鼻咽癌(Nasopharyngeal Carcinoma,NPC)多发生于鼻咽腔顶壁及侧壁,尤其是咽隐窝,是我国常见的恶性肿瘤之一,其发病率居耳鼻咽喉恶性肿瘤之首。
上海蓝十字脑科医院肿瘤科(放疗)主任王晓东表示,人体鼻咽部结构复杂,具有呼吸、吞咽、防御保护等功能,当肿瘤侵及相应组织和神经时,可引发复杂多样的临床症状。
从收治入院的多位鼻咽癌患者情况看,涕中带血、鼻出血、血痰是常见表现,患者主诉在晨起咳嗽时出现带有血丝的痰液,或是在擤鼻时有带血的鼻涕。有相当多的患者脖颈部出现淋巴结肿大,触摸有明显“鼓包”。当肿瘤压迫咽鼓管咽口时,还可出现耳鸣、听力下降等耳部症状。
随着病程进展,大部分鼻咽癌患者会遭遇头痛袭扰,早期多为间歇性发作,其后可发展为持续性头痛。
上海蓝十字脑科医院肿瘤科(放疗)主任、副主任医师王晓东:由于鼻咽部的位置特殊,采取传统手术切除肿瘤方式有一定局限性,难度高,风险较大,术后容易快速复发。但近年来,我国对鼻咽癌临床研究不断深入,形成了《中国鼻咽癌放射治疗指南》(以下简称“指南”),为鼻咽癌诊治的临床决策提供了更多的循证证据。
根据指南,鼻咽癌对放射线敏感,随着调强放疗等新技术在治疗中的广泛应用,鼻咽癌局部控制率和总生存率显著提高,放疗成为目前鼻咽癌的主要治疗手段。应根据不同的临床病理分期,遵循多学科综合诊疗(MDT)模式,合理运用放疗、化疗、手术、靶向治疗等手段,制订个体化分层治疗策略。
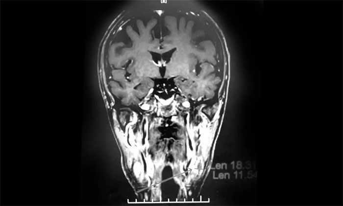
一位64岁男性患者,因“左颈部淋巴结肿大伴鼻出血半月”在外院行鼻咽镜活检病理结合影像学检查,提示鼻咽癌可能。为寻求进一步治疗近期来到我院。查MRI:左侧鼻咽部实性占位性病变,考虑恶性肿瘤,侵及左侧咽旁间隙;左侧下颌腺区及颈部淋巴结异常肿大(转移可能)。

▲ 入院MRI影像
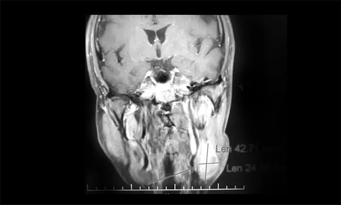
经MDT多学科会诊评估,制定以放疗为主的同步放化疗方案。治疗后复查MRI,患者左侧鼻咽部实性占位较前治疗明显减小;原左侧下颌腺区、咽旁肿大淋巴结已基本吸收好转,左颈部肿大淋巴结较前明显缩小。

▲ 放疗后复查MRI,肿瘤占位较前明显减小
临床上,鼻咽癌的诊断并不困难。指南明确,当患者出现相应症状及体征,并符合下列情况其一者,即可明确诊断:
1、EB病毒检查未发现肿瘤,但有EBV阳性且有颈转移淋巴结者。
2、鼻咽镜检查观察到鼻咽、口咽、鼻腔有黏膜下隆起或菜花状结节肿物、出血、坏死物等。
3、CT、MRI等检查发现鼻咽腔肿块,鼻咽双侧壁及后壁局限性或弥漫性增厚,咽隐窝变浅或消失等。
王晓东主任郑重提醒,早发现、早诊断、早治疗是提高鼻咽癌患者预后的关键。一旦确诊鼻咽癌,尽早进行放疗干预,不仅可有效控制癌细胞扩散转移,甚至有治愈的可能,可显著提高患者的生存期和生活质量。
在日常生活中,若频繁出现不明原因鼻出血或涕中带血、耳鸣、脖颈部“鼓包”等症状者,建议尽快就医,进行详细的鼻咽部检查,以排除患上鼻咽癌的可能。

▲ 上海蓝十字脑科医院引进了瑞典医科达
Synergy数字化直线加速器
上一篇:世界骨质疏松日 ∣ 巩固一生 赢战骨折 下一篇:“如鲠在喉”不一定是咽炎,还可能是这种常见肿瘤,出现这些症状切莫大意!
11月26日,闵行区七宝镇“一育三给”文明实践志愿服务沉网入格分...【详细】


