况良好,不日将顺利出院。沈建康教授表示,肿瘤切除后,神经系统的功能恢复好转需要时间,患者通过营养神经和康复物理因子辅助治疗,有望尽快回到正常生活。
此文章仅作为临床学术研究、学术交流使用!
上一篇:47岁男子受帕金森折磨11年 DBS手术后重拾笑颜 下一篇:嘴唇发乌,是心脏病吗?原来是“它”在作祟
11月26日,闵行区七宝镇“一育三给”文明实践志愿服务沉网入格分...【详细】


