脑垂体位于丘脑下部的腹侧,为一卵圆形小体,它分泌多种激素,如生长激素、促性腺素、催乳素、促肾上腺皮质激素、甲状腺激素等。
脑垂体分泌的这些激素对代谢、生长、发育和生殖等有重要作用,因而被称为“内分泌之王”。
垂体瘤是一组从垂体前叶和后叶及颅咽管上皮残余细胞发生的肿瘤,多为良性肿瘤。发病率约占颅内肿瘤的10%~15%,女性发病率高于男性,多发于20岁~40岁人群。

青年女性突然闭经,开始怎么也找不出原因,经仔细检查发现竟是垂体瘤作祟。今年23岁的婷婷连续4年例假异常,最近还出现停经、泌乳症状,最终在医院查出垂体瘤。
上海蓝十字脑科医院神经外科专家李士其教授提醒:青年女性有不明原因的闭经或泌乳等异常现象,在妇科检查的同时,应进行性激素测定及颅脑影像检查,警惕垂体瘤。
泌乳素腺瘤是最常见的垂体腺瘤
垂体可以分泌多种激素,有些垂体瘤也能分泌激素。因此,通常把垂体瘤分为两大类:一类有分泌激素的功能,称为功能性垂体瘤。另一类没有分泌功能,称为无功能性垂体瘤。
在临床上,功能性垂体瘤有泌乳素型垂体瘤(PRL腺瘤)、生长激素型垂体瘤(GH腺瘤)和促肾上腺皮质激素型垂体瘤(ACTH腺瘤)等。
其中,泌乳素腺瘤是最常见的垂体腺瘤,会影响到男性性功能,如性欲下降。更常见的是引起女性的月经紊乱、月经减少、稀少或者是停经,甚至是不孕不育。
泌乳素是一种多肽激素,也叫催乳素(PRL),是一种由垂体前叶腺嗜酸细胞分泌的蛋白质激素,主要作用为促进乳腺发育生长,刺激并维持泌乳,刺激卵泡LH受体生成等作用。
女性在怀孕后期及哺乳期,泌乳素分泌旺盛,以促进乳腺发育与泌乳。非孕妇女血清中泌乳素水平最高值一般不会超过20纳克/毫升。
泌乳素对人体内分泌系统起着重要作用,主要影响性腺的功能。小剂量的泌乳素对女性卵巢雌激素、孕激素的合成起促进作用,正常水平的泌乳素对维持黄体功能是必需的。
对男性而言,在睾酮存在下,泌乳素能促进前列腺及精囊腺的生长,还可增强促黄体素对间质细胞的作用,使睾酮合成增加。
然而,大量的泌乳素分泌则有抑制作用。一般情况下,非泌乳期的女性,高泌乳素水平会干扰性腺的功能。
若泌乳素水平过高时,下丘脑水平会减弱黄体生成素的脉冲性分泌,抑制雌激素对下丘脑的正反馈作用,从而阻碍排卵前黄体生成素高峰的发生,影响排卵。
同时,高泌乳素能抑制颗粒细胞合成孕酮,使孕酮分泌减少,出现性功能障碍、溢乳、闭经与不育等症状。
泌乳素增高要警惕垂体瘤
垂体瘤是引起高泌乳素的常见原因。泌乳素腺瘤是最常见的垂体功能性腺瘤,约占全部垂体腺瘤的45%,是病理性高泌乳素血症的最常见原因,女性多见。
但是,查出泌乳素增高了先别惊慌,先想想自己是否有怀孕、哺乳、服用药物这些情况,以及甲状腺功能是否正常,肝肾功能是否异常。
除了生理性的泌乳素的增高和泌乳素的波动外,很多药物影响泌乳素分泌,抗精神分裂的药物是引起高泌乳素的常见药物之一。
除了生理性的以及药物引起的高泌乳血症外,就是病理性的和特发性的高泌乳素血症,包括垂体泌乳素瘤、垂体空蝶鞍综合征以及暂时发现不了原因的特发性高泌乳素血症。
如果泌乳素增高高于100纳克/毫升,那么应考虑泌乳素瘤,应该进行核磁共振检查及时确诊。
月经异常四年女生查出垂体瘤作祟
23岁的婷婷刚大学毕业,正值青春芳华,但是今年4月份她却出现停经泌乳的症状。在这之前,从2017年开始,出现月经量少、周期不规律等症状,但一直没治疗。

▲ 青年女性生理期异常要警惕垂体瘤
在当地医院检查女性激素见泌乳素指标高出正常值10倍以上,医生考虑可能是垂体瘤,建议她到北京、上海等大医院治疗。
为谨慎起见,9月底,父母陪婷婷到上海求医,后慕名转入上海蓝十字脑科医院,求医于李士其教授。
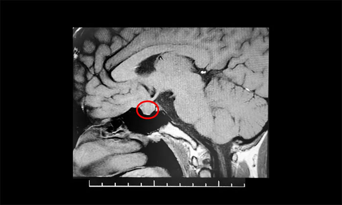
鞍区MRI平扫+增强显示:垂体前叶内见一矢横高径约1.2*1.9*1.1cm异常信号灶,边缘光整,鞍底下陷。垂体柄缩短,视交受压上抬。检查催乳素超3000μIU/mL,远超正常值。
结合患者以往影像资料和内分泌科检查结果,由潘仁龙主任、李士其教授、吴治群博士组成的专家团队会诊判断,婷婷患了泌乳素垂体瘤。

▲ 垂体大腺瘤超蝶鞍生长
这种类型的垂体瘤会分泌过多的泌乳素,造成女性月经周期不规律,甚至闭经,以及非哺乳期的异常乳汁分泌等,而男性患者最常出现性欲减退与性功能障碍。
“瘤体小可以采取口服溴隐亭治疗,但是目前瘤体比较大且有压迫视神经的趋势,所以建议尽快手术。”李士其教授告诉患者家属,只要成功切除垂体瘤,体内激素水平恢复正常后,婷婷就会同正常女性一样来月经,生理期恢复正常。
经过精细的研究和探讨后,李士其教授团队为婷婷制定了一系列治疗方案。9月27日,采用“单鼻孔经蝶窦入路”顺利施行了垂体瘤切除术。

▲ 李士其教授正在为患者手术
术后结合补充激素的治疗,根据生化检查结果随时调整用药。术后第四天检查催乳素405.74μIU/mL,恢复正常。

▲术后化验结果显示,患者催乳素恢复正常
术后,婷婷康复得很快,前后仅8天就顺利出院了。半个月后,李士其教授团队随访了解到,婷婷终于有了正常的生理期,视力也没有受到任何影响。
专家提醒:女性注意这些现象
“作为人体内各种重要激素的‘源头’,脑垂体一旦发生病变,其临床表现也就会五花八门,比如很多女性患者出现生理期方面的异常,被误认为不孕症、月经不调、亚健康等,而辗转于内分泌科、妇科。”李士其教授表示,由于没有同脑垂体瘤联系起来,往往被病人忽视,或被医生认为是“功能性的”而延误诊断。一旦肿瘤继续生长,往往失去了最佳治疗时机。
“一般垂体瘤在女性的三个时期容易出现,第一初潮、第二生育后、第三更年期。”李士其教授提醒,女性如果在此三个阶段出现了头痛、视力视野改变、生理期异常、肢端肥大等症状中的一种或者几种时应引起警惕,到医院相关的内分泌科或者神经外科进行排查,以免耽误治疗。
上一篇:双手发抖,帕金森?原来是这种罕见的垂体促甲状腺激素(TSH)腺瘤导致 下一篇:“偏头痛”十余年 没成想是垂体瘤作祟
近日,上海蓝十字脑科医院神经内科任明博士为核心成员参与完成的...【详细】


