2021年7月的一天,陈老伯一家的幸福生活被阴云所笼罩。70多的陈老伯,不幸查出罹患巨大脑膜瘤,这让一大家子人的神经都紧绷了起来。紧张、焦虑、遗憾、懊悔,让每个家庭成员的内心都跌宕不安。
走路总右偏 查出巨大脑膜瘤
陈老伯身体一向还算硬朗,直到五个月前的一天,陈老伯走着走着突然出现了右偏现象。一开始谁也没当回事,直至症状加重,老伯才迫不得已到当地医院就诊。头颅CT提示:左额叶占位伴周围水肿,考虑脑膜瘤。

那一刻,仿佛晴天落下一声霹雳,一家子都懵了。好在接诊医生当时告知,脑膜瘤一般为良性,手术切除即可改善症状,这才让一家人提起的心稍稍放下了一些。但是让一个年届80岁的老人接受开颅手术,又让他们陷入了难以抉择的困境。
老爷子虽然一向身体可以,但毕竟年纪大了,身体状况能否耐受手术,实在无法预估;即使身体条件合适,手术中的潜在风险也是不可知的。衡量再三,家人们最终选择了保守疗法。
手术指征明确 需尽快手术
随着时间的推移,陈老伯的症状越来越重,手术已经成了必选项。经过审慎考量和筛选抉择,2022年1月下旬,陈老伯辗转进入上海蓝十字脑科医院,收治于神经外科6B病区。
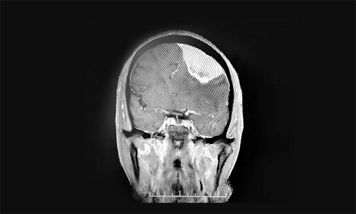
入院检查,头颅MRI提示:左侧额叶大脑凸面可见巨大团块状异常信号,周围可见明显水肿信号,胼胝体明显肿胀,临近左侧脑室受压向右侧移位,中线结构轻度右移,病灶大小约7.2×3.3×3.2cm。

▲ 肿瘤位于左侧额部
神经外科6B病区主任潘仁龙、顾国山教授、吴治群博士组成的专家组会诊后指出,陈老伯颅内占位明确,根据影像学表现考虑为脑膜瘤,手术指征明确,需尽快手术。
为什么肿瘤一发现就这么大
为什么肿瘤一发现就这么大?面对陈老伯和家人的疑惑,潘仁龙主任耐心解释到:
由于脑膜瘤属于颅内良性肿瘤,生长较为缓慢。患者在早期几乎没有明显的临床症状出现,特别是生长于神经功能哑区的肿瘤。
因此,只有当该类型肿瘤长到了一定的程度,对周围组织或血管产生压迫,引起大脑功能障碍才会让患者出现比较明显的症状,而一旦出现症状,就意味着肿瘤的生长已经没有空间,随时会出现脑疝、呼吸及心跳骤停的危险,必须尽快手术。
硬脑膜粘连 手术具有挑战性
顾国山教授介绍道,患者年龄偏大,肿瘤生长时间又太长已经侵犯到颅骨,且体积巨大,临近重要运动功能区,这些都大大增加了手术的难度和复杂度,而且肿瘤与大血管粘连,血供极其丰富,手术中一旦有丝毫差错,都有可能造成大量出血,威胁患者生命。
一般情况下,巨大脑膜瘤手术可在术前3-7天先行“全脑血管造影术”,以明确供血动脉是否可行栓塞处置,以减少术中出血,有利于手术操作,降低手术死亡率和致残率。但是该患者MRA显示肿瘤血供主要来源于硬脑膜,非主要动脉供血,导管无法到达,术前栓塞无法实施,这无疑增加了术中出血风险,也增加了手术难度。所以,手术不仅对老人来说,是一个巨大的考验;对医生来说,也是一大挑战。

▲ 飞利浦双C臂血管造影系统(DSA)
尽管切除难度高,手术风险大,但综合分析考虑肿瘤为脑膜瘤,多为良性肿瘤,手术可以切除,顾国山教授团队决定迎难而上,挽救患者生命。
历时5个多小时 顺利切除肿瘤
为降低手术风险,专家组进行周密的术前讨论,多次研究病人影像资料,制定了详细的手术方案,同时,召集麻醉科等相关科室专家集体会诊,反复推敲术中可能出现的问题,并对围手术期可能出现的各种突发状况做好详尽的应急预案。

▲ 顾国山教授(左一)正聚精会神为患者手术
1月26日,在征得家属同意后,6B神经外科团队为患者进行了额叶脑膜瘤切除手术。
通过蔡司显微镜(双荧光),见硬脑膜内侧暗红色肿物,与硬脑膜粘连紧密,考虑为硬脑膜生发的脑膜瘤。肿瘤质软,血供极其丰富,由于长期受压,瘤壁与周围脑组织粘连紧密,与中央前回运动区、上矢状窦、大脑镰及侧脑室等重要结构关系密切。
顾国山教授在吴治群博士、黄秀夫医生及医护团队协助下,凭借精湛的手术技巧和丰富的临床经验对肿瘤进行精细剥离。经过5个多小时终于顺利切除肿瘤,上述重要神经组织结构及血管均保留完好。术后的病理确诊为脑膜瘤。
术后,患者恢复良好,未出现偏瘫、失语等,走路右偏症状消失。后经康复治疗,陈老伯于日前已顺利出院。
大多数脑膜瘤是良性,预后良好
顾国山教授表示,脑膜瘤是起源于脑膜及脑膜间隙的衍生物,发病率占颅内肿瘤的19.2%,仅次于胶质瘤,居第2位。其中,50%的脑膜瘤位于矢状窦旁,另大脑凸面、大脑镰旁者多见,其次为蝶骨嵴、鞍结节、嗅沟、小脑桥脑角与小脑幕等部位。脑膜瘤虽属于良性肿瘤,生长慢病程长,但其呈膨胀性生长,患者往往以头痛和癫痫为首发症状,还可能出现视力、视野、嗅觉或听觉障碍及肢体运动障碍等。

▲ 国际先进的德国蔡司手术显微镜
顾国山教授提醒,因脑膜瘤生长缓慢,等到发现时肿瘤往往长得很大,患者若忽视早期症状,可能会错过最佳治疗时机。若未及时治疗,患者病情将呈现进行性加重,会导致多种恶性循环因素,使病情迅速恶化甚至威胁生命。同时脑膜瘤会随着时间的推移越长越大,一旦长成巨大肿瘤,手术风险将成倍增加,一定要早发现早治疗,不能讳疾忌医。
目前,手术切除脑膜瘤是主要治疗手段,尤其随着显微手术技术的发展,手术效果不断提高,大多数患者术后都能顺利康复。
此文章仅作为临床学术研究、学术交流使用!
上一篇:打破脑外科禁忌 82岁高龄垂体瘤患者术后康复出院 下一篇:两岸情 | 上海蓝十字脑科医院成功救治中国台湾脑出血患者
近日,上海蓝十字脑科医院在学科建设与人才引进方面取得重要进展...【详细】


