脑垂体位于丘脑下部的腹侧,为一卵圆形小体,它分泌多种激素,如生长激素、促性腺素、催乳素、促肾上腺皮质激素、甲状腺激素等,这些激素对代谢、生长、发育和生殖等有重要作用。因而被称为“内分泌之王”。
垂体瘤是一组从垂体前叶和后叶及颅咽管上皮残余细胞发生的肿瘤,多为良性肿瘤。发病率约占颅内肿瘤的10%~15%,女性发病率高于男性,多发于20岁~40岁人群。
青年女性突然闭经,开始怎么也找不出原因,最后仔细检查发现竟是垂体瘤作祟。上海蓝十字脑科医院神经外科专家李士其教授提醒:青年女性有不明原因的闭经或泌乳等异常现象,在进行妇科检查的同时,应及时进行性激素测定及颅脑影像检查,警惕垂体瘤的发生。
垂体瘤会引起四大症状
作为人体各种重要激素的源头,脑垂体一旦发生病变,其临床表现也会五花八门,主要有四大症状。
1.头痛。
2.视力视野改变,单眼或双眼看东西不清楚,容易撞门框,重者逐渐发展至失明或突然头痛失明。
3.月经紊乱、停经、泌乳、不能怀孕、性欲性能力改变(多为性能力减退)、体毛减少、皮肤改变(变薄)。
4.肢端肥大症:手脚、头颅、胸廓及肢体进行性增大,手足掌肥厚,手指增粗,远端呈球形,前额隆起,眼眶、颧骨及下颌明显突出,牙缝增宽,口唇变厚,鼻梁宽而扁平,耳廓变大。

▲ 垂体瘤常会引起头痛、视力改变等症状
泌乳素腺瘤导致女性月经紊乱甚至不孕不育
李士其教授介绍,垂体可以分泌很多种激素,有些垂体瘤也能分泌激素,根据这一点,通常把垂体瘤分为两大类,一类有分泌激素的功能,称为功能性垂体瘤,比如泌乳素型垂体瘤(PRL腺瘤)、生长激素型垂体瘤(GH腺瘤)和促肾上腺皮质激素型垂体瘤(ACTH腺瘤)等;另一类没有分泌功能,也称为无功能性垂体瘤。
其中泌乳素腺瘤是最常见的垂体腺瘤,会影响到男性性功能,如性欲下降。更常见的是引起女性的月经紊乱、月经减少、稀少或者是停经,甚至是不孕不育。
泌乳素是一种多肽激素,也叫催乳素(PRL),是一种由垂体前叶腺嗜酸细胞分泌的蛋白质激素,主要作用为促进乳腺发育生长,刺激并维持泌乳,还有刺激卵泡LH受体生成等作用。妇女在怀孕后期及哺乳期,泌乳素分泌旺盛,以促进乳腺发育与泌乳。非孕妇女血清中泌乳素水平最高值一般不会超过20纳克/毫升。
泌乳素对人体内分泌系统起着重要作用,主要影响性腺的功能。小剂量的泌乳素对女性卵巢雌激素、孕激素的合成起促进作用,正常水平的泌乳素对维持黄体功能是必需的。对男性而言,在睾酮存在下,泌乳素能促进前列腺及精囊腺的生长,还可增强促黄体素对间质细胞的作用,使睾酮合成增加。然而,大量的泌乳素分泌则有抑制作用。一般情况下,非泌乳期的女性,高泌乳素水平会干扰性腺的功能。若泌乳素水平过高时,下丘脑水平会减弱黄体生成素的脉冲性分泌,抑制雌激素对下丘脑的正反馈作用,从而阻碍排卵前黄体生成素高峰的发生,影响排卵;同时高泌乳素能抑制颗粒细胞合成孕酮,使孕酮分泌减少,出现性功能障碍、溢乳、闭经与不育等症状。
泌乳素增高要警惕垂体瘤
垂体瘤是引起高泌乳素的常见原因。泌乳素腺瘤是最常见的垂体功能性腺瘤,约占全部垂体腺瘤的45%,是病理性高泌乳素血症的最常见原因,女性多见。
但是查出泌乳素增高了先别惊慌,先想想自己是否有怀孕、哺乳、服用药物这些情况,以及甲状腺功能是否正常,肝肾功能是否异常。
除了生理性的泌乳素的增高和泌乳素的波动外,很多药物影响泌乳素分泌,抗精神分裂的药物会引起高泌乳素的常见药物之一。除了生理性的以及药物引起的高泌乳血症外,就是病理性的和特发性的高泌乳素血症,这些包括垂体泌乳素瘤、垂体空蝶鞍综合征以及暂时发现不了原因的特发性高泌乳素血症。
如果泌乳素增高高于100纳克/毫升,那么应该考虑泌乳素瘤,应该进行核磁共振检查及时确诊。

▲ 青年女性生理期异常要警惕垂体瘤
16岁少女头痛、生理期异常 原来是垂体瘤作祟
16岁的婷婷(化名)是个活泼开朗、爱说爱笑,阳光灿烂的花季少女。可是从上初一开始,婷婷就偶发头痛症状,婷婷父母刚开始以为是她学习压力大导致的。直到后来出现生理期异常,并且身材越来越偏胖,婷婷母亲以为是妇科疾病,遂带着婷婷去医院检查,从县城到省会医院转了个遍,先后看过妇科、内分泌科等,均未检查出异常,经药物治疗效果不佳。
直到现在,婷婷上高一了,头痛症状加剧,生理期异常也不见好转。那么她的问题到底出在哪里?婷婷母亲回想起来,女儿总是莫名其妙地头痛,这些生理期异常会不会和大脑有关?于是,婷婷母亲赶紧带婷婷到省会医院检查大脑。果不其然,当地医院查垂体MR提示鞍内及鞍上异常信号,同时检查泌乳素超过正常水平,考虑为垂体瘤,建议转上级医院进一步检查治疗。婷婷父母经过慎重考虑,便慕名来到上海蓝十字脑科医院寻求进一步治疗。

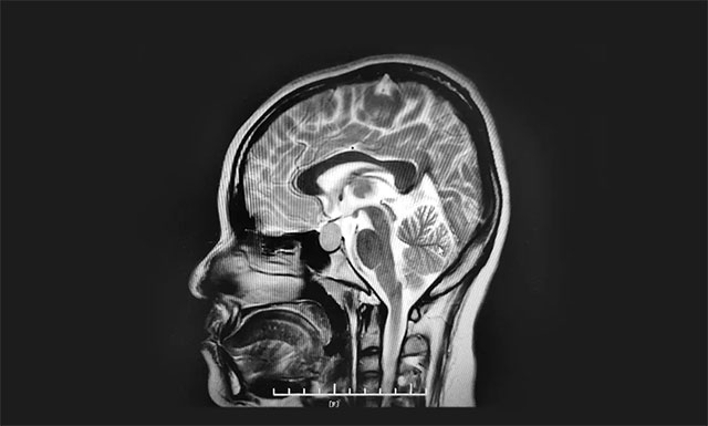
▲ 垂体大腺瘤超蝶鞍生长
鞍区MRI平扫+增强显示:蝶鞍稍扩大,鞍底骨质下陷;鞍内垂体偏左见一枚类椭圆异常信号,大小约1.6*1.4*1.4cm,垂体柄缩短,视交叉上抬。
神经外科6B病区主任潘仁龙主任指出,患者垂体瘤较大,属于垂体大腺瘤,患者的头痛和生理期异常就是垂体瘤在作祟。并且肿瘤已经压迫视神经,手术指征明确,无明显手术禁忌,应及时手术,否则往后发展患者视力也会受损。
5月14日,在征得家属同意后,李士其教授在吴治群博士、黄秀夫医生协助下经蝶窦入路成功为患者进行了手术,显微镜下顺利将鞍内肿物切除。

▲ 李士其教授正在为患者手术
术后,婷婷头痛症状消失,经过检查其体内泌乳素正逐步恢复正常。经过一段时间休养,婷婷现已顺利出院,回家继续上高中学习。
专家提醒
李士其教授提醒,许多女性患者由于月经不调、闭经、不孕而辗转在妇科治疗,她们往往做了很多检查,吃了很多药物,最后到神经外科才确诊为垂体瘤。
还有一些男性患者,因表现为阳痿、性功能下降而自行服用补肾、壮阳药物,结果越补越差,最后因视力下降辗转到神经外科就诊时,往往已经有三四年的性功能下降史。
如果患者出现了以上症状,到妇科、男科治疗无效时,也应该去神经外科作检查,看是否患垂体瘤,以便尽量做到早预防、早发现,早治疗。
上一篇:神经外科李士其教授:视力突然下降要警惕垂体瘤! 下一篇:越长越丑?!这种脑肿瘤会让人“改头换面”并危及生命
近日,上海蓝十字脑科医院神经内科任明博士为核心成员参与完成的...【详细】


