颅咽管瘤是位于鞍区或鞍旁区的生长缓慢的中枢神经系统良性肿瘤。起源于颅咽管的上皮细胞或 Rathke's囊的残留(造釉型)或由原始口凹残留的鳞状上皮细胞化生而来(乳头型)。颅咽管瘤可从垂体下丘脑轴的任何一点发生并沿此轴发展,肿瘤可从位于蝶鞍到大脑的第三脑室,大约50%的肿瘤起源于第三脑室底水平的漏斗或灰结节区域,主要向第三脑室发展。
患者可出现头痛、视力损害和由中枢性尿崩症导致的多饮多尿等症状,儿童可出现发育迟缓,成人可出现性功能障碍和下丘脑综合征(如体温调节紊乱、水电平衡紊乱)。
颅咽管瘤占所有颅内肿瘤的1.2%~4.6%,全球每年每百万人新发0.5~2.5人。
“这是几?看得见吗?”随着医生的询问,浙江台州的曹先生(化名)清晰地回答道:“一!二!”。曹先生因视力模糊被查出颅咽管瘤,最终经上海蓝十字脑科医院神经外科李士其教授手术,他的视力正逐步恢复。
颅咽管瘤术后再复发
50岁的曹先生,平时工作繁忙。从今年年初开始他发现自己的视力有点模糊,刚开始他以为是自己经常熬夜导致眼睛受累,一直没当回事,想着只要注意好好休息应该就会好转。但是随着时间的推移,他的视力状况不仅没有好转还出现视野缺损,左侧尤显著。最终在杭州一家医院查出是鞍区占位并接受了鞍区占位切除手术,术后病理显示颅咽管瘤,术后其视物模糊较之前明显改善。

▲ 视力进行性下降原来是颅咽管瘤导致
一度,曹先生以为自己好了,可以高枕无忧了,但不曾想三个月后,他再次出现视物模糊并加重,行垂体增强MRI示:鞍区囊性占位,考虑颅咽管瘤。明明之前手术切除肿瘤了,怎么又长出来一个肿瘤,这让曹先生十分费解。之后,他慕名来到上海蓝十字脑科医院寻求进一步治疗。
入院查体,右额颞顶部术后改变,双侧瞳孔等大等圆直径约3mm,对光反射灵敏,眼球活动自如,视力减退,左侧颞侧视野缺损,右眼颞侧视野无明显缺失。
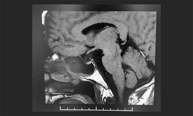
鞍区MRI平扫+增强显示,鞍上区大囊样占位,增强扫描薄壁强化,灶矢横高径约3*2*2cm;鞍上结构(下丘脑、视交叉)均受压,鞍隔下塌,鞍底腺垂体稍变扁,其左侧份强化欠均匀。
潘仁龙主任、李士其教授、吴治群博士组成的专家组会诊后考虑患者为颅咽管瘤复发,肿瘤已明显压迫视交叉,出现视力模糊、视野缺损,手术指征明确。

▲ MR显示鞍上区大囊样占位
颅咽管瘤位置深,手术难度大
颅咽管瘤最常见的部位是在鞍区,属于颅脑的中心地带,位置深,手术全切除率低,导致具有其高复发以及无瘤长期生存率低的特性。并且周围有视神经、颈内动脉、大脑前动脉、垂体、下丘脑等主要结构,而且颅咽管瘤常常与下丘脑粘连。在手术过程中如果视神经受损,会导致视力下降、甚至失明。颈内动脉或大脑前动脉受损,会造成大出血,危及生命。下丘脑、垂体受损会出现垂体功能低下、内分泌紊乱,轻者造成病人体质差、抵抗力差,严重者也会造成生命危险。
颅咽管瘤的手术难点在于既要尽可能地完全切除肿瘤,防止肿瘤复发,又要避免手术对肿瘤周围的重要结构造成损害。颅咽管瘤在神经外科手术技术上因难度高超,又被称为摘取“皇冠上的明珠”。1932年Cushing教授曾指出颅咽管瘤是“最困扰神经外科医生的颅内肿瘤”。直到今天,对颅咽管瘤患者实施较为满意的手术治疗仍然是神经外科医师所面临的巨大挑战。
专家组会诊后考虑,患者为二次手术,肿瘤多与周围结构粘连严重,为此制定了多套手术方案,力争全切肿瘤。
李士其教授翼点入路切除颅咽管瘤
术前,神经外科团队制定了详实的手术方案。7月17日,在征得家属同意后,李士其教授在吴治群博士、黄秀夫医生协助下采取翼点入路为患者进行了鞍区病损切除术。
颅咽管瘤的手术入路很多,如经蝶窦入路,经额下入路,经纵裂透明隔间隙入路,经额前部纵裂一终板第三脑室前部入路,经侧脑室入路,但由于其适应证相对狭窄,并发症多,全切率低等,其应用受到限制。李士其教授指出,翼点入路克服了以上缺点,能较大限度地显露肿瘤和最小程度地损伤脑重要结构如垂体柄、下丘脑、wills氏环发出的穿动脉,顺利切除肿瘤和恢复正常神经功能。从颅脑解剖学特点看,以鞍旁和鞍上的病变或鞍上向外侧生长至颅前窝、颅中窝以及生长于鞍上的病变更适宜行翼点入路。当肿瘤向开颅一侧生长时,无论肿瘤生长程度如何,均不受翼点入路限制。

▲ 李士其教授正在为患者手术
术中,在蔡司显微镜(双荧光)下,见鞍区内侧有蓝黑色肿物,质软,与周围组织边界清楚,呈囊性,囊壁上有大量白色颗粒。打开囊壁,其内有淡黄色囊液流出,囊液释放完毕,逐步游离切除囊壁。在充分暴露并保护好垂体柄、颈内动脉、右侧视神经等结构前提下,李士其教授在吴治群博士、黄秀夫医生协助下在镜下将肿物顺利切除,留取部分肿物送病理。

▲ 术后影像显示肿瘤被切除
术后,根据病理检测,患者确诊为颅咽管瘤。患者视力较前术明显改善,未出现尿崩,垂体激素无异常,精神状态稳定,目前正在康复中。李士其教授叮嘱患者出院后仍需定时复查。
视力进行性下降要警惕颅咽管瘤等鞍区肿瘤
颅咽管瘤有两个发病高峰,儿童高峰在5-15岁,成人高峰在40岁左右,其主要临床表现为因颅内压增高症状而出现头痛、呕吐等,同时伴有视力视野障碍,以及生长迟缓、尿崩、向心性肥胖、第二性征发育不良等内分泌功能紊乱症状。
当病人开始有症状的时候常常被忽视,不能及时发现。颅咽管瘤病人常见的症状是视力下降。学龄儿童在出现视力下降时,家长首先想到的是近视,去配眼镜,配眼镜后孩子的视力仍然下降,眼科检查发现视神经萎缩后才想到颅内有肿瘤,耽误了治疗时机。李士其教授提醒,当出现视力进行性下降时要警惕颅咽管瘤等鞍区肿瘤。
此文章仅作为临床学术研究、学术交流使用!
上一篇:放疗专家王晓东,让肺癌中晚期患者看到 “生命曙光” 下一篇:28岁小伙惨遭车祸昏迷20天 神经外科潘仁龙团队为其成功促醒
近日,上海蓝十字脑科医院神经内科任明博士为核心成员参与完成的...【详细】


