三叉神经痛是一种临床常见的颅神经疾病,其人群患病率为182人/10万,年发病率为3~5人/10万,多发生于成年及老年人,发病年龄在28~89岁,70%~80%病例发生在40岁以上,高峰年龄在48~59岁。【资料来源:《三叉神经痛诊疗中国专家共识》】
“电击”颌面痛难忍 患者误拔半口牙
三叉神经痛有个让人望而生畏的“头衔”——天下第一痛。上海蓝十字脑科医院神经外科主任沈建康教授表示,原发性三叉神经痛的发作常无预兆,每次疼痛发作时间由仅持续数秒到数分钟便骤然停止。发作时,患者会遭遇诸如闪电般、刀割样、烧灼样等难以忍受的剧烈疼痛。
若以国际通用的NRS数字分级法对疼痛进行简易分级,0级为无痛,10级为“无法忍受”的重度疼痛(严重影响睡眠,伴有其他症状的),则三叉神经痛常被列为“10级疼痛”。
由于是发生在颜面部位的疼痛,三叉神经痛常以牙痛、偏头痛等症状出现。临床上,三叉神经痛最容易与牙痛混淆。尤其在疼痛发作初期,患者往往首先想到是犯了牙病,甚至有些患者将疼痛部位的牙齿全部拔除,但疼痛仍然无法缓解。最近,上海蓝十字脑科医院就收治了一位有着类似遭遇的三叉神经痛病患。

高先生(化名)年届六旬,2014年初,他左侧颌面部出现反复剧烈疼痛,每次都像被闪电击中一般。起初他以为是牙痛,尝试了各种办法,记不清吃了多少止痛药,可剧痛始终无法缓解。忍无可忍,高先生到牙科小诊所把疼痛部位的牙齿拔掉了。
令他万万没想到的是,“牙痛”毫无缓解。于是,高先生接连拔掉了第二颗牙、第三颗牙......在拔了半口牙后,剧痛依旧,高先生意识到自己可能“错怪”牙齿了。
2015年,高先生去了当地省会城市的医院。经检查诊断,果然!让高先生难以忍受的剧痛,并非牙痛作祟,“真凶”竟是三叉神经痛。
高难度手术为患者消解剧痛
在当地医院,高先生接受了微血管减压手术,术后疼痛一度得到了有效缓解。然而,就在去年11月份,同样的部位,钻心的疼痛再次让高先生的生活陷入痛苦深渊。发作起来,左边嘴角到左耳根就像被闪电击中,又像被刀割一样,晚上根本无法入睡。
高先生的爱人很心痛丈夫,她回忆道:“这个病一发作,他的脸就潮红扭曲、汗泪俱下,我们只能眼睁睁看着,却无法分担他的痛苦。”
为寻求进一步治疗,高先生在亲友推荐下,慕名来到上海蓝十字脑科医院。在三叉神经痛外科治疗方面具有丰富临床经验,尤其擅长微血管减压手术的沈建康教授,率领科室团队,对高先生的病情开展了认真细致的检查评估工作。

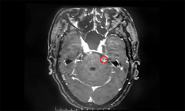
▲ 患者左侧三叉神经根部与小血管关系密切
沈建康教授指出,微血管减压术(MVD)具有不切断神经、创伤小、风险低等优点。《三叉神经痛诊疗中国专家共识》中亦明确,微血管减压术是目前首选的外科治疗三叉神经痛的方法。虽然大部分患者在术后疼痛消失,但也存在一定的复发概率。文献记载MVD术后有3%~15%的患者出现面部疼痛复发,需再次手术治疗。①
三叉神经痛微血管减压术术后复发的原因是多方面的,对于MVD无效或复发的三叉神经痛病例,考虑到蛛网膜局部粘连牵拉是导致新的血管靠近进而压迫神经的重要原因,二次手术时的术式选择以三叉神经后根部分切断手术(PR)为主。
虽然患者有手术指征,但第二次手术难度和风险较大。在充分告知患者及家属手术方案和风险并取得理解和支持后,沈建康教授亲自执刀,在吴治群博士、黄秀夫医生及医护团队协助下,为高先生进行手术。
三叉神经后根部分切断术是三叉神经痛的外科治疗方式之一。随着手术方式的改进,该手术已由早期实施全切断,逐渐改进为“选择性部分切断”,其一般原则是:如患者表现为下颌区域疼痛,则切断三叉神经根部的1/3,如为上颌区域疼痛,则需切断三叉神经根部1/2。
该手术涉及重要颅神经区域,稍有不慎可伤及其他颅神经如滑车神经、面神经和听神经,在术中遇出血较难控制,手术风险大,非常考验手术者的经验和技术水平。

▲ 借助蔡司显微镜(双荧光),沈教授为患者手术
在蔡司显微镜(双荧光)下可见,患者左侧三叉神经后根外侧有小静脉与其位置较为紧密,并可见两者间放置有垫片,考虑为前次微血管减压手术放置的垫片。沈教授小心翼翼地游离三叉神经根周围蛛网膜,灵活操作手中纤细轻巧的显微剪刀,剪断约三分之一的三叉神经后根……经过近5个小时的手术,患者生命体征平稳,安返监护室。
经过不到半个月的术后康复治疗,困扰高先生的三叉神经痛得到了较为明显的缓解,面部神经功能正常,吃饭、讲话、睡眠等已基本不受影响。
“扳机点”一触即发的三叉神经痛
早在1756年,法国人Nicolas Andri首先报道了三叉神经痛(trigeminal neuralgia,TN),指局限在三叉神经支配区内的一种反复发作的短暂性阵发性剧痛。

《三叉神经痛诊疗中国专家共识》指出,三叉神经痛可分为原发性、继发性两种。原发性三叉神经痛的病因及发病机制尚不清楚,多数认为病变在三叉神经半月节及其感觉神经根内,也可能与血管压迫、岩骨部位的骨质畸形等因素导致对神经的机械性压迫、牵拉及营养代谢障碍有关。
继发性三叉神经痛又称症状性三叉神经痛,常为某一疾病的临床症状之一,由小脑脑桥角及其邻近部位的肿瘤、炎症、外伤以及三叉神经分支部位的病变所引起。
原发性三叉神经痛是临床上最常见的类型。患者面部三叉神经分布区域内某个区域特别敏感,稍加触动就可引起疼痛发作,且疼痛从此点开始,立即放射至其它部位。凡能引起疼痛发作的部位称做诱发区,亦称“触发点”或“扳机点”。
“扳机是控制手枪工作的关键开关,当我们扣动扳机,子弹就出膛了。”上海蓝十字脑科医院神经外科主任沈建康教授形容道,对原发性三叉神经痛患者来说,在三叉神经受侵犯的分布区域内有一个或多个特别敏感的区域。吃饭、漱口、洗脸、甚至仅仅是微风拂面,不小心触及这个敏感的区域,就可能诱发剧烈的三叉神经痛。
“扳机点”多分布在双唇、胡须、上下齿龈、鼻翼、鼻唇沟、颊部、眉毛等处,极为敏感,一触动即可激发剧烈的疼痛发作,且疼痛由此点开始,立即扩散到其他部位。病人会因惧怕疼痛发作,想方设法避免一切诱发因素,如说话不敢张口,不能正常进食,甚至不敢洗脸和快步走动。长此以往会形成巨大的心理负担。
沈建康教授提醒,三叉神经痛起病初期发作次数较少,间歇期相对较长。随着病情发展,发作往往会逐渐频繁,间歇期缩短,疼痛亦逐渐加剧,最后严重影响患者进食及休息。三叉神经痛还会引起呼吸系统、消化系统等一系列生理活动的紊乱,增加心血管疾病的发病率,所以在出现症状时,患者切勿盲目行动,应选择专业医院进行系统检查并及时治疗,以免延误病情。
注:
①显微血管减压术后复发三叉神经痛的手术治疗;于炎冰、张黎等;
ChinJNeurosurg.September2006.Vol22.Nn9
此文章仅作为临床学术研究、学术交流使用!
上一篇:老人突然视力模糊,真是老花眼吗?小心是“垂体瘤” 下一篇:他反复头痛 8 个月,李士其教授成功切除颅内海绵状血管瘤
11月26日,闵行区七宝镇“一育三给”文明实践志愿服务沉网入格分...【详细】


