脑动静脉畸形(Arteriovenous Malformation,AVM)是以动脉和静脉之间的异常连接为特征的发育不良的血管缠结。通常,扩张的动脉连接到由动脉化静脉引流的畸形血管巢,畸形血管巢在动脉和静脉系统之间形成一个高流量、低阻力的分流。这种通过供血动脉、畸形血管巢和引流静脉的病理生理流动状态被认为是导致脑内出血 (ICH) 的重要原因。
上海蓝十字脑科医院肿瘤科(放疗)头部伽玛刀组主任陈琦介绍,脑动静脉畸形是脑血管发育异常所致畸形中最常见的一种。根据畸形血管团直径的大小,临床可分为大、中、小型病变,这个血管团还会随着年龄的增长而长大。
脑动静脉畸形发病原理是因畸形的血管破裂导致脑出血,可急性发病。临床上,脑动静脉畸形患者最常见的症状主要包括:
1.出血
多发生于年龄较小者,可表现为蛛网膜下腔出血、脑内出血或硬膜下出血,常于体力活动或情绪波动后突然出现剧烈头痛、呕吐、意识丧失等。
2.癫痫
可见于40%~50%的患者,约半数为首发症状,多见于较大的、有大量“脑盗血”的动静脉畸形者,以部分性发作为主,可呈继发性全身扩散型。
3.头痛
60%的患者有长期头痛史,多局限于一侧,出血时头痛的性质可发生改变。
4.进行性神经功能障碍
主要表现为运动或感觉性瘫痪(见于40%的患者,10%为首发症状),主要原因为“脑盗血”引起的短暂性脑缺血发作、较大的动静脉畸形引起的脑水肿或脑萎缩以及出血引起的脑损伤或压迫。
5.智力减退
多为巨大型动静脉畸形因严重的“脑盗血”引起的弥漫性缺血和脑发育障碍,也可因反复癫痫发作和长期服用抗癫痫药引起。
需要注意的时,小的脑动静脉畸形常无症状,但由于其可随着患者年龄增长而长大,因此常被形容为颅内“不定时炸弹”。

说起颅内“不定时炸弹”,可能大家首先想到的是颅内动脉瘤。陈琦主任进一步讲解道,相较动脉瘤,脑动静脉畸形对局部脑组织的损害过程相对较缓慢,但可以反复多次发生,危害巨大。尤其是隐藏在脑深部及重要功能区时,一旦“引爆”亦可造成严重的神经功能障碍,甚至直接威胁患者生命。
男子误以为患上脑肿瘤 细查竟是AVM“作祟”
值得注意的是,相较于其他脑血管疾病,脑动静脉畸形好发于儿童、年轻人多见(20-40岁)。该病需与其他脑血管畸形(如海绵状血管瘤)、颅内肿瘤合并出血、脑外伤造成的血肿、颅内动脉瘤、烟雾病等鉴别诊断。因此,有自发性蛛网膜下腔出血或脑内出血的青年患者,特别是曾有局限性或全身性癫痫发作者应高度警惕,及早到专业医院就医检查。

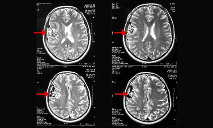
▲ 磁共振影像提示右颞顶动静脉畸形
上海蓝十字脑科医院肿瘤科(放疗)头部伽玛刀组主任陈琦曾收治一位青年男性AVM患者胡某(化名)。该患者曾因头晕头痛、口齿不清在当地医院就医,影像检查提示“右颞顶占位”,考虑为脑肿瘤可能性大,采取药物对症治疗。其后,患者因前额顶部位胀痛找到陈琦主任团队寻求进一步治疗方案。通过影像学检查,提示病灶区域潜在血管异常,诊断排除脑肿瘤,而是右颞顶动静脉畸形。
陈琦主任介绍,脑动静脉畸形的标准治疗方法主要有介入栓塞治疗、开颅手术治疗和伽玛刀放射治疗。治疗方法因人而异,还需要考虑动静脉畸形的大小、位置及其周围的血管解剖结构。通常需要神经介入科医生、神经外科医生和伽马刀医生综合评估,并和患者及家属充分讨论疾病手术风险,之后确定适合患者的最优治疗方案。
对于体积较小、位于脑深部及重要功能区(介入和开颅手术治疗难度较大、风险较大)的脑动静脉畸形,伽玛刀放射治疗具有独特的优势。通过伽玛射线辐射,可造成畸形血管内皮细胞损伤,继而引起血管壁结缔组织修复性增厚,管壁增厚,血管腔逐渐变小,加上微血栓形成,最终导致畸形血管的闭合。

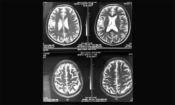
▲ 复查病灶畸形血管巢已基本消失
通过完善相关检查并征得患者家属同意后,陈琦主任团队为胡某开展了头部伽玛刀治疗,过程顺利。后期通过复查评估,患者畸形血管巢已基本闭塞,未出血,头痛等临床症状得到明显缓解。
陈琦主任提醒,动静脉畸形脑出血的临床后果取决于邻近脑结构损伤的程度。严重者可导致偏瘫、失语、视力障碍或失明等并发症,甚至造成患者死亡。因此AVM一旦被检出,应尽快到专业医院就医,选择适当的干预治疗方式,及早排除“险情”。
为更好满足患者多样化的治疗需求,上海蓝十字脑科医院引进了玛西普SRRS型伽玛射线头部立体定向放射治疗系统,可根据病灶形状、大小调整,进行多靶点计划,一次性照射。具有微创、局麻、痛苦小;对患者体质要求相对较低;治疗准确、预后良好、并发症少;治疗简便、减少住院时间等优点,可治疗神经系统疾病、颅脑肿瘤、脑血管疾病、功能性疾病等。
此文章仅作为临床学术研究、学术交流使用!
上一篇:不懈努力 两年昏迷患者终苏醒——记神经内科7A病区张静波主任及其团队 下一篇:男孩饱受癫痫折磨三年 杨忠旭教授精心施治使其 “重拾希望”
头晕、耳鸣等这些看似普通的身体信号,有时也可能是颅内一种“沉...【详细】


