人脑转移瘤(Brain Metastases, BM),是指身体其他部位的恶性肿瘤经血液或其他途径转移至颅内者,是临床上最为常见的脑肿瘤,发生率明显高于原发性脑肿瘤。脑转移瘤生长迅速,中心部位血供较差,常发生坏死囊变,形成囊性脑转移瘤。
上海蓝十字脑科医院肿瘤科(放疗)头部伽玛刀组主任陈琦介绍,囊性脑转移瘤在临床上并不少见,且常有瘤体较大、占位效应明显、临床症状重等特点。随着疾病进展,囊性脑转移瘤患者可逐渐出现颅内压增高、脑膜刺激征、肢体活动不利、精神症状等神经功能障碍,严重威胁患者的生命健康。

▲ 囊性脑转移瘤往往体积较大、占位效应明显
目前,对于脑转移瘤的治疗主要为手术联合放化疗等综合治疗。开颅手术是囊性脑转移瘤最为传统的治疗方式,成功的手术可快速缓解由病灶占位效应引起的颅高压症状及神经功能障碍。但对于大型囊性脑转移瘤,通过手术切除含有肿瘤细胞的薄壁非常困难,尤其当病灶位于脑室附近或蛛网膜下腔,不易完全切除,术后易短时间复发。术中,囊腔易破溃,有导致癌细胞迅速播散的风险。此外,当病变位置在脑深部或位于重要功能区,病人身体状况不佳无法耐受手术或病人及家属不愿手术时,也不适合手术治疗。
近年来,随着肿瘤放疗技术的不断发展,伽玛刀在脑转移瘤的临床治疗中应用越来越广泛。然而,因囊性脑转移瘤一般体积较大,单纯的伽玛刀治疗会因剂量容积效应而产生并发症,效果不理想。那么,是否可以在伽玛刀治疗前减小囊肿体积,同时配合伽玛刀治疗尽可能改善患者症状,控制肿瘤进展呢?立体定向穿刺引流联合伽玛刀治疗的治疗方法随之应运而生。

▲ 陈琦主任为患者安装头架,为立体定向穿刺引流做准备
陈琦主任进一步讲解道,立体定向穿刺引流主要借助于现代成像技术和先进的外科器械,抽吸针可到达脑内大部分位置,是一种相对安全地减小囊肿体积的方法。相关研究表明,经立体定向穿刺引流,可使肿瘤囊壁或实质组织集中,肿瘤占位效应减少,可快速缓解患者临床症状,为进一步实施伽玛刀治疗创造有利条件。
今年43岁的患者汤女士(化名),于2020年8月因头晕伴体倦乏力至当地医院就诊,查体PET-CT:右肺上叶前段结节,考虑周围型肺癌。右肺门、纵膈多发淋巴结转移,颅内多发转移。汤女士在外院接受放射治疗后,头晕乏力等症状得到了一定的改善。

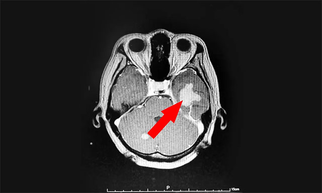
▲ 来蓝十字治疗前患者的囊性转移瘤病灶
近期,患者为寻求进一步治疗,来到上海蓝十字脑科医院。医院肿瘤科(放疗)头部伽玛刀组主任陈琦及医生团队结合患者病情变化,为汤女士行立体定向穿刺引流联合伽玛刀治疗。经一段时间住院恢复后复查,病灶占位较前进一步缩小,肿瘤进展得到了较好地控制,目前已顺利出院。

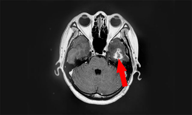
▲ 伽玛刀治疗后复查,可见病灶占位明显缩小
陈琦主任表示,与开放性手术、全脑放疗及化疗等其他治疗方案相比,立体定向穿刺引流联合伽玛刀治疗,具有侵袭性更小、对患者条件要求低的优势,治疗后患者神经系统症状可迅速减轻,从而改善生存质量。是目前不开颅治疗囊性脑转移瘤较好的选择。
为更好满足患者多样化的治疗需求,上海蓝十字脑科医院引进了高端放疗设备——玛西普SRRS型伽玛射线头部立体定向放射治疗系统,可根据病灶形状、大小调整,进行多靶点计划,一次性照射。具有微创、局麻、痛苦小;对患者体质要求相对较低;治疗准确、预后良好、并发症少;治疗简便、减少住院时间等优点,可治疗神经系统疾病、颅脑肿瘤、脑血管疾病、功能性疾病等。
此文章仅作为临床学术研究、学术交流使用!
上一篇:少年搭乘“鬼火”摩托不幸摔落致重型颅脑损伤 神经外科医生团队连夜手术助其化险为夷 下一篇:医学前沿 | 脊髓神经刺激器置入术(SCS)应用于昏迷患者促醒
近日,上海蓝十字脑科医院神经内科任明博士为核心成员参与完成的...【详细】


