垂体瘤的生长可严重影响视力,遗憾的是大部分人对此认识还不充分。当出现视力下降、视野缩小、老花眼等症状时,人们通常会优先到眼科就诊。事实上,以上诸多情形很可能是由垂体瘤所引发,最终导致有些垂体瘤患者因漏诊、误诊等原因,而错过手术治疗的宝贵时机,出现双眼视力极度下降,甚至失明,大学刚毕业的小刘就是垂体瘤的一位受害者。
视力突降 视野受限 要警惕垂体瘤
小刘今年25岁,毕业后每天忙于工作。半年前,他开始出现视力下降,年轻人也没当回事,直到最近突然右眼失明,才紧张起来。到医院一查,5公分巨大垂体瘤,把所有人都吓了一跳。所幸,在上海蓝十字脑科医院神经外科李士其教授的悉心诊治下,已通过手术为他成功切除了肿瘤。

▲ 短期内视力进行性下降或与垂体瘤有关
垂体瘤压迫视神经是导致视力下降、视野受限的重要原因,李士其教授介绍道。视神经在到达大脑皮层前,有一个交叉,被称为“视交叉”,花生米大小的脑垂体就生长在这个交叉部位的下方。正常情况下,这颗“花生米”与视神经交叉没有接触,但是一旦“花生米”发生病变,比如“胀大”或黏连,就可能压迫、损伤视神经,导致视神经传递信息受到干扰,最终表现为各种视觉障碍。
李士其教授还补充到,随着瘤体的增大,向上伸展,一旦压迫视交叉,可出现视野缺损,外上象限首先受累,渐渐缺损可扩大至双颞侧偏盲,如进一步发展,视野缺损扩大的同时,可伴有视力减退,直至最终出现全盲;如果肿瘤偏于一侧,可致单眼偏盲或失明;如果肿瘤向后生长,可压迫脑干致昏迷、瘫痪等
半年,右眼失明,左眼视力0.1
前文提到的小刘,就因为麻痹大意,拖延了半年才到医院检查。结果显示:右眼视力光感消失,左眼视力0.1,MR检查发现巨大垂体瘤!
“孩子视力一直很好,大学入学体检都顺利通过,实在没想到长了肿瘤!”小刘父母在得知孩子的情况后,也是一脸惊愕、措手不及。在家属的催促下,满心焦虑的小刘慕名来到上海蓝十字脑科医院。
“小刘入院后,初测视力左眼当时仅有0.1,只能看到视力表最上面一行大字,其余都模糊不清,相当近视的500多度,算是高度近视了,而右眼已经失明!”神经外科6B病区的潘仁龙主任谈起当时的情形也不无惋惜之情。

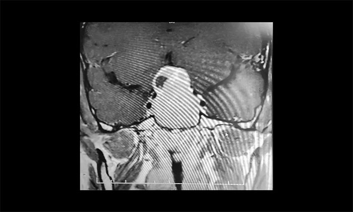
▲ 术前影像:巨大垂体瘤,向鞍上生长
为了进一步确定瘤体的位置和大小,当即进行了鞍区MRI平扫+增强。影像显示,蝶鞍显著扩大,鞍区见一“塔样”肿块灶,病变总矢横高径约3.5×4.5×5cm。瘤体向鞍上生长,占据鞍上池,明显推移视交叉、分界模糊,三脑室前下部受压变形。鞍底塌陷、蝶窦填充;侵及包绕两侧海绵窦约1/2,海绵窦向外侧移位。
结合影像检查,潘仁龙主任、李士其教授会诊后一致达成共识。由于巨大垂体瘤长期压迫视神经,患者视物出现异常,右眼已经失明,手术指征明显,应尽快手术,尽可能挽救患者视力。
锁孔手术 微创切除巨大垂体瘤
一般来说,鞍区病变常采用经鼻蝶、经额下、和经翼点等入路进行手术。但以上入路手术的缺陷与优点都同样突出,而且对受术者的身体条件有一定要求。经过综合权衡,结合小刘的自身的身体条件和病症特点,李士其教授最终锁定了经眉弓眶上锁孔手术,以期借助微创技术切除肿瘤,尽可能降低脑部损伤。
眶上锁孔入路与传统的弧形切口翼点入路相比,皮肤损伤更小,眉弓切口更靠近颅底,能排空脑池脑脊液,开放颅内自然存在的解剖间隙,因为鞍上区域的后方为中脑,两侧为颞叶,经其他入路有可能牵拉上述脑组织,经眶上入路无需牵拉脑组织即可显露鞍上区域,从而减少对额、颞叶的牵拉和嗅束损伤。同时根据肿瘤不同位置可调整骨窗位置,通过小骨窗远距离获得对病灶足够大的显露。
同时,锁孔入路还具有手术时间短,无需放置引流,术后恢复快等特点,且术后不影响美观度,因此广受患者及家属的青睐。但锁孔入路操作空间小,对术者的技术条件和实操经验要求较高。

▲ 李士其教授正在为患者手术
3月中旬,经过充分的术前准备,并征得家属同意后,由黄秀夫医生协助,李士其教授正式为小刘行经眉弓眶上锁孔手术。凭借娴熟的显微外科手术技巧,丰富的手术经验,熟练的显微神经解剖,在充分保护好海绵窦、颈内动脉、视神经等结构前提下,李士其教授在错综复杂的神经血管狭窄间隙中,逐步分块切除肿物,仔细刮除肿瘤,最终将肿瘤全部切除,手术顺利完成。
术后,小刘左眼视力有所改观,右眼由于压迫损伤,视力改善还不明显。
揪出“元凶” 解除“封印”
垂体瘤发病年龄覆盖很广,从青少年到老年都有可能“中招”。老年人眼花、视野受限,不一定是老花眼、青光眼;少年儿童看物不清、没有立体感,不一定是近视……有这些症状的人群,如果眼部检查未能明确病因,应及早进行脑部检查。
现代影像学检查对早期确诊垂体瘤有重要意义,如怀疑为垂体瘤,通常经过正规医院的MRI磁共振检查和CT 扫描,就可以及时揪出垂体瘤这个“元凶”。

▲ 垂体瘤治疗不及时可能导致永久失明
李士其教授提醒道,当垂体瘤不断增大,会对周围的重要组织产生压迫作用,最常见的是视神经,会引起视力、视野的改变,及时搬开压在视神经上的“大石头”,这些症状就会很快得到缓解。相反,如果这种压迫长期不能减除,就会引起视神经萎缩,从而导致失明,而这种失明是永久性的。
因此,如果短期内出现视力下降,就要高度怀疑垂体瘤,尤其是老年群体,一定要尽早就诊,尽早筛查,尽早手术。
版权声明:部分图片源自摄图网,如有版权纠纷,请及时联系医院。一经查实,将立即删除。
此文章仅作为临床学术研究、学术交流使用!
上一篇:打通大脑“生命线” 卒中救治新模式持续发力 下一篇:飞越“迷雾” 联合血运重建大脑“高速路”
近日,上海蓝十字脑科医院在学科建设与人才引进方面取得重要进展...【详细】


