喉,是人体呼吸道的起始部位,除了承担着呼吸和发音两大基本功能外,还起着保护作用——当人们进食时,喉部“大门”(会厌软骨)关闭,避免食物落入喉腔引发窒息,即使不慎有“漏网之鱼”,喉也可以通过咳嗽反射使食物排出;当人们呼吸时,喉部“大门”(会厌软骨)打开,新鲜空气顺着喉腔进入肺部。喉癌就是发生在喉部的恶性肿瘤。喉癌在头颈肿瘤家族中比较常见,排在第三位,发病率2.1/10万,发病年龄多在40-60岁,多发于中年男性。

上海蓝十字脑科医院肿瘤科(放疗)王晓东主任介绍,喉癌是一种“狡猾”的疾病,起病往往“悄无声息”,且容易与咽喉炎相混淆,易被忽视。根据原发肿瘤发生部位的不同,喉癌早期可有以下典型症状:
声音嘶哑:
长在声带上的喉癌症状明显,早期就有声音嘶哑表现,但是这一症状不具有特异性,而往往容易被忽视。
咽部不适、疼痛及异物感:
长在声门上的喉癌早期可有咽部不适、疼痛及异物感,而且持续不消失。还可能表现有持续咳嗽、吞咽时疼痛、吞咽食物困难、颈侧或耳后痛等。
痰中带血:
长在声门下的喉癌,位置比较隐蔽,早期无症状,后可发生咳嗽,痰中带血,痰里见少数血丝,特别是清晨的第一口痰。晚期患者常有呼吸困难。
颈部肿块:
当喉癌通过淋巴循环出现淋巴结转移可伴有局部肿块。临床上,很大一部分喉癌患者就是因为出现颈部肿块就医检查才发现患上喉癌的。
王晓东主任提醒,大多数人有过声音嘶哑、喉部疼痛或异物感、痰中带血等经历,如果是感冒、慢性咽炎等引起的,经药物治疗后大多会随着时间推移逐渐缓解。但如果上述症状超过两周未缓解,甚至持续加重时,就要警惕喉癌的可能性,应及早就医。

诊断喉癌可通过详尽的病史和头颈部的体格检查、喉镜、颈部X线平片、喉CT,核磁共振成像(MRI)检查等,确定喉癌肿物病变的部位、大小和范围。间接喉镜或纤维喉镜下取病理活检是确定喉癌的重要的方法。
喉癌的重要治疗方法——放疗
王晓东主任介绍,喉癌的治疗方法主要包括手术、放疗、化疗、生物免疫疗法等,医生会根据患者的不同情况选择合适的治疗方案。如果喉癌得到早期诊断,医生往往考虑采取手术治疗方法。早期的喉癌也可仅选择放射治疗,利用高能射线杀死喉部的癌细胞。针对肿瘤恶性程度高,或有远处转移的患者,还可同时辅以化疗,降低喉癌复发威胁。

▲ 放疗已成为治疗恶性肿瘤的重要方法之一
放射治疗是通过电离辐射作用杀死癌细胞的一种方法。是恶性肿瘤治疗的三大方法(手术、放疗和化疗)之一。约70%的肿瘤患者需要在疾病的不同阶段进行放疗。治疗喉癌时,放疗同样发挥着重要的作用。
王晓东主任进一步介绍,喉癌根据病变范围,可分为Ⅰ期(病变局限于喉的一个亚区)、Ⅱ期(病变侵犯至邻近亚区)、III期(声带固定或单个小淋巴结转移)及Ⅳ期(病变直接侵犯至食管、气管等部位或多个、较大淋巴结转移或远处器官转移)。对于Ⅰ、Ⅱ期喉癌,尤其是早期声门癌,放疗是有效的治疗手段,其长期生存率不差于任何其他治疗方式,且能够保留声带及正常发音、吞咽功能,既延长了患者的生存时间又提高了患者的生活质量,是较为理想的治疗方式。
而对于III、Ⅳ期喉癌,应予以包括手术、放疗、化疗在内的肿瘤综合治疗,放疗是其中不可缺少的一环。根据患者病情,可有计划地进行术前或术后放疗,并辅以化疗。对于部分中晚期患者,同步放化疗甚至可取得与手术相近的预后效果,且保留了喉的正常功能。另有部分晚期患者失去了根治性治疗的机会,但可通过放疗减小病灶、减轻症状,一定程度地提高生活质量。
喉癌转移患者放疗后送锦旗致谢
近日,上海蓝十字脑科医院肿瘤科(放疗)收治了一位喉癌淋巴转移患者。年过七旬的患者李某(化名),因“喉癌术后8年,左侧颈部包块2月余”入院。该患者于2013年在福建某大医院确诊喉部占位,伴喉白斑,并行喉部肿瘤微创切除术,术后病理显示:原位癌。其后,患者喉部肿瘤两次复发,行手术切除治疗。去年10月,患者发现左侧颈部有淋巴结肿大,进行性增大。于今年2月行左颈部淋巴结转移灶穿刺活检,病理示:鳞状细胞癌,中度分化。

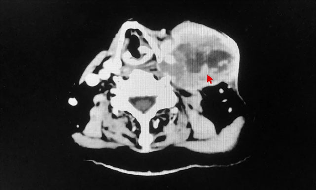
▲ 患者左侧颈部淋巴结转移,肿瘤体积较大
经亲友推荐,患者慕名来到上海蓝十字脑科医院寻求进一步治疗。经详细检查,该患者喉癌病史数年,诊断明确,既往已行三次手术,目前左侧颈部淋巴结转移,肿瘤体积较大,且肿瘤包绕血管,无再次手术适应症。医院肿瘤科(放疗)主任王晓东与其团队就患者病情予以详细讨论及评估,结合患者入院后各项常规检查结果,排除放射治疗禁忌症,明确告知患者及家属目前病情情况、放射过程中各种临床并发症及副作用,以及患者整体预后情况,予以签字同意后,王晓东团队仔细勾画患者肿瘤靶区及临床靶区,物理师精心设计放射治疗方案,为患者开展了加速器放射治疗。
治疗过程中,王晓东团队坚持每日查房,密切关注患者病情变化。整个放疗过程结束后,患者恢复良好,左侧颈部肿大淋巴结基本消失。在办理出院当天,王晓东主任不忘反复叮嘱患者出院注意事项及复査时间,以及后续治疗方案。对于医院专业细致的服务,患者和家属非常感动,出院时为王晓东团队送上锦旗表达真挚的感谢。

▲ 患者送上锦旗致谢
王晓东主任提醒,目前研究发现的喉癌基本病因主要与性激素、人乳头状瘤恶变、癌前病变、遗传、环境等相关。烟酒刺激、年龄增长、营养或微量元素缺乏、职业风险、环境因素等则是导致喉癌发生的主要诱因。
因此,在日常生活中,大家应做到戒烟限酒;避免长期处于粉尘、空气污染严重的环境中;保持情绪稳定,避免或减少愤怒、忧伤、抑郁等不良情绪的产生。有家族史者,应定期体检。若出现不明原因声音嘶哑、喉部异物感等不适症状时,应及时就诊。
上一篇:六旬男子罹患转移性骨肿瘤疼痛难耐,放疗后他精神矍铄起来 下一篇:“红伞伞,白杆杆,吃完一起躺板板”——慎重采食野生蘑菇!
科学运动,重在适度。只有充分了解自身条件,合理规划锻炼强度,...【详细】


