2022年1月5日,神经外科6B病区刚刚完成交班,突然响起一阵急促的电话铃声。整个病区如同听到了战斗的集结号,瞬间奔忙起来,一场惊心动魄的战斗,拉开了序幕……
脑肿瘤伴严重水肿,脑疝临近
去年年初,52岁的张先生不幸罹患肝癌,在当地医院进行了介入治疗,后进行抗癌治疗。十天前突发抽搐,之后出现行走不稳症状。前往当地医院检查头颅MRI提示,颅内多发病灶,考虑脑转移瘤。
近日,张先生病势渐重,并伴有头晕、头痛及呕吐等症状。经核酸检测后,2022年1月4日夜转入上海蓝十字脑科医院肿瘤科,准备行伽马刀治疗。
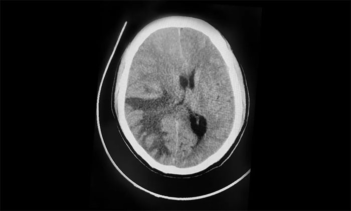
1月5日早晨,张先生反复出现头痛、呕吐。肿瘤科、放疗科、神经外科6B病区专家紧急会诊,并急查头颅CT。影像显示,右侧额顶叶、枕叶见多枚大小不等团块状等密度影,最大者约4.2*4.8cm,周围大片低密度水肿。右侧脑室受压变窄,中线结构向左侧偏移超过1.0cm。

▲ 中线结构向左侧偏移
“手术宜早不宜迟,越早越好!”潘仁龙主任、吴治群博士分析指出。结合影像表现,共发现有三处肿瘤,并伴严重水肿,脑组织向脑干处移位,脑干受压明显,颅内压急剧升高,患者意识状态逐渐恶化,已经处于脑疝临界状态。
如果任由病情继续发展,将出现脑疝,导致患者呼吸循环衰竭,危及生命,需紧急行开颅手术切除肿瘤,以挽救生命。同时,也为取得病理切片、明确诊断,制定下一步MDT方案提供理论依据。
吴治群博士成功切除肿瘤 解除脑疝风险
针对患者的特殊情况及术前检查结果,经专家组科学论证,制定出详尽的手术方案和相应的手术预案,决定切除引起水肿最重的肿瘤。
吴治群博士指出,患者既往有肝炎肝硬化,合并肝癌,患者血小板极低,为60x109 /L,凝血功能很差,术中可能出现创面渗血不止,这无疑将极大增加手术难度。
在和家属详细沟通手术风险,获得家属支持,并签署同意书后。由潘仁龙主任指导,吴治群博士在黄秀夫医生、刘旭峰医生协助下,第一时间为张先生展开了手术。

▲ 吴治群博士手术中
手术选择右侧颞顶枕部入路。显微镜下见脑表面暗红色肿物,质软。吴治群博士在高倍显微镜下,小心翼翼地沿肿瘤边界,一步一步将肿瘤与正常脑组织剥离。最终,在充分保护功能区的基础上,将大小约3×2.5×2.5cm肿瘤完全摘除,并取肿物送检。

▲ 吴治群博士正在进行创面处理
肿瘤摘除后,术区创面如术前判断,渗血不止。吴治群博士耐心、细致地进行创面处理,及时止血,最终妥善处理。至此,手术顺利完成。
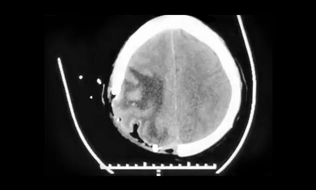
术后,患者没有出现肢体运动障碍,头晕、头痛及呕吐消失,目前正在康复中。下一步,明确病理结果后,将继续MDT团队讨论,确定治疗方案。

▲ 术后,中线结构恢复正常
什么是脑转移瘤?
脑转移瘤是指原发于身体其他部位的肿瘤细胞转入颅内,其发病率占颅内肿瘤的3.5%-10%,以肺癌脑转移最多见,其次是黑色素瘤,泌尿生殖系肿瘤和消化道肿瘤。20-50岁为发病年龄高峰,男性多于女性。
脑转移后有哪些症状表现?
常表现为颅内压增高、局灶性症状:颅内转移瘤通常肿瘤体积较大,或瘤周水肿较重,临床病情进展较快,病人表现为头痛、恶心及呕吐等;依肿瘤位于颅内的不同部位,可以出现精神症状、失语、癫痫、肢体运动及感觉障碍等。
肿瘤发生脑转移后怎么办?
肿瘤脑转移虽然是瘤症的晚期表现,但神经外科手术是治疗脑转移瘤的一种重要的手段,可以延长一部分患者的生存时间。
临床实践表明:脑转移瘤手术后,患者临床症状恢复较快,尤其是瘤周水肿的消退非常迅速,患者的生活质量得到了明显改善,对患者颅内症状的改善和生存时间的延长具有非常重要的意义。
对于脑转移瘤,下列情况均可选择手术治疗,包括:
(1)脑内多发转移瘤,可手术切除占位大的转移灶;
(2)对单发脑转移瘤,如原发瘤已切除,应及早手术切除脑转移瘤;
(3)对于先后发现脑转移瘤与原发瘤的病人,病人颅内症状明显时,可先切除脑转移灶,后再切除原发病灶;
(4)对于原发病灶不能切除的病人,为缓解症状,延长生命也可只切除脑转移瘤。
一切“以患者为中心” 推行MDT诊疗模式
目前,对于脑肿瘤患者,上海蓝十字脑科医院推行MDT诊疗模式,即由来自神经外科、肿瘤科、放疗科、影像科等科室专家加上护理人员组成工作组,针对某一肿瘤类型,通过会诊形式,提出适合患者的最佳治疗方案,继而由相关学科单独或多学科联合执行该治疗方案。
MDT诊疗模式倡导以“患者为中心,个性化治疗”的方式和理念,是挽救肿瘤患者的一种成熟的诊疗手段,已渐成脑肿瘤治疗的主流趋势。
此文章仅作为临床学术研究、学术交流使用!
上一篇:鼻空肠管置入术成功开展 蓝十字脑科医院不断提升护理服务水平 下一篇:微血管解压术 VS “天下第一痛”
11月26日,闵行区七宝镇“一育三给”文明实践志愿服务沉网入格分...【详细】


