题记:脑肿瘤的切除可说是外科手术中风险较大的一种,即使患者性命无忧,也很可能因为手术中意外伤及正常的脑细胞而丧失人体的重要功能,比如视力、行动能力,甚至思考能力。“面对患者的求生意愿,医生很难什么都不做,”政府特殊津贴专家、我院神经外科主任侯增欣说,“你无法告诉患者‘没办法了,回家好好养着’这样的话,因此哪怕是有一丝的希望,也愿意为此拼尽全力。”
这名患者名叫卓文(化名),今年30岁,因第三脑室内丘脑深部肿瘤,肿瘤位置敏感,加上合并精神分裂症状,被多家知名医院婉拒手术,遂从江苏慕名来到我院就诊,我院神经外科主任侯增欣凭借丰富的手术经验及精湛的医技,特选取经额胼胝体手术入路,显微镜下不仅成功全切丘脑深部肿瘤,更对扣带回进行刺激,患者精神分裂症状同时得到明显改善。目前,该名患者已经顺利出院。
病史回顾
主诉:头昏伴精神烦躁恍惚四月余
患者于2016年9月,在安静状态下无明显诱因,出现头晕头胀,后自行缓解;12月份患者在无明显诱因下出现精神狂躁,情绪激动,神志恍惚,头部CT示:两侧侧脑室前角及第三脑室前部区域占位,伴渗出,幕上脑室积水。曾于多家知名医院寻求手术治疗未果,2017年1月13日慕名来到上海蓝十字脑科医院,门诊以“颅内占位,脑积水”收住入院。

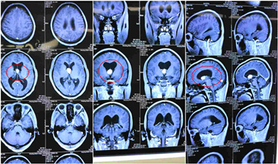
术前CT影像资料:不同截面,红圈内白色物体为肿瘤物
手术讨论:有手术指征,可行手术治疗
入院后,我院神经外科专家侯增欣等结合患者病史及影像学资料进行了联合会诊,专家们经过仔细研究讨论,一致认为:患者“颅内占位”诊断明确,患者有头晕症状,目前有手术指征,可行手术治疗,术中注意仔细辨认瘤体,分离瘤体与正常结构间粘连,防止丘脑及前丘部正常垂体损伤,术后可能出现一过性尿崩症状,注意维持水电酸碱平衡稳定。
最后,专家们一致同意为患者实施“第三脑室内肿瘤切除术”,手术由经验丰富的侯增欣主任主刀。
侯增欣主任解读:手术难点
“手术首先要保障患者的生命安全,然后在这个前提下尽可能地切除肿瘤以达到治疗的目的”,行医以来,侯主任始终坚守这样的信念,不保守、不冒进、实事求是,手术但求一个“稳”字。也因为此,侯主任经手的手术,无论多难,总是能达到理想的治疗效果。
而对于卓文的手术,侯主任客观地认为“手术难度不小”:
1.肿瘤位置:肿瘤位于三脑室丘脑中间,两侧都和丘脑供血有关,且肿瘤供血丰富,所以手术难度大。手术做少了担心达不到治疗的目的,做多了担心对丘脑造成很大的影响。
2.手术部位深:肿瘤在三脑室底部,非常的深,手术从哪个位置进去都有难度,均易对周围结构造成破坏。
3.对丘脑的影响:术后可能导致瘫痪、意识障碍、内分泌紊乱、植物神经功能紊乱等症状。
4.合并精神分裂症:患者依从性差,术后若躁动,易引发颅内出血等一系列并发症。
因此,手术前,侯主任及专家团队反复考虑,希望选取较佳手术入路,将肿瘤尽可能全切除的同时通过神经刺激治好患者的精神症状,实现一举两得。
1月19日,侯主任成功为患者实施了“经额胼胝体入路第三脑室内肿瘤切除术”。手术选取胼胝体前三分之一处切开1.5公分裂隙,对扣带回进行刺激,后经室间孔进入第三脑室,显微镜下见肿瘤呈灰白色,圆形大小为3*3cm,由脉络膜动脉供血,呈囊实性,侯主任沿囊壁边沿分离,逐步切除肿瘤囊壁,肿瘤切除满意。手术比预期提前2小时结束。


术后术前CT影像资料对比:肿瘤切除得十分干净
术后随访
术后两次复查头颅CT示:肿瘤切除干净。第三、四天,患者精神症状消失,意识清醒,回答问题清楚,见人也会主动打招呼,更没有出现术前担心的意识障碍、偏瘫、多饮多尿等症状。和术前打针、剃头、导尿等不配合,躁动起来几个人都按不住,更在术前剃头时扬言:“谁要剃我的头,我就要先把谁的头给剃了”已判若两人。

出院在即,护士仔细为卓文做最后一次护理
2月初,卓文顺利出院,本人及家属对手术效果十分满意,对侯增欣主任及我院医生专家的救治十分感激。正如侯增欣主任所说“面对患者的求生意愿,医生很难什么都不做”,也无法告诉患者“没办法了,回家好好养着’”,而是毫不犹豫抗住所有的难,哪怕只有一丝希望,始终不放弃!
此文章仅作为临床学术研究、学术交流使用!
上一篇:Perfect!脑胶质瘤肿瘤切除与放射粒子再植入一举两得 ——神经外科专家侯增欣成功完成一例高难度多次术后复发脑胶质瘤切除术 下一篇:突发急性脑出血幸遇良医 蓝十字开展颅内血肿微创清除术让其回归正常生活
科学运动,重在适度。只有充分了解自身条件,合理规划锻炼强度,...【详细】


