人类的身体就如同一台精密的仪器,每个器官既各司其职,又协调而有条不紊工作着,这是因为它们听命于同一个“指挥官”——大脑。大脑分为左右两半球。每一大脑半球表面(大脑皮质)又分为额叶、顶叶、枕叶和颞叶等功能区,“掌控”着人体运动、感觉、视觉、听觉及精神等各项功能。一旦这些区域遭遇损害,将表现为不同程度的神经功能障碍,甚至可危及生命。
中年女子突然偏瘫失语查出巨大脑瘤
胡女士(化名)岁数不过半百,前半生却可谓充满了坎坷和不幸。1984年,当时正值花季的她因头晕,竟被查出脑右侧枕顶叶处占位,行手术切除并进行病理分析后为胶质瘤(WHO Ⅱ级)。胶质瘤是颅内最为常见的恶性肿瘤,手术后,胡女士接受了放射治疗等综合治疗,病情得到了控制。
祸不单行,2007年,胡女士遭遇外伤导致脑出血,接受了头颅钻孔引流手术。其后数年,因脑积水而出现乏力、饮食差、视力下降等症状,她不得不再次上了手术台。
然而,从2020年初开始,她右侧肢体开始渐渐无法动作并最终偏瘫,双侧视野出现缺损。她的语言功能也出现问题——虽然保留有说话的能力,但不能理解他人言语,无法与人正常沟通。

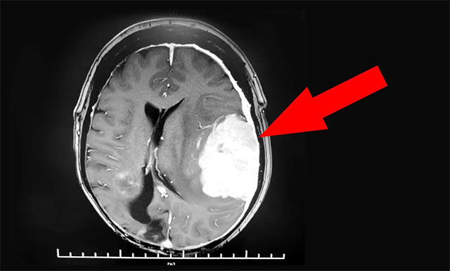
▲ 患者左侧颞顶叶巨大占位
经外院检查,发现患者左侧颞顶叶占位予以保守治疗。半年后患者病情进一步加重,复查发现占位区域水肿较前进展,中线发生明显偏移,脑组织受压程度严重,随时可能出现危及生命的脑疝,病情十分危重。
巨大脑瘤涉及重要血管 严谨制定手术方案
胡女士的家属回顾到:在来上海蓝十字脑科医院诊疗前,他们也曾找过几家大医院和神经外科专家寻求治疗,可大多认为患者系原有胶质瘤复发,预后不理想,手术意义不大,建议GIVE UP了。
然而,胡女士家属并不放弃。经亲友推荐,他们慕名来到上海蓝十字脑科医院为胡女士寻求进一步治疗。医院神经外科主任沈建康教授对胡女士坎坷的遭遇非常同情,也为其家属不离不弃、始终不放弃治疗的坚定决心所打动,表示将尽全力救治患者。

▲ 肿瘤病灶血供丰富
沈建康教授团队首先为患者进一步完善检查,头颅MRI增强检查显示,患者左侧颞顶叶部位的肿瘤约为6.3cm×4.4cm×6.7cm,体积巨大。经行DSA检查发现,肿瘤包裹缠绕多根重要的动脉血管,血供非常丰富。尽管切除难度高,手术风险大,但综合分析考虑肿瘤为脑膜瘤,系良性肿瘤,手术成功可以治疗好。
围绕这一棘手情况,沈教授团队联合医院脑血管病科主任张琪博士,开展了严谨的评估讨论,以确定治疗方案。临床经验丰富的沈建康教授指出,颞顶叶部位巨大脑膜瘤,治疗方法为手术切除,患者手术指征明确,未见明显手术禁忌。由于该肿瘤有明显的颈外动脉供血,讨论后考虑采取“术前栓塞+肿瘤切除”的手术方案,以减少术中出血,利于肿瘤分块切除,尽可能避免意外发生。
两台手术接力 成功切除巨大脑瘤
术前,沈教授团队向胡女士家属充分沟通、明确手术的必要性和风险性,并获得充分理解、签字同意后开始手术。借助先进的双C臂FD20/20双向血管造影系统DSA,先由张琪博士为患者行经导管颈外动脉供血血管栓塞术,脑血管造影显示,患者肿瘤供血动脉主要由左侧脑膜中动脉、颞浅动脉及左侧大脑后动脉脑膜支参与。张琪博士在DSA引导下分步完善栓塞供血动脉,直至完全切断肿瘤的主要供血,为沈建康教授进行肿瘤切除创造了有利条件。

▲ 沈教授在显微镜下为患者手术
随后,沈教授亲自执刀,在显微镜下抽丝剥茧般分块切除肿瘤。尽管肿物与脑组织边界不清,沈教授仍然轻轻拨动手术刀,以毫米为精度来分离肿物和神经血管,再一点点切除肿瘤。整台手术历时近7小时,从午后至夜深,终于将镜下可见的肿物切除,术中出血不多,患者生命体征平稳。

▲“元凶”为脑膜瘤
经对留取的肿物样本进行病理分析,确定为纤维型脑膜瘤(WHO Ⅰ级),为良性肿瘤。经过一个月的术后恢复,目前胡女士的右侧肢体肌力正在逐渐恢复,视觉、语言表达和理解沟通能力等其他神经功能也较手术前有不同程度的改善。
沈建康教授表示,胶质瘤和脑膜瘤是神经外科常见肿瘤。然而,两种肿瘤先后出现在同一患者颅内,这种情况却并不多见。胡女士的脑膜瘤虽然体积较大,所幸及时进行了手术切除,若能积极配合进行后续治疗和康复,有望获得较好的生存质量。
此文章仅作为临床学术研究、学术交流使用!
上一篇:面麻疼痛:到底是三叉神经痛还是脂肪瘤造成?元凶竟是脑深处长了...... 下一篇:医学前沿 | 经桡动脉穿刺全脑血管造影术,为脑血管疾病患者带来福音
近日,上海蓝十字脑科医院神经内科任明博士为核心成员参与完成的...【详细】


