近日,上海蓝十字脑科医院6B病区收治了一名65岁的脑出血昏迷患者。
脑出血是临床常见的一类脑血管疾病,属于出血性脑卒中,是指非外伤性的脑实质内出血,占全部脑卒中的20%~30%,急性期病死率为30%~40%。
在潘仁龙主任团队及9楼神经外科重症监护室团队,历时半个多月的精心救治和护理下,该患者最终成功苏醒,转危为安。
突发脑出血昏迷 辗转千里赴沪求医
老王是一名退休石油工人,在胜利油田奋斗了一辈子的他,本该是含饴弄孙、安享晚年的时节,可叹人生不如意十之八九。
6月29号凌晨,老王突发失语伴意识模糊,恶心呕吐、呈喷射性。家人当即将他送往东营市当地医院急诊。
查头部CT提示脑出血,急行“血肿清除术”,术后转重症监护室。由于老王手术后意识持续昏迷,只能经口气管插管,接呼吸机辅助呼吸。之后,还迫于无奈进行了气管切开术。
治疗一个月后,老王仍然处于昏迷状态。“当时医生说,有可能成为植物人,永远也醒不来,要我们做好思想准备!”老王儿子谈到。
考虑到老王身体一向硬朗,年纪也不算大,自己又在上海工作,照应起来也便利,在和家人商议后,小王最终决定带着父亲到上海求医,毕竟上海的医疗资源更为集中、也更为丰富。
8月1日,紧急转运近2000里的老王,顺利转入上海蓝十字脑科医院,收治于神经外科6B病区。

▲ 千里转运上海蓝十字脑科医院
多学科联合会诊 制定详尽救治方案
入院后,潘仁龙主任团队对老王的病情,进行了全面的检查和详细的评估:神志不清,其GCS(格拉斯哥昏迷指数)评分8分,重度意识障碍,头部术后愈合良好;气管切开状态,接呼吸机辅助呼吸;双肺呼吸音粗,可闻及明显的痰鸣音;四肢肌张力查体不配合。
除此之外,老王还有家族性二级高血压,Ⅱ型糖尿病,均未服药控制。潘仁龙主任指出,患者入院时有肺部感染,伴有重症肺炎。脑出血患者大多病情危重,一旦出现肺部感染,导致呼吸困难,极易引发低氧血症和酸碱平衡失调。
低氧血症可引起脑血管自动调节功能障碍,导致脑血流量减少,使症状加重;酸碱平衡失调可以加重神经细胞的代谢紊乱,使脑水肿加重。两者共同作用,可对全身各器官系统功能造成损害。因此,改善脑出血患者的预后,积极预防和治疗肺部感染,是脑出血患者预后的关键因素。

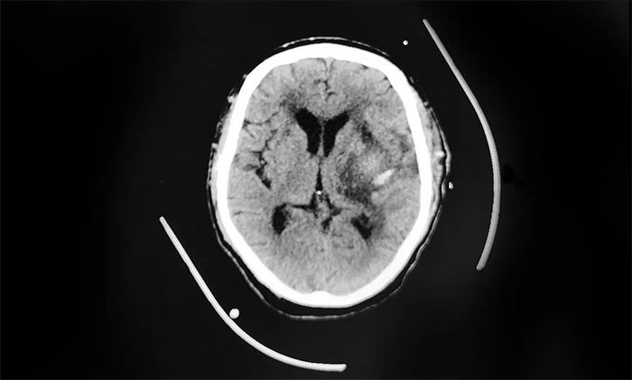
▲ 左侧基底节区出血
面对严峻的形势,潘主任团队针对老王的严重病情,制定了完善周密的治疗方案:严密监测其病情变化,对其进行营养神经、护胃等对症治疗;针对其肺部感染的情况予以抗感染治疗,并叮嘱护理人员仔细护理,定时吸痰扣背。
同时,潘仁龙主任还特邀高压氧科、中医科、康复科专家一起会诊,制定相应的辅助治疗计划,并严密观察患者病情变化,制定各项应急预案。
成功苏醒后 家属万分感激
经过多学科医护团队半个多月的精心护理与细心照顾,老王的病情明显好转,肺部感染得到良好控制。
目前,他已经脱离呼吸机,恢复自主呼吸,意识基本恢复,逐步清醒,能够认识医生护士;可以完成部分遵嘱动作,语言方面也可以说一些简单的词句,可与医生护士进行简单的交流;肢体功能仍在进一步康复治疗中。
为了让家属及时了解情况,缓解无法探视的焦虑,潘仁龙主任团队通过手机视讯、语音电话等方式,为他们搭建起了亲情沟通的纽带。每次,潘仁龙主任总是饱含热情又满怀耐心地,将一个个病情改善的喜讯传递给家属,让他们切身感受到阳光和希望。
“感谢潘主任,谢谢你们……”当王先生的儿子从手机里看到父亲已苏醒过来时,禁不住喜极而泣,嘴里还忙不迭地向潘主任和医护团队道谢

▲ 在精心治疗下苏醒
再次谈起王先生的病因时,潘仁龙主任说道,患者本身患有高血压,是诱发脑出血的首要原因;再一个,他平时又不按时服药降压,就诱发了脑出血。
目前中国高血压的发病日趋年轻化,不规律服药是非常危险的。潘仁龙主任提醒广大高血压患者,一定要遵医嘱按时服用降压药,平时更要学会自我减压,养成良好的生活作息习惯,以降低由高血压所引发疾病的伤害。
解除“沉睡魔咒” 上海有个脑复苏中心

▲ 脑复苏中心揭牌仪式
上海蓝十字脑科医院在昏迷患者促醒,特别是“植物人”患者的促醒中,积累了较为丰富的经验,尤其是在医院应用脊髓神经电刺激技术(SCS)对“植物人”患者进行促醒治疗后,其促醒率明显得以提高。
近年来已经成功开展了10例脊髓电刺激电极植入手术,其中3例封闭气管,5例意识清醒,2例昏迷患者恢复到浅意识状态(正在康复中)。
随着脑复苏中心的发展,越来越多的患者慕名前来,最终在上海蓝十字脑科医院找回了康复的希望,像“宁波好人”莫钢廷、“电大好院长”郑元齐等。
脑复苏学科是医院的重点学科,以潘仁龙主任、李士其教授等为代表的专家团队,不断探索脑促醒治疗方法,积累了较为丰富的临床经验,形成了以神经外科、重症医学科、电生理等多学科协作,脊髓刺激、高压氧、亚低温治疗等多手段结合的特色治疗体系。也正因此,医院才能有幸成为华东理工大学脑机接口技术临床应用基地。
“让更多的昏迷患者苏醒过来!”这是潘仁龙主任常常鞭策自己和团队的一句话。为此,潘仁龙主任团队始终没有停止探索、学习国内外前沿技术,只希望能救治更多长期昏迷患者,帮助他们早日苏醒。
此文章仅作为临床学术研究、学术交流使用!
上一篇:“黑暗”从蝶鞍区升起 MDT+立体定向穿刺让生活重现“光明” 下一篇:5年生理期异常 24岁青年女子甩脱垂体瘤烦恼
近日,上海蓝十字脑科医院在学科建设与人才引进方面取得重要进展...【详细】


