脑出血是“中风”的一种,是指非外伤性脑实质内血管破裂引起的脑出血,病因多样,80%的脑出血均是高血压引起的,除此以外还有脑动脉硬化、颅内血管畸形等病因,常因用力、情绪激动等因素诱发,故大多在活动中突然发病。它是中老年患者较为常见的严重脑部疾病,具有高发病率、高复发率、高致残率及高死亡率等“四高”特点,且其发病十分突然而且快速,主要表现为意识障碍、肢体偏瘫、失语等神经系统的损害,跌倒、昏迷,甚至直接导致死亡,严重危害人们生命健康。

近日,上海蓝十字脑科医院6B病区收治了一名76岁的脑出血昏迷患者程先生(化名),他刚入院时病情十分危急,随时会有生命危险,潘仁龙主任、吴治群博士组成的专家团队镇定自若,紧急制定周密完善的救治方案,及时手术清除血肿,最终让患者转危为安,并已逐渐清醒,家属竖起两个大拇指由衷地表示感谢。
丈夫突发脑出血生命垂危
2021年2月2日,再过一天就是立春了,下午4:00左右,当妻子郭女士(化名)外出回到家里时,连声喊了好几声老伴,却无人应答,找了一会儿后发现,老伴程先生居然瘫倒在厕所里,昏迷不醒了。情况紧急,郭女士立即拨打120急救电话,叫来救护车后把老伴送往就近医院进行抢救。

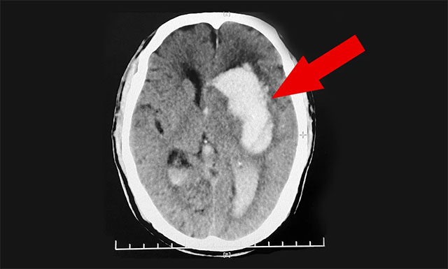
送到医院后,紧急行头部CT检查,根据影像提示及其他相关检查,患者程先生左侧基底节区脑出血,并破入脑室,且出血量很大,临近功能区;伴左侧高颅压,其双侧大脑半球深部多发腔梗,情况非常危急。医生把情况告知郭女士,若手术治疗风险很大,即使保住了生命,也很可能长期偏瘫在床,让她及家属做好心理准备。郭女士听后感到“天塌了一般”,简直无法接受。
郭女士只比程先生小一岁,两人一路相伴快50多年了,属于金婚,两口子感情一直不错。据郭女士回顾,老伴程先生之前几乎没怎么生过大病,去医院的次数都能数得清,他血压虽有点偏高,但并无大碍;这下,他突然脑出血要成“植物人”了,郭女士当时一听这结果顿时懵了,“呆坐着”老半天后,郭女士给远在他乡的儿子和女儿通了电话许久,最后商定:只要有一丝希望,就绝不会放弃。
第二天患者病情无明显好转,意识障碍更加严重。眼看着老伴病情不断加重,郭女士和家人商议后,决定转院进行手术治疗。经亲友推荐,郭女士慕名找到上海蓝十字脑科医院神经外科6B病区潘仁龙主任和吴治群博士,于2月3日农历立春时,郭女士把丈夫程先生转到上海蓝十字脑科医院,收治于神经外科6B病区。
专家团队成功手术
“患者紧急转入我院,当时其格拉斯哥昏迷 (GCS) 评分仅有7分 (GCS总分为15分,分数越低其意识障碍越重),处于昏迷状态,意识障碍比较严重,不能言语,右侧肢体活动障碍严重;且患者岁数较大,出血范围较广,出血量大约为50ml,情况危急不容乐观……”,潘仁龙主任这样回顾道,对患者程先生刚入院时的危重病情至今历历在目。

▲ 患者突发脑出血昏迷不醒,病情危急需及时手术
鉴于患者病情危重,潘仁龙主任紧急组织专家团队会诊,根据患者目前的病情、病症及影像检查结果,潘主任与吴博士一致认为患者程先生脑出血严重,已破入脑室,出血量又大,且左侧高颅压,其血压收缩压当时更是高达208mmHg,如果不及时手术治疗,还会有再次出血的风险,因此患者需及早手术清除颅内血肿和降颅压,否则随时会有生命危险。
专家团队临危不乱、镇定自若,根据患者的病情紧急制定了周密完善的手术方案,在告知家属相关风险、可能预后并征得其同意后,于2月3日患者转入脑科医院当天晚上8:00,由潘仁龙主任、吴治群博士组成的专家团队紧急为患者实施了“颅内血肿清除+去骨瓣减压+颅内压监护探头置入+气管切开”手术。在手术台上,潘主任现场指导,吴博士主刀,黄秀夫医生协助等,在医护人员的共同努力下,手术顺利结束,患者安返重症监护室。

▲ 专家团队及时手术,患者终转危为安
对此“复合手术”,吴治群博士表示,此次手术之所以同时置入颅内压监护探头,是因为通常这类患者都要经过3—5天脑水肿的“高危期”,医生可根据颅内压监测的精准数值,及时调配治疗药物,使治疗更精准化。而对于气管切开术,是鉴于患者严重意识障碍,又伴有肺气肿、慢性阻塞性肺病,短时间内其意识不能有效恢复,并有咳痰反射,所以手术中提前气管切开,手术后可直接根据其肺部感染情况进行及时治疗,利于患者病情的恢复。

▲ 细心的吴治群博士,耐心地为家属讲解此次手术的微创性
吴主任强调,为了较大程度地保护患者脑部功能区,我们选择在显微镜下经大脑侧裂清除血肿,这样可沿着原有正常的大脑间隙进行分离,充分清除颅内血肿的同时,有效地保护大脑皮层,这也是为什么术后患者意识恢复较快,语言功能未受到影响的原因所在。
手术后,患者程先生终于转危为安,病情逐渐好转,意识逐渐恢复,妻子郭女士和家人“悬在半空中心终于落地”了,也因此非常感激。
家属赞许竖起双拇指
“现在想想老伴当时的危重病情,还有些后怕”,妻子郭女士抹着眼泪回忆道,“是蓝十字潘主任、吴博士让我们家属再次看到了生命的希望,他们临危不乱,及时为老伴手术,术后没几天,老伴就逐渐清醒了。随后的一个多月里,在医护人员的专业治疗和暖心护理下,老伴病情明显好转,现在意识已完全恢复,能够清楚地认出家人,说话清楚,能与他人正常交谈,其肢体功能也比之前有所好转,之后等封掉气切管,老伴就能进行康复训练了。”
看到前来查房的潘仁龙主任和吴治群博士,郭女士竖起了两个大拇指,并感激道:“你们于危难中将我老伴从‘鬼门关’上救了回来,我和家人都万分感激,我要为你们竖起两个大拇指,而不是一个大拇指!”郭女士一再强调是两个大拇,这自有其中的缘由——

▲ “金婚”老伴转危为安并逐渐清醒,郭女士竖起了两个大拇指
郭女士解释到,第一个大拇指是要为潘主任、吴博士团队精湛的技术点赞。这次“金婚”老伴脑出血非常危险,多亏医生技术高超,不仅保住了生命,而且还能清醒过来,避免成为“植物人”。
郭女士继续说,另一个大拇指,是为蓝十字脑科医院医护人员暖心的优质服务点赞。从老伴入院到现在逐渐恢复,是医生、护士及护工们共同努力和辛勤付出的结果,他们不仅对老伴精心治疗和护理,还非常真诚热心和认真负责。不管什么时候遇到他们,总是面带微笑,态度和蔼,就像家人一样亲切;春节期间疫情严重,家属不能探视,是护士和护工们将老伴护理得那么好,一直躺在病床上的老伴身上竟一个褥疮都没有,精神状态也很好;为了给老伴及时增加营养,潘主任不放心,还专门列了一个清单给我:枸杞、红糖、小米粥、山药……
仁心仁术的医护们
他们以诚相待
用专业的技术救治患者
用优质服务打动患者和家属
患者及家属的认可与信任
是对他们最大的赞许!
此文章仅作为临床学术研究、学术交流使用!
上一篇:眼睛突出充血是眼病吗?或是脑血管破裂导致 下一篇:78岁“老公安”饱受帕金森综合征折磨苦不堪言 神经内科李振并团队助他重拾自信
近日,上海蓝十字脑科医院神经内科任明博士为核心成员参与完成的...【详细】


