脑血管病(cerebrovascular disease),泛指脑部血管的各种疾病,包括脑动脉粥样硬化、血栓形成、狭窄/闭塞、脑动脉瘤、颅内血管畸形、脑动静脉瘘、脑动脉炎、脑动脉损伤等,其共同特点是引起脑组织的缺血或出血性意外,导致患者的残疾或死亡,发病率占神经系统总住院病例的1/4~1/2。
目前,我国脑卒中每年死亡165万人,现存脑卒中病人700多万,发病率每年上升8.7%。脑血管病已成为全球第二大死残疾病,在我国已经跃居首位。特别是脑动脉瘤,属于脑血管病中的一种特殊类型,由于存在潜在的破裂风险,所以脑动脉瘤被称为脑内的一颗“不定时炸弹”!脑血管病具有高发病率、高致残率、高致死率特点,越来越受到广泛关注。其实,脑血管病可防可治,关键是提前预防。专家提醒:抽烟、酗酒、高血压、糖尿病、高血脂、经常熬夜、劳累等高危人群,定期做脑血管筛查非常重要!
检查那么多,该如何区别这些检查呢,今天特别邀请上海蓝十字脑科医院影像科主任孙海辉给大家讲解常用的脑血管检查方法:CTA、MRA、DSA。
孙海辉主任指出,DSA属于创伤性检查,CTA和MRA属于无创检查。因此,首选检查往往是MRA或CTA检查,如果通过MRA或CTA检查,考虑有脑血管疾病的情况,特别是需要进一步治疗的时候,还是需要通过DSA检查最后明确诊断。如对于蛛网膜下腔出血的病人,可以急诊行CTA检查,如发现脑动脉瘤,可以行DSA检查,同时行介入治疗。
CT血管成像(CTA)检查
脑血管CTA检查,就是通过CT检查的方法得到脑血管的图像,以便判断有无脑血管疾病,比如动脉瘤、血管畸形、血管狭窄或闭塞等。
CTA与MRA检查的主要不同点在于:CTA有射线辐射,同时必须通过静脉注射造影剂才能实现血管成像,既然需要静脉注射造影剂药物,就存在药物过敏的可能(非常低),而MRA是磁共振检查,没有射线辐射,一般不需要注射造影剂。
另外,脑血管CTA检查适合于所有择期病人(门诊病人)和急诊病人检查,尤其是对急性脑卒中病人(包括出血性卒中及缺血性卒中等)脑血管CTA检查具有诊断及时、速度快、准确性高的特点,为急性脑卒中病人的诊断和治疗提供了有力的保障。而脑血管MRA一般适用于非急诊情况,进行脑血管病的筛查。

▲ 头颅CTA显示左侧大脑中动脉M2段动脉瘤伴近端局灶性轻度狭窄

▲ 飞利浦高端CT Brilliance iCT (128排256层)
脑血管磁共振(MRA)检查
MRA是基于饱和效应、流入增强效应、流动去相位效应显示血管,可发现血管狭窄和闭塞的部位,以及血管病变(动脉瘤、动脉畸形等)。
MRA包括直接MRA与增强MRA(CE-MRA),二者各有优势。直接MRA不用对比剂,简便无创,成本低,对于显示血管非常有其实用价值,已经成为临床不可少的检查方法。CE-MRA对血管腔的显示比直接MRA更为可靠,出现血管狭窄的假象明显减少,血管狭窄程度的反映比较真实。对于脑血管病高危人群来讲,定期做脑血管磁共振(MRA)检查非常重要!

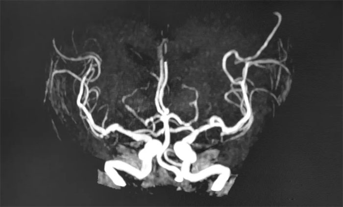
▲ MRA显示颅底动脉多发局灶性狭窄

▲ 飞利浦全数字磁共振成像系统Ingenia3.0T MRI
脑血管造影(DSA)检查
DSA是通过电子计算机进行辅助成像的血管造影方法,它是应用计算机程序进行两次成像完成的。在注入造影剂之前,首先进行第一次成像,并用计算机将图像转换成数字信号储存起来。注入造影剂后,再次成像并转换成数字信号。
两次数字相减,消除相同的信号,得知一个只有造影剂的血管图像。这种图像较以往所用的常规脑血管造影所显示的图像,更清晰和直观,一些精细的血管结构亦能显示出来。
对脑动脉主干及大脑前、中动脉及分支的显示,能清晰观察到脑动脉瘤的瘤体大小、瘤颈宽度及与载瘤动脉的关系;能清晰观察到脑动静脉畸形血管团大小、形态及供血动脉和引流静脉;能清晰观察到脑血管狭窄或闭塞部位、形态及血管壁硬、软癍块。
脑血管造影术是检查脑血管病的最有效方法之一,成为诊断脑血管病的“金标准”。相比前几种检查,它的最大不足是有创性,当其它检查发现可疑病变时,行DSA检查是必需的。

▲ DSA检查确诊:梭形动脉瘤

▲ DSA是诊断脑血管病的“金标准”
总结:CTA、MRA与DSA的比较
与DSA相比,MRA与CTA具有无创、价格便宜、快速等优点,其可靠性接近传统DSA血管造影。MRA与CTA相比,质量略差,但CE-MRA质量又有明显提高。
DSA与其它比较,诊断价值要优于B超、CTA或MRA检查,这些检查可以作为DSA检查前的筛选工具,但不能完全替代。
通过DSA检查,我们能够准确地了解血管病变的数目、位置、大小、形态、与周围血管的关系,也可初步预测或了解疾病的发展。其独特优点是:
1、超选择性血管内显影。
2、动态显示脑循环全时程及血管代偿情况。
3、3D显示更多的解剖细节,脑血流动力学显示动力学信息(4D-DSA)。
“医生,我要预约做磁共振。”“我们下午就可以给您安排检查,过2小时后就能拿到检查报告。”“真的?这么快!我还以为起码要排队一个礼拜呢!”孙海辉主任介绍:“在医院高效的工作流程保障下,目前到医院做影像检查,基本实现当天预约、当天开单、当天检查。同时,影像科还承诺,门诊患者检查一般2小时后出诊断报告,住院患者24小时后出诊断报告,急诊检查30分钟内出报告。这既可以帮助解决很多危重患者需要紧急进行CT、MRI等影像检查,却又难以及时检查的困难,又省去患者(尤其是门诊患者)再次往返医院取检查报告的麻烦。”

▲ 快速高效的检查诊断,是患者得以及时治疗的“法宝”
脑血管病是上海蓝十字脑科医院“323学科建设计划”3.0版“重中之重”建设学科之一,医院在脑血管疾病方面积累了丰富经验。
目前医院常规开展脑血管病的预防及规范化治疗,如动脉瘤血管内介入治疗(弹簧圈栓塞、支架辅助弹簧圈栓塞、血流导向装置Pipeline置入、WEB扰流装置置入等),动脉瘤开颅夹闭术,烟雾病颅内外血管重建术,颅内外动脉狭窄球囊扩张术,颅内外动脉狭窄支架置入术,静脉窦血栓形成微导管接触溶栓术,静脉窦狭窄支架置入术,复合手术下硬脑膜动静脉瘘栓塞,高血压脑出血去骨瓣减压及血肿清除术,立体定向颅内血肿穿刺外引流术等,以及神经系统疑难杂症的诊治,造福患者的同时,获得了业界的认可和好评。
凭借着过硬的医疗技术、先进的设施设备、合理的空间布局和便捷的就诊流程,医院被国家卫健委脑防委评为“示范防治卒中中心”,并成为长三角卒中专科联盟单位、长三角脑血管病专科联盟单位。“脑卒中急救绿色通道”更是获得了上海市首批“创新医疗服务品牌”称号。
(文章部分来源:医学界神经病学频道)
上一篇:中风可能是“吃出来的” 最新研究揭示“饮食炎症”会增加中风风险 下一篇:全民营养周︱饮食少油健康“加油” 神经内科周君主任提醒:过量摄入脂肪可能增加脑卒中风险
头晕、耳鸣等这些看似普通的身体信号,有时也可能是颅内一种“沉...【详细】


