在照顾孩子这件事情上,容不得一点马虎,这可不是危言耸听。孩子不同于成年人,不能准确感受和正确表达,孩子生病的时候,由于表达遗漏,很多家长都会忽略掉孩子病情的严重性。有时候就是家长的这么一点马虎,或者因为在医院误诊对疾病的错误判断而导致病情的恶化,小病就变成了大病,比如,脑膜炎被当成感冒,最终影响到孩子的健康,最后孩子受苦,家长也跟着受累。
现年29岁的张女士,就是因为儿时的一次病毒性脑膜炎,被当成感冒耽误治疗而留下癫痫隐患,最终癫痫发病,被折磨14年。这让作为父亲的张先生非常自责,每当看到女儿发病倒地抽搐时,他的内心充满煎熬。
据悉,脑膜炎是常见的颅内感染性疾病,也是一种严重的致死性疾病,目前全球每年仍有500万人罹患各种脑膜炎,是第6大致死性感染性疾病。
“脑膜炎病情进展快,其症状出现的第一个24小时内,如果不能得到及时处理,可导致严重的后果,甚至危及生命。”上海蓝十字脑科医院功能神经外科专家杨忠旭教授表示,其后遗症包括记忆力丧失、耳聋、失明、癫痫、瘫痪和大脑损伤,可持续影响患者一生。

▲ 警惕脑膜炎,会导致癫痫
中枢神经系统(CNS)感染是导致癫痫发作的重要原因之一
杨忠旭教授介绍,癫痫是一组由于脑神经元突然、间歇性、过度异常放电所引起的短暂的大脑功能失调的慢性疾病,具有突然发生、反复发作的特点。从病因角度考虑癫痫有特发性和症状性之分,症状性癫痫可由许多疾病引起。其中中枢神经系统(CNS)感染是导致癫痫发作的重要原因之一。
CNS 感染包括细菌性、病毒性、真菌性和寄生虫性感染,都可能导致癫痫发作。CNS 感染后是否出现癫痫与病因、病变部位、病变性质、临床表现、体质特点有关。
细菌性脑膜炎:在存在早期癫痫发作的细菌性脑膜炎中,20年癫痫发作的风险为13%。肺炎链球菌脑膜炎癫痫风险最高,14.8%。脑炎:癫痫是单纯疱疹病毒性脑炎常见的并发症,平均在9个月后发作。风险包括早期出现癫痫,波及海马区域引起海马兴奋性升高,长期持续存在的感染,神经免疫反应等。
在各种脑炎和脑膜炎的急性期,皮质静脉或动脉的血栓形成、脑水肿、病原菌的毒素和代谢产物的积聚,均能通过有关机制影响神经细胞膜的稳定性, 而成为致痫因素。在感染痊愈后,脑膜和皮质间的瘢痕形成是产生癫痫的重要因素。化脓性脑膜炎中以肺炎双球菌性脑膜炎遗留癫痫的可能性较大。各种感染病因合并脑血管病变、硬膜下积液时亦可遗留癫痫发作;而一般非化脓性脑膜炎,或基底节、脑干、小脑的炎症,并发癫痫发作及后遗癫痫的概率较小。发生在脑膜炎早期,容易控制的癫痫发作与脑膜炎后遗留癫痫的关系不大,而部分性发作和难以控制的发作通常提示有血管闭塞性脑梗死或软化,提示预后不良。脑实质感染、昏迷严重(Glasgow 评分<7 分) 、频繁抽搐发作、肢体瘫痪、影像学有脑实质破坏者易后遗癫痫发作。慢性颅内感染中结核性脑膜炎是比较常见的癫痫发作的因素。各种寄生虫性颅内感染亦是癫痫的重要病因,如脑囊虫病、脑型血吸虫、脑型肺吸虫病等都可以引起癫痫发作。其中脑囊虫病较多见,是寄生虫病中导致癫痫的常见原因。脑脓肿也常引起癫痫发作,有时癫痫发作可作为其惟一临床表现。
随着计划免疫和预防接种的普及与深入,以及抗生素的广泛应用,在 CNS 感染谱中,细菌性脑膜炎与结核性脑膜炎的发病率呈逐年下降趋势,非细菌性 CNS 感染发病率却有所上升,有的甚至呈局部流行趋势,而且不断有新的病原出现。目前最常见的引起 CNS 感染的病原为各种类型的病毒,可导致脑炎或脑膜脑炎。

她被癫痫折磨14年 源于儿时的一次“感冒高烧”
1999年夏天,刚上小学一年级的张小妹某天晚上突发高烧,父亲张先生以为孩子感冒发烧,便咨询了村里的医生,医生说无大碍,自己会好的,老张就没当回事。但是孩子接连两天高烧不退,张先生才意识到问题严重,急忙去镇医院,镇医院的医生诊断为感冒,连续为她挂了一周的盐水也不见好转,并且病情加重,“当时,情况越来越糟糕,她身体都僵硬了!”一家人赶忙将张女士送到北京抢救,被确诊为病毒性脑膜炎。经过治疗,张小妹总算捡回一条命。
这之后看似一切风平浪静,但其实“暗流涌动”,埋下了隐患。在小张上初中期间,一次体育课时,正在跑步的她一头栽倒,身体抽搐,口吐白沫,把同学老师都吓了一跳。原本以为女儿躲过一劫了,这让张先生始料未及。自那时起,张先生便带着女儿四处求医,开始接受药物治疗。期间,虽然他也了解到手术治疗,但是由于始终担心开颅手术风险大,便还是坚持让女儿服药。为此,张小妹的疾病便一直延续至今,病情不断加重,特别是在生理期和感冒时容易发作,就连带小孩做家务都成了奢望。
看着女儿饱受折磨,张先生内心无比煎熬,最终他经过咨询后,今年8月初,下定决心求医于上海蓝十字脑科医院,找到杨忠旭教授。
结合张女士的病史和各项检查,杨忠旭教授指出,考虑张女士为脑膜炎导致的癫痫,并且经系统内科药物治疗不佳,确诊为药物难治性癫痫。应用现代神经影像学技术和电生理监测技术,能准确定位导致癫痫发作的“责任病变”,手术指征明显,未见明显手术禁忌症。杨教授为她制定了周全的手术方案并做好充分准备。

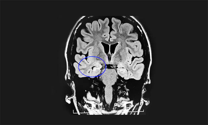
▲ 通过系列检查,最终明确致癫灶位
8月16日,在征得家属同意后,杨忠旭教授在崔丽华主任脑电监测辅助下为患者进行了手术。切除患者张女士相关病变区域后,再次脑电监测显示脑区无异常放电,手术成功。目前,张女士正在康复中。
术后,再见张女士,她的状态不错,正和旁边陪她的父亲聊天。“现在做了手术,跟正常人一样,出院后能做家务,送孩子上学就更好了!”父亲张先生欣慰地说到。

▲ 杨忠旭教授正在为患者手术
脑膜炎早期诊断很重要,接种疫苗是预防的主要途径
杨忠旭教授表示,脑膜炎发病初期多表现为发热、头痛、疲倦、肌肉酸痛及皮疹等非特异性的症状,很容易会被误以为是“感冒”或一般的问题来自行处理,往往就耽误了治疗。随着疾病的进展,脑膜炎的特殊症状才会逐渐出现:头疼程度会加剧,并伴随着脖子发僵,剧烈的喷射性呕吐;意识模糊,谵妄,甚至昏迷状态;一些病人还会出现癫痫发作、精神行为异常、瘫痪等问题。
脑膜炎诊断主要通过血液检查、腰椎穿刺与颅脑影像学检查。血液检查可以评估全身的感染和炎症情况,并找到致病菌的蛛丝马迹;腰椎穿刺可获取脑脊液进行检测,来评估脑膜炎症的具体情况;颅脑影像学可以让我们更直观地了解脑膜和脑组织遭受感染或损伤的情况。
日常生活中如何预防脑膜炎?杨忠旭教授表示,建议大家按要求接种针对各种病毒的疫苗(麻疹、流行性腮腺炎、风疹、乙脑疫苗等),这是预防相关病毒所致脑膜炎的主要途径。此外,要养成良好的生活习惯:锻炼身体,增强机体抵抗力。勤开窗通气,保持室内空气新鲜;饭前便后要洗手;均衡饮食, 不吃生冷、变质的食物;远离猫、狗等小动物;在疾病流行季节,尽可能少去人员密集的场所,减少在拥挤、封闭环境中的时间。
杨忠旭教授提醒,在流行季节提高警惕,出现发热、头痛、呕吐、甚至抽搐等症状时,要及时到正规医院就诊,做到早发现、早诊断和早治疗。
此文章仅作为临床学术研究、学术交流使用!
上一篇:医学前沿 (脑复苏系列一) | 神经外科潘仁龙团队能否实现永不言弃慈父母的心愿吗? 下一篇:三面锦旗背后的故事 | 壮汉不慎一跤跌 “瘫” 他真的要在病榻上度过余生吗?
11月26日,闵行区七宝镇“一育三给”文明实践志愿服务沉网入格分...【详细】


