脑卒中具有高发病率、高致残率、高死亡率、高复发率、高经济负担五大特点,已成为威胁我国居民健康的“头号杀手”。中国脑卒中流行病学调查表明,脑卒中患病率1114.8/10万人年,发病率246.8/10万人年,死亡率为114.8/10万人年。其中急性缺血性脑卒中占脑卒中的比例约为70%,其中心源性脑梗(心源性卒中)约占全部缺血性脑卒中的20%。
心源性卒中:多发栓塞、脑梗面积大、反复发作
心源性卒中是指各种原因所致心脏内附壁血栓脱落,随血流进入脑动脉而阻塞血管,引起该动脉供血区脑组织缺血坏死,而出现局灶性神经功能缺损。
上海蓝十字脑科医院神经内科4A病区李世平主任介绍说,当心脏电流传输出现紊乱时,会导致心脏收缩不完全,无法把血液充分排出,就会导致血液滞留形成血栓。而心脏的血液泵出心脏后,在主动脉弓处有三根血管,这些血管主要通向头颅。所以,心脏形成的血栓也最容易流到脑部,形成脑卒中。这种脑卒中就叫做心源性脑卒中。
心脏形成的血栓一般都比较大,在心脏收缩的过程中,血栓有可能会发生脱落,随着心肌组织的收缩对血栓的挤压和血流的冲击,血栓很容易形成碎块,随着血流造成多处的散播,造成一次多发性的栓塞。这就是心源性的血栓和普通的血栓不同的地方。
心源性脑卒中影响原发心脏疾病以及心脏手术的治疗效果和预后,具有高死亡率、高致残率和高复发率的特征,这给社会、家庭及患者本人带来了沉重的精神负担和经济压力。
李世平主任特别提醒,心源性脑卒中的特点是多发栓塞、脑梗面积大、反复发作。它的致死致残率非常高,比非心源性脑卒中的死亡率高了近一倍,但是,心源性脑卒中在栓塞之前可能完全没有症状,发病突然,这就造成它的风险更高,因此,有心律失常等心脏疾病的患者要格外注意。

▲ 心源性脑梗约占全部缺血性卒中的20%
心源性卒中的病因
1. 心房颤动
心房颤动是临床最常见的心律失常,发生率是所有其他心律失常总和的2倍。房颤的发生率随年龄的增加而增加,超过80岁后房颤的发生率则高达30%。
房颤和卒中关系密切。有数据显示,房颤患者缺血性卒中的年发生率约为1.9%-18.2%,卒中后一年病死率高达30%,且5年内有1/3的患者复发。
2. 急性心肌梗死和左心室血栓
急性心肌梗死是卒中的危险因素,卒中是急性心肌梗死的重要并发症。急性心梗的4周内,2.5%的心肌梗死患者发生了卒中。急性心肌梗死患者的左心室血栓经常发生在部分室壁活动障碍或室壁无运动的部位。
3. 心脏瓣膜病
1)风湿性二尖瓣疾病
其是脑栓塞的一个重要原因,30%-60%的风湿性二尖瓣疾病患者可发生脑栓塞事件,如合并房颤则大大增加栓塞的风险。
2)人工心脏瓣膜
人工心脏瓣膜血栓是心脏瓣膜置换术后的重要并发症,发生率为0.1%-6%。生物瓣血栓栓塞的风险为0.7%/年,低于机械瓣。植入机械瓣的患者有较高的血栓栓塞风险,应终生接受抗凝治疗。
4. 扩张型心肌病
扩张型心肌病是心肌病中最常见的一种类型,以左心室、右心室获双侧心室明显扩张和心肌收缩功能下降为特征。由于扩大的心腔中血流的瘀滞,高凝状态以及合并未诊断的房颤容易使扩张型心肌病患者发生血栓栓塞事件。
扩张型心肌病患者卒中的风险增加,如发生心力衰竭,则卒中风险比普通患者高3倍。
5. 感染性心内膜炎
感染性心内膜炎是由细菌、真菌和其他病原微生物循血行途径引起心内膜,心脏瓣膜或邻近大动脉内膜感染并伴赘生物形成的一组疾病。
心源性赘生物引起的栓塞事件时感染性心内膜炎的常见并发症,发生率为13%-50%。大约20%的感染性心内膜炎患者会罹患脑卒中。
6. 心脏粘液瘤
临床少见疾病,发病率仅为0.5/100万。心脏粘液瘤属于心脏原发性肿瘤,多属良性。95%发生于心房,其中75%位于左心房。
由于心脏收缩时的挤压及血流的冲击,瘤体质脆易碎或瘤体表面血栓脱落,引发体循环栓塞,以脑栓塞最为常见。20%-45%的心脏粘液瘤的首发症状为栓塞,其中50%为脑卒中,也是心源性脑梗塞的常见原因之一。
7. 反常栓塞
反常栓塞是指来自右心或静脉系统的栓子脱落后通过右向左分流进入左心系统,造成体循环的动脉栓塞,其中脑栓塞最为常见。95%来源于心脏,即卵圆孔未闭或房间隔缺损;5%来源于肺部,即肺静脉瘘。
8. 卵圆孔未闭
卵圆孔是胎儿期生理性通道,使脐静脉血从右房流向左房,维持胎儿血液循环。约2/3的卵圆孔在出生后一年闭合,大于3岁仍然不能闭合,称为卵圆孔未闭(PFO)。PFO发生率约20%-25%(TEE),即大约1/4人群有PFO。

▲ 心源性卒中示意图
39岁男子心脏瓣膜置换术后突发脑梗 半身偏瘫
39的小徐(化名)既往有高血压、冠心病多年,血压最高达收缩压180mmHg,舒张压100mmHg。正值壮年的他从事财务工作,他是家中的顶梁柱,家有爱妻和两个孩子,一家四口其乐融融,不幸的是,2018年被一场“厄运”击垮了,那年他突发心梗倒下了。经急诊抢救,行心脏瓣膜置换术和主动脉夹层人工血管置换术后,才保住了性命。
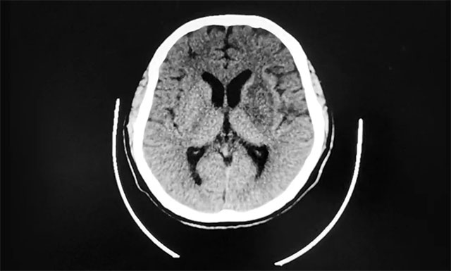
原本以为自己躲过了一劫,但是2020年6月初,小徐在家中再次倒下,紧急送往就近医院行头部 CT 显示左侧基底节、放射冠区、颞叶大面积脑梗塞,经过抢救病情平稳后转入上海蓝十字脑科医院进一步治疗。
入院时,小徐右侧肢体瘫痪,完全不能动弹,右上肢肌力0级,右下肢肌力1级,并且失语,理解判断力、记忆计算力及定向力均差。

▲ 大面积脑梗死
李世平主任根据小徐的病情,为其制定了药物对症治疗辅以康复训练的个性化治疗方案,力求改善患者的言语和记忆力障碍,通过积极锻炼提高其肌力,促使其神经功能尽快恢复。
经过近三个月的治疗,小徐身体恢复良好,已经可以独自下地走路,也可以缓慢说话,基本可以生活自理。
房颤患者,如何预防心源性卒中
李世平主任指出,在心源性卒中的的众多病因中,房颤是造成心源性脑梗死最危险的的原因,占到全部心源性脑梗死79%以上。因此,预防心源性卒中,最需要预防的就是房颤。
一、什么是房颤,为什么会形成血栓
心房颤动简称房颤,是一种常见的心律失常,是指规则有序的心房电活动丧失,代之以快速无序的颤动波,是严重的心房电活动紊乱。通常表现为不规则且很快的心率,这是由心房失去了正常节律所致。
正常的心脏收缩是有规律的,心房先收缩,然后心室收缩。每次收缩,所有的心肌细胞相当于万众一心,力往一处使,而房颤呢?相当于每一个心房肌细胞各自为政,每个细胞所用的力都不一样,导致细胞间的力相互抵消,处于无规律状态,这样心房收缩相当于无用功。
房颤常见的病因包括高血压病、冠心病、心脏外科手术、瓣膜病、心力衰竭、心肌病、先天性心脏病、肺动脉栓塞、甲状腺功能亢进症等,与饮酒、精神紧张、水电解质紊乱、严重感染等有关;此外还可以合并有其他类型心律失常。
房颤患者的血栓多来源于左心耳,这与左心耳的结构和功能有关。左心耳是一个长在左心房上突出来的狭长的管状盲腔,形状不规则,血液正常流动时不会出现血栓。然而,房颤患者发作心慌心悸时,心房跳动的频率达到了每分钟350~600次,而我们的正常心率仅仅为每分钟60~100次。这么快且极其不规则的心房跳动,会导致左心耳内的血流形成涡流,并且导致左心房的血液瘀滞、流速变慢。
人体的血流就像河流一样,当在某处形成涡流时,便会在涡流处淤泥沉积;而河流流速太慢时,也会导致河道污泥沉积。基于上述双重因素的作用下,我们就不难理解为什么房颤患者的左心房及左心耳内更容易形成血栓了。

▲ 房颤是造成心源性卒中最危险的的原因
左心耳长了血栓后,一旦脱落,便会随着血流流向全身各处的血管引起血管的堵塞,而其中最常见的就是脑血管堵塞,也就是我们常说的脑梗或脑中风。
二、如何预防心源性脑梗死?
目前共有三种方式治疗房颤,一是口服抗凝药进行抗凝治疗;二是左心耳封堵术,主要用于抗凝出血风险高的患者;三是射频消融手术。在三种治疗手段中,最主要的治疗手段就是抗凝治疗,口服抗凝药物可以溶解左心房或左心耳内已经形成尚未脱落的血栓,或预防尚未形成的血栓。在房颤病人中,有三分之二以上的病人需要抗凝治疗,以预防血栓脱落引起的脑卒中及外周血管栓塞事件。
李世平主任表示,心源性卒中虽病变在脑,但病因在心,需要神经内科和心血管内科医生共同关注。心源性脑梗塞的致病原因众多,临床上应加强卒中的病因筛查,提高心源性卒中的诊断水平。针对心源性疾病应给予合理的、个体化的干预措施,预防心源性卒中的复发。
上一篇:寒冬季节预防脑梗 更需要关注颈动脉 下一篇:极端高温下,神经内科专家提醒:谨防心脑血管意外

近日,上海蓝十字脑科医院在学科建设与人才引进方面取得重要进展...【详细】


