《上观新闻》2025年9月1日报道,今年,上海首次出现8月中下旬高温大满贯,上海今年8月高温总日数达27天,超过2024年刚创的26天的纪录,成为1873年以来高温最多的八月。预计9月3日以后,副热带高压会再度加强,高温天气也将随之“返场”,重回35℃高温线,上海将遭遇罕见“秋老虎”天气。持续酷热不仅让人体感不适,更为冠心病患者带来一场无声的“心血管考验”。
喉咙痛以为是小病 背后竟是心梗危机
《新民晚报》2025年8月20日报道,61岁的卞先生,前几天夜里突然感觉喉咙痛,一开始,他没太在意,毕竟以前也有过喉咙痛的情况,以为就是普通的上火或者炎症。可这次疼痛越来越剧烈,实在受不了了,卞先生才在家人陪伴下去了当地医院。谁能想到,刚输上液,他就突然眼前一黑,晕了过去,心脏骤停。医生们迅速展开抢救,经过一系列检查,确诊卞先生是急性心肌梗死。
上海蓝十字脑科医院8A神经内六科主任、心血管内科专家张庆成博士指出,很多人认为冬季才是心血管疾病的“高发期”,误以为夏季相对安全。事实恰恰相反——夏季高温对心血管的威胁更为隐蔽和持久,危险程度甚至更高。心血管疾病患者夏季更应提高警惕,采取科学防护。

▲ 张庆成博士在开展学术讲座
为什么夏季更易发生心梗?
心肌梗死,即“心梗”,是由于冠状动脉(心脏供血血管)因粥样硬化等原因突然严重狭窄甚至阻塞,导致心肌严重缺血、缺氧而坏死的危重疾病。该病可引发心力衰竭、恶性心律失常、心源性休克乃至猝死,病情进展迅猛,危及生命。
张庆成博士表示,最高气温每上升1℃,心脑血管疾病发病风险约增加6%。夏季心梗高发主要与三大因素相关:
大量出汗导致血液浓缩、黏稠度升高,易形成血栓;
炎热引起外周血管扩张,血压下降,冠状动脉供血减少;
高温导致交感神经兴奋,心率加快、血压上升,心肌耗氧量增加,心脏负荷加重。
不典型症状易被忽视,及时识别是关键
心梗最典型的症状是剧烈胸痛,多位于胸骨后或心前区,表现为压榨性、紧缩性或烧灼样痛,常持续超过15~30分钟,休息或含服硝酸甘油无法缓解,多伴有大汗、恶心、呕吐、呼吸困难或濒死感。
但张庆成博士特别提醒,心梗不一定表现为胸痛,心脏缺血时疼痛可能“蔓延”至其他部位,如卞先生所表现的喉咙痛。还有患者会出现头痛、后背痛、颈痛、牙痛,甚至恶心呕吐等类似胃肠炎的症状。尤其是有高血压、糖尿病等基础疾病者,若出现不明原因的上半身不适,伴随头晕、冷汗,需高度警惕心脏问题。

▲ 警惕头痛、颈痛等心梗不典型症状
把握“黄金120分钟”,心梗急救必须争分夺秒
从血管阻塞到心肌开始坏死仅约30分钟。再灌注治疗(开通血管)的黄金时间窗为发病后120分钟内,每延迟一分钟,心肌坏死增多,死亡风险大幅上升。
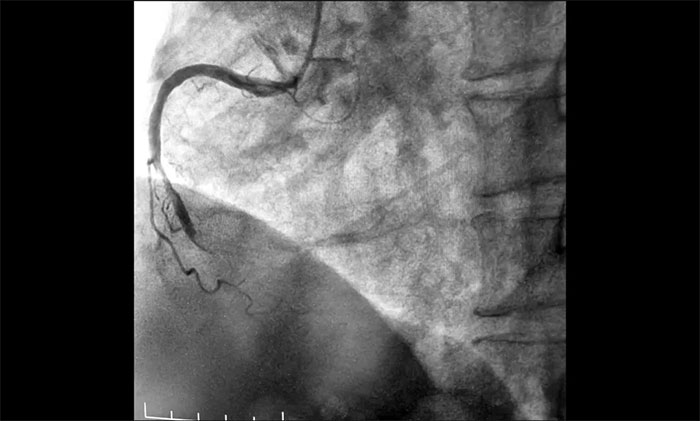
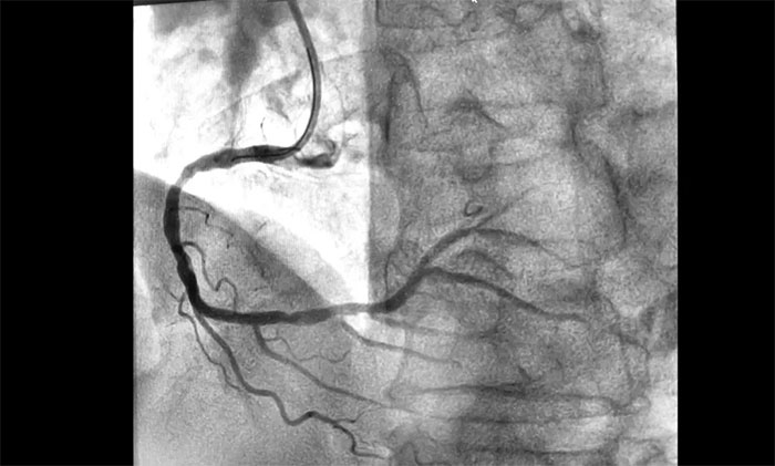
近日,上海蓝十字脑科医院为一名急性心梗患者实施介入手术。该患者因“间断心前区不适伴咽部束缚感7小时,全身乏力3小时”入院,综合其病史和相关检查确诊其为急性下壁心肌梗死,随时有猝死风险,手术指征明确。经球囊扩张和支架置入,开通闭塞血管,助其恢复心肌供血。

▲ 术前,前降支、回旋支、右冠状动脉严重狭窄及完全闭塞

▲ 术后,血管顺利开通
若疑似急性心梗,请立即采取以下措施:
1. 立即拨打120;
2. 让患者静卧休息;
3. 保持其呼吸道通畅;
4. 谨慎用药:如患者清醒且无低血压等禁忌,可在医务人员指导下舌下含服硝酸甘油(最多3片,每5分钟1片);如无阿司匹林过敏或无活动性出血,可嚼服300mg阿司匹林;
5. 尽量安抚患者情绪;
6. 做好心肺复苏准备(CPR)。
夏日护心指南:科学预防远离心梗
科学补水:高温天应少量多次饮水,每日不少于2000毫升,可选择白开水、淡盐水或绿茶,避免含糖饮料和酒精饮品。不可一次性大量饮水,以免血压骤降。
饮食清淡:多摄入新鲜蔬果(如黄瓜、番茄、苹果、香蕉),补充维生素和矿物质;减少高盐、高脂、高糖食物;保证优质蛋白如鱼、虾和豆制品。
适度运动:选择清晨或傍晚进行散步、慢跑、太极拳等低强度运动,时长约30分钟,每周3~5次,运动时注意补水防暑。
避免温差剧烈:室内外温差不宜超过8℃,避免长时间待在空调房,定时通风。从外进入室内应先适应温度过渡,避免血管骤然收缩。老年人建议洗温水澡。
定期监测血压:尤其夏季血压易波动,应早晚各测一次并记录,异常时及时就医。严格遵医嘱服药,不随意停药或调量。
版权声明:部分图片源自摄图网,如有版权纠纷,请及时联系医院。一经查实,将立即删除。
专业指导:张庆成 主任医师 教授 医学博士
此文章仅作为临床学术研究、学术交流使用!
上一篇:健康科普 | 视力骤降、头痛不止?警惕巨大垂体瘤!李士其教授详解手术禁区攻坚策略 下一篇:卢云鹤博士:脑出血并非中老年“专利”,年轻人莫名头痛需警惕
近日,在由市、区级行业协会、护理学会、医学会等主办的多项健康...【详细】


