目前,互联网伴随智能手机的出现,使得“低头族”越来越多。人们的日常生活似乎都离不开这个4G、5G时代必须拥有的移动终端。很多人会专注于智能手机一直看到眼睛酸痛难忍才肯休息。因此,当出现视力问题,很多人都误以为是用眼过度,或近视加重,不会太在意,直到出现严重的症状时才会“临时抱佛脚、病急乱投医”。

41岁的魏女士(化名)喜欢看智能手机,直到她的视力明显下降,出现重影,她才想着去医院诊治,没想到一查竟是鞍区脑膜瘤!
视力障碍,鞍区脑膜瘤首发症状
上海蓝十字脑科医院神经外科6B病区主任潘仁龙解析,脑膜瘤是颅内较为常见的一种肿瘤,起源于脑膜及脑膜间隙的衍生物,其发病率占颅内肿瘤的19.2%,仅次于胶质瘤,居第二位,多见于中老年人,女性略多。而鞍区脑膜瘤是脑膜瘤中常见的一类,主要位于鞍区,所以命名为鞍区脑膜瘤,是颅内最常见的良性肿瘤。
鞍区脑膜瘤包括鞍结节脑膜瘤、鞍隔脑膜瘤、前床突脑膜瘤等一大类脑膜瘤,一些蝶骨嵴内侧型脑膜瘤、嗅沟脑膜瘤等如果体积较大,常常会累及鞍区。由于脑膜瘤处在鞍区,和视神经、视交叉、大脑前动脉以及双侧海绵窦位置比较邻近,所以主要症状就是引起视力视野改变,及垂体内分泌改变等。

其中约80%以上的患者以视力障碍为首发症状,视力障碍多为缓慢、进行性减退,可持续数月或数年。早期一侧视力减退伴颞侧视野缺损,单侧视力障碍占55%,随后对侧视神经和视交叉受压表现为双眼视力下降或双侧视野缺损,双侧视力障碍者占45%,情况严重者可导致失明。
鞍区脑膜瘤的生长速度因人而异,如不及时治疗,肿瘤增长到一定程度,会严重压迫视神经,不仅可导致失明,患者还可出现颅高压、视乳头水肿、头痛、精神症状等严重病症,因此,患者一旦确诊应尽早手术治疗。
视力模糊以为近视加重,一查竟是鞍区脑膜瘤
据患者魏女士介绍,她眼睛近视多年,之前两个眼睛度数有200多度,自大学毕业后,眼睛度数就没怎么增长,但就在去年6月中旬,却突然出现左眼视物不清的症状,当时也没在意。因为她和大多数人一样,只要有时间不是刷新闻,就是刷视频,经常会用眼过度,加之自己原本近视,想着可能是自己近视度数增加的缘故。

但随后几个月,魏女士左眼视力明显下降,看东西越来越模糊,还出现了重影,尤其是走路时,明显感觉左侧视野缺损,有几次都差点摔倒了,对日常生活和工作影响还是很大的。这时她才意识到问题的严重性,想着是不是眼部疾病所致,要不视力不会下降的这么快,她越想越怕,遂即就诊于上海某医院,并进行了眼部相关检查,排除了眼部疾病。之后在医生的建议下魏女士又进行头部MRI检查,提示:左侧鞍区占位,考虑脑膜瘤,伴左侧视神经受压。
医生告诉魏女士,由于她拖延治疗半年,现在肿瘤逐渐长大,已经压迫到左侧视神经,所以视力才会下降得如此快,应尽早手术,以避免引发更多严重的并发症。为了寻求更好的治疗,魏女士于2020年12月14日,慕名就诊于上海蓝十字脑科医院,并收治于神经外科6B病区。
经眉弓眶上锁孔入路手术,顺利切除鞍区脑膜瘤
“魏女士入院后,初测视力,其左眼当时仅有0.1,只能看到视力表最上面一行大字,其余都模糊不清,相当近视的500多度,算是高度近视了,还好她的右眼没受到影响,还是之前的200多度,如果继续拖延下去,左眼可能会出现萎缩,严重时还会造成失明”,潘仁龙主任解说道。
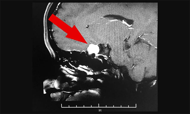
随后,完善其各项检查,为了进一步确定患者脑膜瘤位置和大小,进行了鞍区MRI平扫+增强,其左侧鞍旁可见团状肿块影,T1WI呈等信号,T2WI呈等信号,部分低信号,边缘清晰,大小约为1.5厘米x1.4厘米x1.5厘米,增强后病灶显著,均匀强化,与同侧海绵窦部分贴附。

▲ 脑膜瘤已压迫患者左侧视神经,需及时手术治疗
根据魏女士的具体病情,其左眼视力为0.1,且已出现了视物模糊、重影等症状,并结合其影像检查结果,潘仁龙主任、李士其教授及吴治群博士一致认为,应及时为患者手术,以防止其脑膜瘤进一步增大引起激素水平紊乱,视野缺损等严重并发症。且鞍区脑膜瘤一旦确诊应尽早手术,肿瘤越小,手术效果越好,术后视力恢复越理想。
潘仁龙主任表示,魏女士此次手术采用的是显微镜下“经眉弓眶上锁孔入路方法”进行鞍区病损切除,该手术具有微创、损伤小、愈合时间缩短、时间短等优点,同时可预防脑脊液漏发生;且因手术切口短而隐蔽,常设计在眉间,皮内缝合,愈合好就是一条线,等眉毛长好,几乎看不到手术痕迹,不大会影响患者的容貌。

▲ 专家详细为患者介绍,眉弓眶上锁孔入路手术方法
但并不是所有患者都适合该方法,潘仁龙主任指出,其具体手术入路方式的选择,主要取决于患者肿瘤的大小及生长方向,尤其与脑膜瘤的位置很关键。首先经眉弓眶上锁孔入路方法,必须是手术能达到患者肿瘤的部位,且患者肿瘤也不是很大,在这个操作空间里可以完成手术;但如果是特别大的脑膜瘤,并向鞍底蔓延,这种方式就不适合了。而魏女士脑膜瘤长在颅底,其肿瘤也不是很大,此微创手术方法为较好选择。

▲ 李士其教授团队顺利为患者手术
随后,12月18日,李士其教授在吴治群博士、黄秀夫医生的协助下,顺利为患者魏女士进行了 “经眉弓眶上锁孔入路手术切除鞍区脑膜瘤”。术中,在蔡司显微镜(双荧光)下,可见其鞍区左侧白色肿物,血供丰富,并见其左侧视神经被肿物挤压,填塞脑棉保护视神经,将肿物自内部切开,逐步切除,经过医护人员两个多小时的齐心协力,手术顺利结束,患者安返监护室进一步监测。
现在,魏女士左侧视物模糊情况明显改善,重影症状也已完全缓解,基于恢复状况良好,魏女士已顺利出院。
此文章仅作为临床学术研究、学术交流使用!
上一篇:五旬女子头痛头晕四年没当回事,因视力视野异常,查出垂体瘤 下一篇:摆脱束缚 焕新人生 | “帕友”老陈:在蓝十字脑科医院收获“新年大礼”
近日,上海蓝十字脑科医院神经内科任明博士为核心成员参与完成的...【详细】


