“舌头像被针扎一样疼痛!”这种难以名状的疼痛,江苏的刘阿姨已经忍受了8年之久。直到最近,她慕名找到上海蓝十字脑科医院功能神经外科特需专家杨忠旭教授,顺利接受了微血管减压手术。术后,“舌头针扎”的症状一去不返,让她重拾生活信心。
“舌头针扎”样疼痛 疼了8年
从8年前开始,年过五旬的刘阿姨突然出现左侧舌头麻木、疼痛,呈间断性发作,呈剧痛,“像针扎一样,钻心的疼!”就诊当地医院,诊断为“三叉神经痛”,给予系列药物治疗,症状得到缓解。但是随着时间推移,病情加重且反复,“舌头扎针一样”的疼痛出现越来越频繁,不仅经常出现在吃东西、刷牙时,严重时甚至连开口说话都会突然疼痛,夜里睡觉也经常被突然发作的疼痛惊醒……
最近,刘阿姨舌头麻木、疼痛,较之前明显加重,严重影响饮食、睡眠,让刘阿姨寝食难安。就医后,再次加大药量也无明显缓解。为寻求进一步治疗,遂辗转来到上海蓝十字脑科医院,求医于杨忠旭教授。
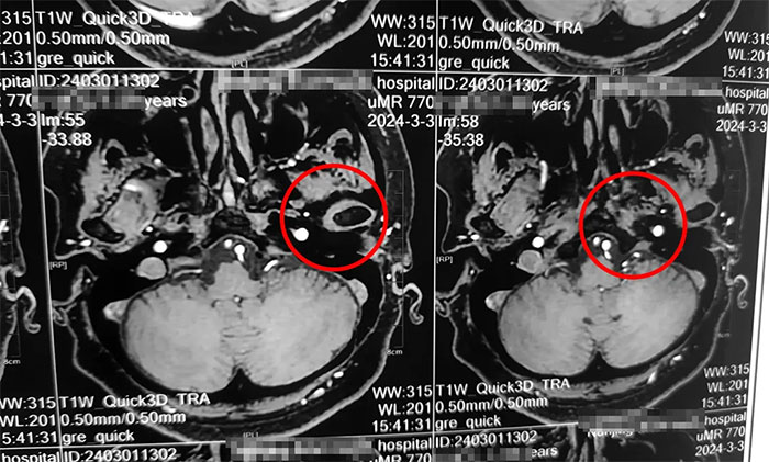
杨忠旭教授详细了解了刘阿姨的症状、病史资料、影像资料等。杨忠旭教授分析指出,传统的三叉神经痛大多发生于面部,而刘阿姨疼痛的部位为舌头,和最普遍的三叉神经痛位置大相径庭,但其实支配舌前2/3的感觉的舌神经,也是自三叉神经发出,所以此处的疼痛完全符合三叉神经痛的表现。结合影像资料,杨忠旭教授指出患者左侧三叉神经根部与临近小血管关系密切,手术指征明显,未见明显手术禁忌症。
杨忠旭教授表示,对于三叉神经痛的治疗,传统方法首选口服药物卡马西平,但长期服用,患者可能会出现嗜睡、眩晕、消化道不适等副作用,而且药物对某些病人并没有作用。杨忠旭教授介绍,微血管减压术是原发性三叉神经痛的首选手术方法。

▲ 左侧三叉神经与临近小血管关系密切
微血管减压术 告别“天下第一痛”
《三叉神经痛诊疗中国专家共识》指出,药物治疗对原发性三叉神经痛的疗效确切,尤其适合于治疗初发生原发性三叉神经痛患者。但药物治疗对继发性三叉神经痛的疗效不确切。当药物治疗的疗效减退或者出现患者无法耐受的药物副作用而导致药物治疗失败时,可以尽早考虑外科手术治疗。
外科手术方式有多种,包括经皮三叉神经半月神经节射频温控热凝术、Meckel's囊球囊压迫术、Meckel's 囊甘油注射、伽马刀治疗及微血管减压手术。共识指出,微血管减压术的远期预后优于其他外科方法。
微血管减压术是现代神经外科典型的微创手术之一,仅通过患者耳后发际内4-5cm的切口,于显微镜下探查三叉神经走行区,将所有可能产生压迫的血管、蛛网膜条索都“松解”开,并将这些血管以Tefflon垫片与神经根隔离。一旦责任血管被隔离,产生刺激的根源就消失了,三叉神经核的高兴奋性就会随之消失,恢复正常。绝大多数患者术后疼痛立即消失,并保留正常的面部感觉和功能,不影响生活质量。
近日,在征得患者及家属同意后,杨忠旭教授在医护团队协助下为刘阿姨实施了“微血管减压术”。术中,经过仔细探查,杨忠旭教授找到责任血管,妙手将血管和神经分隔开,将压迫解除。手术全程有条不紊,紧张有序,最终顺利完成。

▲ 杨忠旭教授正在为患者进行微血管减压手术
“终于可以好好睡个安稳觉了!”手术后,刘阿姨恢复得不错,与爱人有说有笑,再过几天就能出院了,想到以后的健康生活,刘阿姨的脸上露出了久违的笑脸。
“天下第一痛”
三叉神经痛号称“天下第一痛”,主要表现为一侧面部三叉神经分布区内反复发作的阵发性剧烈疼痛,疼痛发作形象一点来形容,分别像刀割、针刺、撕裂、烧灼或电击似的,剧烈难忍,甚至痛不欲生。
三叉神经痛敏感区主要分布在这些部位:口周,如上下唇部、胡须处;口腔内,如舌的前半部、牙龈、臼齿处;鼻周,如鼻翼、鼻唇沟;脸颊部,如上颌区、下颌区、耳前区;前额部。
平日里,说话、咀嚼、漱口、洗脸、打哈欠、触摸等都可能引发三叉神经痛,以致患者极为小心,甚至产生恐惧心理。随着病程延长,疼痛程度会逐渐加重,甚至每日发作。此外,天气和气候变化也是三叉神经痛的重要诱因,被风吹着或忽冷忽热,都可使疼痛加剧。
此外,杨忠旭博士指出,由于是发生在面部的疼痛,三叉神经痛常常以牙痛、偏头痛等几种“假面目”出现。由于三叉神经也支配牙齿功能,所以痛起来时跟正常人的智齿痛很像,特别容易和牙痛混淆。

▲ 三叉神经痛号称“天下第一痛”
三叉神经痛患者春季还应注意什么?
春天万物复苏,风和日丽,是充满希望的季节,但同时也是三叉神经痛的高发季节,因为气温多变,且风较大,易诱发三叉神经痛。杨忠旭博士提醒广大三叉神经痛患者要注意以下事项:
要注意防寒保暖。气温的变化最易引发三叉神经痛,一般冬、春季季节交替时发作较多,三四月份虽然气温逐渐升高,但早晚温差大,尤其气候多变,要注意保暖,避免冷风直接刺激面部。
药物治疗的患者需要坚持规律用药、足量用药。许多患者因为没有规律用药,而导致三叉神经痛发作,甚至使疼痛难以控制。如果出现药物控制不佳的情况,请去正规医院功能神经外科检查,最好不要自己盲目增减药物。
避免过度劳累、熬夜。患者应该有充足的休息,不要因为工作、娱乐等等打乱生活节奏,每天应该保持良好的作息。
保持良好的心情。在情绪激动、焦急、大喜大悲、惊吓等等情绪波动下,也容易诱发三叉神经痛发作。
清淡饮食,营养均衡,忌烟酒。可多食用营养丰富并且清淡食物,少食辛辣刺激的食物,避免食用过冷、过热、过硬的食物。
杨忠旭博士提醒,许多三叉神经痛患者疼痛发作,吃药不管用了,却仍然自己在家里忍痛,抱着过一阵子再看看的态度,拖延就诊。其实,三叉神经痛并不能自愈,只会越拖越严重,越拖越痛;并且长期服药,患者可能会出现嗜睡、眩晕、恶心、消化道不适、肝肾功能损伤等副作用。这时候,患者切忌忍受剧痛,而拖延病情,要及时到正规医院就诊。杨忠旭教授建议,对于三叉神经痛患者,在药物治疗无效或者药物不耐受的情况下,首选还是针对病因的微血管减压手术治疗。
版权声明:部分图片源自摄图网,如有版权纠纷,请及时联系医院。一经查实,将立即删除。
此文章仅作为临床学术研究、学术交流使用!
上一篇:四旬女子突发“中风”单侧肢体乏力 原来是被烟雾病“缠”上了 下一篇:七旬患者颈内动脉重度狭窄合并动脉瘤 席刚明教授团队介入治疗解除危机
11月26日,闵行区七宝镇“一育三给”文明实践志愿服务沉网入格分...【详细】


