调查显示:早期帕金森病的误诊率可达23.5%,帕金森病(Parkinson’s Disease,以下简称:PD)是一种中老年人常见的神经系统退行性疾病。其病情进展通常较为缓慢,以月或年计。但随着病情持续加重,会呈现震颤、僵直、运动迟缓等运动症状以及疼痛、失眠等非运动症状。由于其他脑部疾病也会造成类似帕金森病的症状,因此极易混淆而造成误诊,给患者带来痛苦,影响自己及家人生活等,甚至危及生命造成无法挽回的损失。
他被“确诊”罹患帕金森病
罗淳鸣(化名)今年85岁,两年半前即2018年8月,老罗吃饭时发现双手抖动,静止时未见双手抖动,无行走困难,就诊于上海某大医院分院,考虑为“帕金森病”,给予多巴丝肼片250毫克/片,早中晚各1/4片服用。
2019年4月中旬,因症状未见好转,转诊至上海另一家大医院治疗,还是诊断为PD,经多次调药加量,效果均不理想。
可是,2019年末,患者逐步出现迈步困难,行走缓慢,慌张步态,时有小便失禁,无饮食呛咳、嗅觉障碍,情绪开始异常。2020年4月12日因跌倒后卧床,同年7月患者不能独立行走,生活尚可自理。近三月患者症状再次加重,自觉吃饭时双手抖动严重,起床穿衣困难,站立不稳加重,双下肢抖动,不能独立生活。
帕金森病有三个主要的症状,即震颤、行动迟缓和步态障碍。多数帕金森病患者以震颤为主要表现,出现手抖、下肢抖动或头抖等症状。此外,除震颤以外,行动迟缓是一个非常重要的症状。很多患者在家庭生活中可能会被发现,动作慢,包括起床、穿衣服,系扣子或做饭等。

由于一些早期症状与其他神经系统疾病表现相似,需进行鉴别诊断。

▲ 张静波主任在检查患者
拨开重重迷雾“真相大白”
上海两家大医院都“确诊”老罗罹患帕金森病,并进行了药物治疗;老罗也按照医嘱按时定量服用,可是,药物治疗的“蜜月期”并未如期而至,恰恰相反,老罗病情持续加重。这可急坏了老罗的家人,老罗的儿子小罗经朋友推荐,于今年1月13日陪同父亲老罗,慕名前往上海蓝十字脑科医院神经内科7A病区主任张静波教授寻求进一步治疗,老罗以“肢体抖动、行动迟缓2年余,加重3月”为主诉收治入院。
张静波主任详细了解了患者的病史,并对老罗的病情开展了全面的检查和评估。经对患者老罗仔细查体后,张静波主任分析认为:
一、帕金森病为一种神经系统变性病,常常进展缓慢,药物治疗有“蜜月期”,PD有进行性加重,时间比较漫长;
二、该病患此手抖等症状时间持续不长,三年不到的时间持续加重,同比帕金森时间延续漫长,有的要5到10年之久;
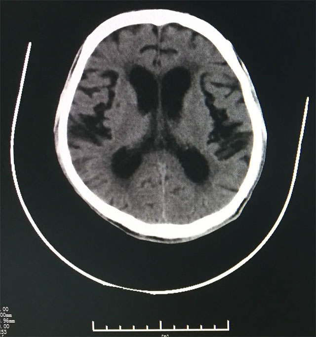
三、该病患经影像学查体显示:患者脑室增大,周边有间质性水肿,不符合PD影像表现。
综上,张静波主任对老罗患有帕金森病或帕金森综合征提出了一个大大的问号?
那么到底老罗患的是什么疾病呢?
对于从业经验丰富、医学造诣深厚的张静波主任来说,她诊断老罗患有“正常压力脑积水”,因为只有罹患该种疾病,老罗具备如二便障碍,走路不稳,记忆力下降,计算力差,言语欠流畅,四肢共济失调等正常颅压性脑积水等临床表现,同时影像学也符合正常颅压性脑积水。有了这些依据,仍然不能确诊,临床还需要腰穿做脑脊液放液试验才能确诊。

▲ 影像医学显示患者脑室增大
为进一步确诊病情,张静波教授对患者进行了腰穿脑脊液放液试验。放液后第二天,患者症状基本全部改善,可以独立行走,震颤明显缓解。自此,昔日被宣判的不治之症,改判为今天的可治之症。
正确引导 “牛转乾坤”
在张静波主任的正确引导下,1月25日,由神经外科6B病区副主任吴治群博士主刀,老罗顺利进行了脑室腹腔分流术。术后第一天,老罗手不再颤抖了;第二天,老罗就能开始下地走路了。两周不到,2月5日牛年来临之际,老罗顺利出院。
儿子小罗激动不已地说:“真没想到,张主任比福尔摩斯探案都要神奇,父亲两年半被误诊的帕金森病,居然被蓝十字的张主任给破解了,原来病魔是脑积水,而且这么快就能基本康复出院,真是万分感激啊!”

▲ 张静波主任与吴志群博士会诊
▲患者术后能自己走路了
上一篇:一个“抖”一个“僵”,两位帕金森病患者为何都选择蓝十字脑科医院DBS手术? 下一篇:4.11世界帕金森病日 | 除积极治疗PD外,请关注“帕友”心理健康和生活质量
近日,上海蓝十字脑科医院神经内科任明博士为核心成员参与完成的...【详细】


