“脑卒中”(Cerebral Stroke)又称“中风”、“脑血管意外(CerebralVascular Accident,CVA), 是一种急性脑血管疾病,是由于脑部血管突然破裂或因血管阻塞导致血液不能流入大脑而引起脑组织损伤的一组疾病,包括缺血性和出血性卒中。脑卒中不再只是老年人的“专利”,越来越多的年轻人也加入了中风的“大军”。随着现代生活、工作节奏的不断加快,很多年轻人由于过度劳累、经常熬夜、吸烟酗酒、运动过少及生活作息无规律等不健康的生活方式,导致“三高”(高血压、高血糖、高血脂)问题的出现,从而增加了年轻人中风的风险。
加班熬夜习以为常,殊不知危险正在靠近
作为一名IT工程师,今年44岁的季先生(化名)已在这一行辛勤耕耘了十几年,对于他们这些“码农”来讲,加班熬夜早已习以为常,他基本每天回到家里已是晚上10点多,洗洗漱,再看看手机一转眼就到凌晨12点,有时忙的时候还会更晚,长此以往,作息饮食无规律又过度劳累,身体已严重“透支”。

据他妻子金女士(化名)回忆,丈夫季先生在2017年下旬公司体检时被查出患有高血压,之后一直用药物控制,但有时忙起来就会忘记吃药,更别提监测血压变化了,因此血压一直控制得不是很好,工作劳累时收缩压可高达190mmHg,舒张压120 mmHg。起初他对高血压也不够重视,没想到危害会那么大,虽然偶尔会听到他们同行有人会过劳猝死或突发中风之类的消息,但总感觉是很遥远的事情,没想到疾病会来得那么快。
“去年9月中旬的一天下午4:00左右,我正在家里看电视,突然接到丈夫公司电话,说他在与客户谈工作的时候,突然出现言语不清、右手和右脚不能动了,随后就坐立不稳,晕倒过去,不省人事。急忙打120送到就近医院急救。这个消息像晴天霹雳,他还那么年轻,怎么会?!……”,当时真被吓坏了,金女士如此回忆道。
脑出血偏瘫陷绝望,神内专家治疗使其好转
季先生因脑出血部位靠近左侧功能区,使其右侧偏瘫;又因出血量大,加上颅内压高;随后,在全麻下行“左侧颅内血肿清除术+脑内减压+去骨瓣减压+脑内压监护术”。手术后第2天,患者又因肺部痰液较多,实施了气管切开术,抗感染治疗,期间患者又出现肝功能不全等并发症。
面对脑出血后偏瘫的丈夫,金女士陷入了绝望——“好端端的一个人,怎么就突然躺在病床上,全身插了各种治疗管,而且头部颅骨缺损、肺部感染、肝功能不全……家里的‘顶梁柱’倒了,孩子还要上学,以后这日子还怎么过呀?”
在该院治疗一个多月,患者病情逐渐稳定,人已清醒,但仍不能言语,右侧上下肢活动障碍无明显好转。
为求进一步治疗,2020年10月13日,经亲友推荐,妻子金女士陪伴丈夫季先生转诊于上海蓝十字脑科医院,季先生收治于神经内科7A病区。

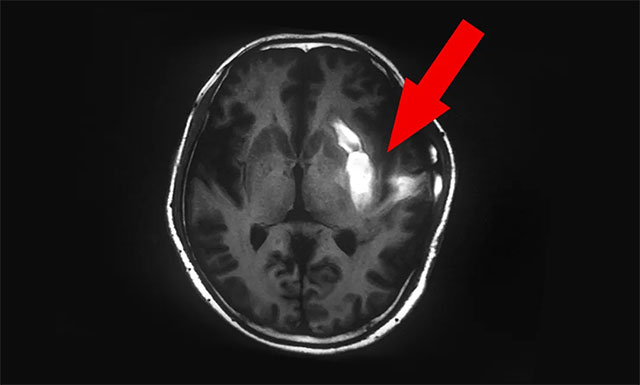
▲ 脑出血部位临近功能区,致使患者右侧肢体偏瘫
“因患者脑出血后出现了肺部感染、肝肾功能不全等多种并发症,来院时情况还是比较严重的,不能言语,其右上肢肢体肌力仅为1级,右下肢肢体肌力也只有2级,且血压控制很差。为了更好治疗患者,严密监测其血压,及时调整治疗药物;同时针对其肺部感染、肝肾功能不全等多种并发症及时对症和抗感染治疗,很快其并发症就得到了控制;还特邀康复医学科、中医科、高压氧科医师会诊,进行MDT多学科诊疗,以帮助患者右侧肢体功能更好地恢复”, 神经内科7A病区主任张静波如此解析道。

▲ 张静波主任针对患者病情,制定完善的诊疗计划
在张主任及医护团队的全力救治下,患者病情逐渐好转,他家人非常感激。妻子金女士表示,当多种并发症得到了有效控制后,他病情明显好转,现在可以简单言语,如‘医生你好’、‘谢谢医生’;其右侧肢体功能也得到了一定恢复,右上肢肢体肌力现已有3级,右下肢肢体肌力也恢复到3+级,可独自坐起、站立,行走一小段路,虽然还需进一步康复,但能恢复成现在这样他们家人已经很高兴了。
神外专家PEEK颅骨修补,让患者重拾生活信心
看着丈夫身体一天比一天恢复的好,妻子金女士和家人都很开心,但现在还有一个让她和丈夫忧心的大问题,之前在他院进行去骨瓣减压术后,致使其丈夫左侧骨瓣严重缺损,大小约为10cm×12cm。而头部缺损区域头皮下陷,不仅影响其容貌,而且还很不安全,季先生非常抑郁,整天眉头紧锁、沉默不语。

▲ 患者颅骨大面积缺损
颅骨缺损使季先生非常不安,因为没有颅骨保护和支撑,他能明显感觉到晚上睡觉和白天坐立时,其颅内的东西会出现在不同的部位,这让他坐立难安。也对以后的生活起居、外出等都将造成很大的不便,除了要担心别人投来的异样眼光,还要小心保护头部损伤部位,每每提到颅骨缺损这个事季先生就有些伤感,因此,妻子金女士想及早为其丈夫进行颅骨修补。
在了解到患者季先生有颅骨修补的意愿后,张静波主任又联系了神经外科6B副主任吴治群博士,进行诊疗。潘仁龙主任、吴治群博士及其团队根据患者具体病情,并结合其头部CT影像资料,对其进行详细诊断评估,一致认为患者头部伤口愈合良好,已有四月余,鉴于其颅骨缺损较为严重,且颅骨缺损的时间越长,颅骨缺损综合征及继发性脑损害的发生率也就越高,因此,手术指征明显,应及早手术。

▲ 吴治群博士手术中
为了更好手术,吴博士根据患者头部CT数据为其精心定制了三维成型的PEEK材料修补板,随后于今年2月9日,吴博士及其团队为患者实施了PEEK颅骨修补术,以便更好地保护脑组织,避免患者因颅骨缺损而引起的各种健康问题和额外风险,在吴博士主刀和医护人员通力协作下,手术顺利完成。
对于季先生此次颅骨修补手术,吴治群博士表示,还是有一定难度的,因为患者颅骨缺损比较严重,且正好缺损的部位涉及眼眶部分,对修补技术要求就较精细和高难度;同时患者比较年轻,以后可能还要返回工作岗位,其家人对修补的要求也是很高的,因此最终为患者选择了目前先进的高分子颅骨修补材料PEEK。这种修补材料不仅生物相容性好,能够复杂塑形,缺损区吻合度高,还具有很好的防护性能,不会影响术后的各项放射性检查,可达到理想的修复效果。

▲ 颅骨修补前(左)后(右)
“手术后他恢复得不错,当他看到镜子里的自己时,露出久违的笑脸,家人都替他高兴”,金女士说道。
“还能再次看到那个帅气自信的他,并又可以站起来和走路了,我要特别感谢张静波主任、吴治群博士以及医护人员,在他们的共同努力下,才使得我爱人恢复得这么快。为此,我和家人感激不尽。”
此文章仅作为临床学术研究、学术交流使用!
上一篇:腰椎盘突出生活不能自理,关桂春教授为其摆脱轮椅束缚 下一篇:七旬阿婆一直以为只是“小中风” 没想到一跤“摔出”鹅蛋大小脑膜瘤
11月26日,闵行区七宝镇“一育三给”文明实践志愿服务沉网入格分...【详细】


