中国恶性肿瘤流行病学数据显示,乳腺癌是女性发病率最高的癌种,且发病率和死亡率呈逐年上升的趋势。当乳腺癌进展至晚期,发生脑转移的情况比较常见,是继肺癌之后引起中枢神经系统转移的第二大常见肿瘤,复发率高,引起颅内压增高和相应神经功能损害表现,威胁患者生命健康。
近期,上海蓝十字脑科医院【同济大学附属上海蓝十字脑科医院(筹)】6A神经外一科副主任卢云鹤博士收治了一位乳腺癌脑转移瘤复发的患者。
女性患者吉某,60岁,以头痛头晕1周为主诉入院。经了解,患者于2018年4月发现乳腺癌,于外院行乳腺癌切除术及化疗。2019年6月,出现走路乏力等不适,就诊发现颅内占位(考虑转移可能),于同年12月于外院行切除术及术后综合治疗。其后,定期复查未见异常。近期患者出现头痛头晕症状就诊,完善检查提示颅内占位(考虑复发可能),遂来我院寻求进一步治疗。
卢云鹤博士为患者进一步完善检查。MR检查示右侧颞叶内见环片状混杂信号,大小约20mm*18mm,强化与水肿明显。周围脑沟、裂显示欠清;右侧侧脑室受压变形,中线结构稍左偏,出现可疑脑膜转移。

▲ MR示右侧颞叶占位,占位效应明显
结合既往病史和影像学表现,卢云鹤博士认为,患者乳腺癌脑转移瘤复发可能性较大。虽然占位本身体积不大,但其水肿带已压迫临近脑室,患者出现头痛头晕症状,应考虑采取合适的方法积极给予治疗。
根据《中国晚期乳腺癌规范诊疗指南(2022版)》,晚期乳腺癌包括局部晚期乳腺癌和复发或转移性乳腺癌。指南指出,晚期乳腺癌不同分子亚型患者的生存时间有所不同。其治疗方案选择需综合考虑多种因素,医生应结合当地情况、药物可及性及患者的个体差异等,予以多学科、个体化的综合治疗。对于复发转移患者,由于肿瘤异质性,鼓励积极进行转移灶的再次活检切除,以重新评估分子病理状态,有证据地指导后续治疗。
“对于恶性肿瘤,我们要认识并思考三点:一是复发问题无法回避,二是复发后该怎么办,三是如何将个体化综合治疗落到实处。”结合指南,卢云鹤博士指出,恶性肿瘤的重要特征之一就是肿瘤异质性,是指肿瘤在生长过程中(包括复发),经过多次分裂增殖,其子细胞呈现出分子生物学或基因方面的改变,从而使肿瘤的生长速度、侵袭能力、对药物的敏感性、预后等各方面产生差异。因此,更准确了解“敌情”,有助于打赢“抗癌阻击战”,实现有生活质量的“带瘤生存”。

▲ 分子病理检测为肿瘤个体化综合治疗提供重要依据
与传统病理检测相比,肿瘤分子病理检测在预后判断、后续治疗方案筛选上具有一定的优势,为个性化精准治疗提供依据。

▲ 卢云鹤博士(中)开展手术
经过与患者家属充分沟通治疗方案并取得同意后,卢云鹤博士为患者开展了神经导航下颅内病灶切除术,在切除右侧颞叶肿瘤缓解占位压迫症状的同时,留取部分肿物送检,评估病理状态。

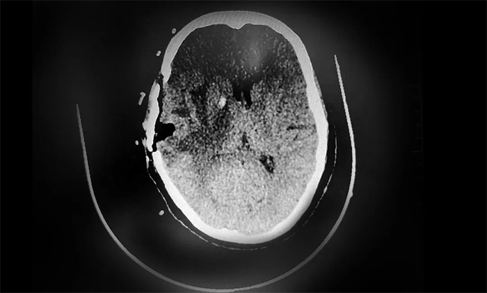
▲ CT复查示,肿瘤已被切除
根据初步病理检测报告,送检的样本为颞叶转移癌,结合病史及免疫组化,符合乳腺癌转移。后续,卢云鹤博士将根据分子病理检测结果,为患者制定实施包括靶向治疗等多学科联合的个体化综合治疗方案,改善患者生存状态,延长生存期。
版权声明:部分图片源自摄图网,如有版权纠纷,请及时联系医院。一经查实,将立即删除。
此文章仅作为临床学术研究、学术交流使用!
上一篇:长在脑子里的淋巴瘤少见又凶险 出现不明原因头晕头痛、免疫力下降要高度警惕 下一篇:颅内静脉窦血栓形成危在旦夕,席刚明教授团队及时抢救,患者顺利脱险
11月26日,闵行区七宝镇“一育三给”文明实践志愿服务沉网入格分...【详细】


