肾动脉狭窄(renal artery stenosis,RAS),是引起高血压和(或)肾功能不全的重要原因之一。《肾动脉狭窄的诊断和处理中国专家共识》指出,RAS的患病率在高血压人群约占1%~3%,而在继发性高血压人群可达20%。该病如果未予适当治疗,病情往往呈进行性加重,患者会出现头痛、头晕、视物模糊等高血压症状,严重时还可能出现尿毒症、心力衰竭、高血压脑病等并发症。随着病情持续恶化,部分患者会因此进入终末期肾病,严重威胁患者健康。
近日,上海蓝十字脑科医院学术副院长、神经内科4A病区主任席刚明教授带领团队顺利为一位肾动脉狭窄患者行支架置入手术。
该患者为老年男性,今年73岁。3年前,患者无明显诱因突然出现右眼视物模糊,左眼失明。在外院就医诊断为左颈总动脉闭塞,曾行右椎动脉起始段及左锁骨下动脉起始段支架置入术。术后患者左眼视力丧失,右眼视物模糊,双下肢行走缓慢。近期,现患者早晨起床后自觉视物模糊明显加重,遂至上海蓝十字脑科医院寻求进一步治疗。

▲ 患者视物模糊加重
患者有10余年脑梗病史,有长达10余年的高血压病史,每天要口服药物控制血压,还有冠心病等慢性疾病。入院查体,患者血压值一度达到160/76mmHg,调整用药后虽有下降,但控制效果仍不明显。
患者头、颈部MRA检查显示“右椎动脉支架置入术后”改变;左侧颈总动脉中远段及颈内、颈外动脉、左侧大脑中动脉、右侧大脑后动脉未见明确显示,颅底动脉多发局灶性狭窄。
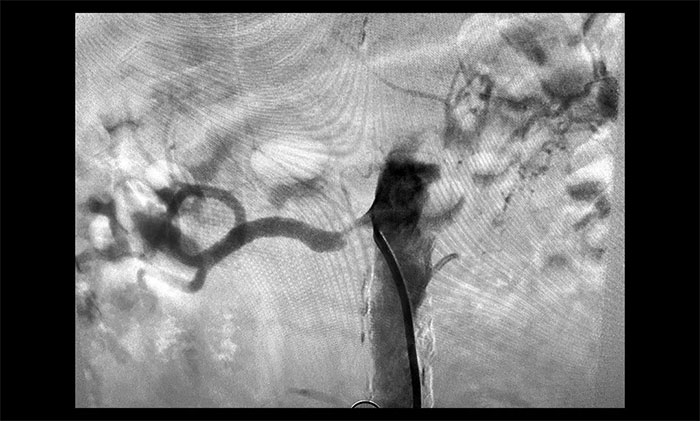
席刚明教授进一步行DSA脑血管造影检查,患者脑动脉多发性狭窄(右侧颈内动脉、大脑中动脉、基底动脉等),左侧颈总动脉闭塞,右侧椎动脉闭塞,右侧肾动脉重度狭窄(狭窄率大于70%),左侧肾动脉闭塞。

▲ 患者右侧肾动脉重度狭窄,左侧闭塞
结合检查结果,席刚明教授团队对病情开展审慎分析评估。患者近期血压居高不下,视力模糊加重,考虑病情与肾血管性高血压有关。其一侧肾动脉已闭塞,左肾萎缩,左肾几乎失去功能。如不及时治疗,不仅血压难以控制,还可能导致脑血管病再发及肾功能进行性恶化,甚至发生肾衰竭等严重并发症。
目前,肾动脉狭窄治疗方法主要包括药物治疗、开放手术和介入治疗。药物治疗不能从根本上改善因肾动脉狭窄引起的缺血。运用肾动脉支架置入等介入治疗手段,能恢复肾脏正常血流灌注,保护肾脏功能,使高血压得到控制甚至治愈。相比于开放手术,对人体创伤小,具有相对安全、并发症少等特点,是目前临床治疗该类疾病较为成熟的治疗手段。
肾动脉位置较为特殊,要顺利完成支架置入手术,需要在分毫之间运作导丝完成操作、定位,十分考验手术医生的技术手法和临床经验。席刚明教授团队充分完善手术预案,迎难而上,于2023年12月14日为患者行右侧肾动脉支架置入手术。一系列精细的操作下,通过球囊扩张改善狭窄,再撤出球囊,将支架于狭窄段扩张释放……每一步都要既谨慎又到位,术中造影即可见狭窄明显改善。历时近一个小时,手术顺利完成。

▲ 支架置入后狭窄明显改善
术后,患者恢复情况良好,未出现明显并发症。长期困扰患者的高血压等症状得到缓解改善,于2023年12月25日,也就是手术后不到两周顺利出院。出院时测得其血压值为105/65 mmHg,降至理想水平。
席刚明教授指出,随着人口老龄化的来临和血管影像技术的普及,临床实践中肾动脉狭窄的发现率正逐年攀升。基于已有的指南和专家共识,建议以下高血压人群筛查RAS:
(1)持续高血压达Ⅱ级或以上,伴有明确的冠心病、四肢动脉狭窄、颈动脉狭窄等。
(2)高血压合并持续的轻度低血钾。
(3)脐周血管杂音伴有高血压。
(4)既往高血压可控制,降压药未变情况下突然血压难以控制。
(5)顽固性或恶性高血压。
(6)重度高血压患者左心室射血分数正常,但反复出现一过性肺水肿。
(7)难以用其他原因解释的肾功能不全或非对称性肾萎缩。
(8)服用血管紧张素转换酶抑制剂(ACEI)或血管紧张素Ⅱ受体拮抗剂(ARB)后出现血肌酐明显升高或伴有血压显著下降。
当高血压患者具备以上一项或多项临床特点时,需要高度警惕RAS,到具备肾动脉狭窄诊疗能力的医院进行检查,以明确诊断。
版权声明:部分图片源自摄图网,如有版权纠纷,请及时联系医院。一经查实,将立即删除。
此文章仅作为临床学术研究、学术交流使用!
上一篇:坐上“魔椅”转一转,轻松摆脱眩晕——上海蓝十字脑科医院引进眩晕诊疗系统,精准诊断治疗耳石症 下一篇:席刚明教授团队及时行下腔静脉滤器置入术 为患者撑起“生命保护伞”
11月26日,闵行区七宝镇“一育三给”文明实践志愿服务沉网入格分...【详细】


