前段时期热播的电视剧《三十而已》,因贴近都市现实生活,反映现实社会而引起广大观众的共鸣。
剧情讲述了三位都市女性在三十岁时,所遭遇的多重压力。剧中的主角之一顾佳是一位既能教好孩子又能支持丈夫事业的全职太太,堪称“里外一把手”,不少网友为她教育孩子的做法点赞。
剧中,一名癫痫患儿突然发病,不少家长以为会对自己的孩子身心造成影响,无知地要求校方令这名患儿退学。
而在微信家长群里,顾佳为癫痫患儿发声,并做了一番科普:癫痫只是一种神经性疾病,没有传染性,没有攻击性。如果因为自家孩子被癫痫发病症状所吓哭,就去剥夺患病孩子接受正常教育的权利,这种观念就是由于无知造成的歧视与偏见,就不应该在孩子们幼小纯洁的心灵里植入,否则,这比任何负面影响都消极......
在剧中,顾佳谆谆教导儿子要和患癫痫病的同学友好相处,与正常孩子一视同仁。起初,顾佳和儿子看到患儿抽 “羊癫疯”的样子很可怕,那是因为从来没见过,而患者比我们要痛苦难受更多,所以我们更要去照顾他。

“我这些年接诊的癫痫患者中,就有很多因为疾病在学校饱受歧视,被孤立,被辱骂,甚至被退学而中断学业,导致他们面临疾病和心理上的双重折磨。” 上海蓝十字脑科医院功能神经外科杨忠旭教授对此感言道,他倡议:每一个饱受疾病痛苦的人,都不应该被歧视、被误解,甚至被虐待,被驱逐等。如果大家在生活中,遇到癫痫患者,请不要恐慌,不要歧视,必要时伸出援助之手。
“这些歧视和偏见,往往是因为无知和愚昧造成的!因此我们必须对癫痫要有基本认识和常识,避免自食其果或悲剧发生。” 杨忠旭教授如此说。
癫痫的现状与危害
癫痫是一种由多种病因引起的慢性脑部疾病,被世界卫生组织作为重点防控的神经、精神慢性病之一。
发病:高峰在生命早期,然后在60-70岁年龄组;
主要死因:癫痫猝死、癫痫持续状态、意外伤害、自杀;
最常见精神科共患病:焦虑和抑郁、神经退化性疾病(痴呆)、智力残障(30—40% 儿童病例)、认知缺陷,儿童期发病者可持续到60岁以上。
癫痫的临床表现
癫痫主要临床表现:突然意识丧失、摔倒在地、四肢抽搐、口吐白沫或怪叫等,苏醒和恢复后与正常人一样,这就是癫痫发作;
其他表现:幻觉、呕吐、无名恐惧、肢体麻木感、频繁眨眼等,都可能是癫痫的先兆或癫痫发作症状。
癫痫发作的主要类型:
1.大发作(口吐白沫、全身抽搐,四肢僵硬等)。
2.失神发作(目光凝视、意识丧失、动作停止,持续小于10秒)。
3.局限性发作(一侧口角、手指或足趾的发作性抽动或感觉异常,可扩散至身体一侧)。
4.精神运动性发作(突然意识障碍,机械地做出一些无意识动作,持续数小时或者数天,清醒后毫无记忆)。
《全球癫痫报告》(2019)指出,全球超5000万人罹患癫痫,每年400多万新发病人。
癫痫患者在全世界都是一群受歧视或侵犯的受害者,这种病耻感会阻碍患者寻求治疗,病情的加剧进一步使患者生活质量降低并逐渐脱离正常的社会生活,导致恶性循环。
在社会范围内采取适当的措施是很有必要的,例如在学校、工作场所和社区增加有关癫痫知识的宣传、提高对癫痫的科学认识,以减少癫痫患者的病耻感。有效保护癫痫患者遭受歧视和侵犯,保障癫痫患者获得医疗卫生服务的权利,以提高他们的生命质量。
由于人们对癫痫缺乏正确认识,存在很大的“治疗缺口”。造成治疗缺口的常见原因包括:传统偏见和病耻感,地域和经济条件的限制,诊疗不正确。杨忠旭教授表示,癫痫并非不治之症,也并不可怕,可怕的是人们的思想误区。大家要正确认识癫痫,放下歧视与偏见,进行正规治疗,可以达到理想的治疗效果。
癫痫的治疗包括药物治疗、外科手术治疗
各国临床研究表明,新诊断的癫痫病人,如果接受规范、合理的抗癫痫药物治疗,70%-80%的患者发作是可以控制的,其中,60%-70%的患者经过2-5年的治疗可以停药。药物治疗无效后可结合手术治疗。
1.药物治疗。应该在专科医生的指导下,进行系统、正规的进行。采用药物进行癫痫治疗总的原则是:用药早、剂量足、服药准、时间长。一旦癫痫诊断确立后,应立即进行治疗,控制发作。
2.手术治疗。经过正规抗癫痫药物治疗,仍有约20%~30%患者为药物难治性癫痫。难治性癫痫(intractable epilepsy)又称之为顽固性癫痫(refractable epilepsy),通常指无中枢神经系统进行性疾病或占位性病变,但临床迁延,经2年以上正规抗癫痫治疗,试用主要抗癫痫药单独或合用,达到患者能耐受较大剂量,血药浓度达到有效范围,仍不能控制发作,且影响日常生活,方可确定为难治性癫痫。
癫痫外科手术治疗为这一部分患者提供了一种新的治疗手段,大部分药物难治性癫痫患者可通过手术使发作得到完全控制,部分患者得到明显改善,从一定程度上改善难治性癫痫的预后。
癫痫外科手术主要包括:癫痫灶切除术和(VNS)调控术
癫痫灶切除术:
切除性手术是开展较多也是成熟的癫痫外科手术,手术的前提是明确定位致痫区和功能区,切除局部的或大块的有致痫灶的脑组织,消除癫痫灶,此类手术有颞叶内侧型结构切除术、选择性杏仁核-海马切除术、新皮质切除术、多脑叶切除术、大脑半球切除术。
迷走神经刺激术(VNS):
VNS属于神经电刺激术,美国FDA在1997年批准VNS应用于治疗难治性癫痫,至2014年,全世界已经有超过13万患者接受了迷走神经刺激术治疗。VNS主要用于儿童或成年人局限性药物难治性癫痫,而又不适于切除手术者。首先经由外科手术将线圈放在左颈部内的迷走神经上,并且将刺激装置埋在胸前,医护人员通过仪器来调整刺激装置中的参数与模式,机器就会依照设定好的模式,自动刺激迷走神经来达到控制癫痫发作的目的。
琦琦(化名)9岁时,在看电视时,突然出现右侧肩膀,不自主出现耸肩动作,自知不自控,自觉不适,无法描述,持续数秒,后无其他不适,家人未在意,未治疗。后病情逐渐加重,看电视时或站立时出现双上肢屈曲-痉挛,手呈爪状,此时自知,可喊叫父母,或自行移动到床上,后出现意识丧失,双眼上翻,牙关紧闭,大喊一声,躯体及头部右侧倒地,双下肢强直-痉挛,持续约2分钟,后患者自行恢复,恢复后自觉劳累,无其他不适,未治疗,发作频率每月一次。
后患者病情逐渐加重,发作频率逐渐增加,严重时每天发作四五次,发作症状基本同前。2018年就诊于省会一家医院,诊断为 “癫痫”,接受药物治疗,但是效果不佳,发作同前。今年八月下旬,琦琦在父母陪伴下慕名来到上海蓝十字脑科医院寻求进一步治疗。

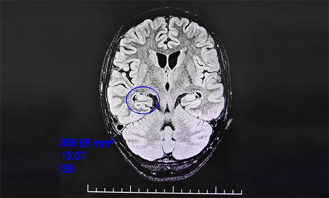
▲ 通过系列检查最终明确患者致癫灶
脑电监测崔丽华主任根据脑电图监测分析指出,患者双侧有癫痫波,右侧较为严重。磁共振检查,患者右侧颞叶、海马结构代谢异常。既往史显示,患者1岁时有头部压伤及缺氧窒息病史。
杨忠旭教授指出,海马对大脑缺血、缺氧的耐受性较差,极易造成其内的神经细胞受损,时间长了就会发展成海马硬化,成年后,有近一半以上的病人会因此患上顽固性癫痫。
该患者经系统内科药物治疗不佳,确诊为药物难治性癫痫,经过系列检查最终明确患者致癫灶位于右侧颞叶、右侧海马。手术指征明确,未见明显手术禁忌症。

▲ 杨忠旭教授在为患者手术
在征得家属同意后,杨忠旭教授在崔丽华主任脑电监测辅助下为患者进行了手术。切除相关病变区域后,再次脑电监测显示暴露脑区无异常放电,手术成功。目前,琦琦已康复出院。杨忠旭教授提醒如果孩子有频繁不自主耸肩动作要警惕癫痫,同时要注意抽动症与癫痫的区别。
杨忠旭教授指出,抽动症和癫痫是两种性质完全不同的疾病,由于癫痫小发作时也会出现眨眼、摆头、耸肩或快速的肢体运动等,可能会误诊为抽动症。但是两者是有本质的区别,癫痫是因大脑皮层受到抑制,会出现短暂的意识丧失,知觉恢复后患儿无法正确描述,而且多在夜间复发,但是抽动症属于运动神经问题,晚上没事,而且不会晕倒。再就是两种疾病的脑电图不一样,可及时到正规医院检查确诊。
儿童是癫痫的高发时期。《临床神经病学杂志》刊文指出,据中国卫生部及抗癫痫协会统计数据显示,0~14岁儿童癫痫发病率为151/10万,患病率为3.45‰,经过各种抗癫痫药物治疗,70%~80%患者可治疗好。但仍有20%~30%患者发作得不到控制,成为难治性癫痫,需要寻求其他治疗手段。
杨忠旭教授指出,针对“难治性癫痫患者”,单纯药物治疗很难取得突破性的效果。反复的癫痫发作和无望的药物治疗均能抑制、甚至阻碍大脑皮质的发育,损伤儿童的神经系统,尽早的外科手术干预可以减少甚至终止发作,为未成熟的儿童大脑争取到宝贵的发育时间。并且小儿癫痫外科手术的效果往往优于成人,利用大脑尚存的可塑性,可使神经组织有较多机会形成代偿,以求大脑功能较大限度的恢复。对那些确实无法用药物治疗,或因肿瘤、脑组织发育畸形、外伤导致的癫痫,则越早手术治疗越好。
由于癫痫病因复杂、症状多变、类型繁多,并发症多、综合征多,经常容易被误诊和漏诊。
为让广大癫痫患者得到科学、规范化的治疗,上海蓝十字脑科医院整合功能神经外科、神经内科、脑电监测、影像科等多学科资源,成立癫痫专病门诊。
由原北京清华大学附属医院功能神经外科主任、中国规范化癫痫外科创始人之一杨忠旭教授领衔的功能神经外科团队,依托医院美国尼高力视频脑电监测系统、全数字化复合手术室等众多先进设备,打造癫痫多学科诊疗新平台,进行多学科联合协作、一体化模式运行,根据患者不同年龄、性别和病情特点,选择合适的治疗方案,实现规范诊疗、预后较佳目标。

癫痫发作的急救方法
1.速将其扶住,防止摔倒,放在平地,如出现晕厥,不妨掐其人中。
2.解开衣领、袖口,让呼吸道通畅,将头、身体侧向一边,以便口水、黏液等物流出。
3.仔细察看发作时哪些部位抽动,是否无意识和知觉,记录持续时间,以便向医生描述。
4.一边急救,一边打120电话呼救或立即送医院。
上一篇:没有了 下一篇:她自幼罹患癫痫,34年来 “苦苦挣扎”,如今重拾生活希望
近日,上海蓝十字脑科医院神经内科任明博士为核心成员参与完成的...【详细】


