对于脑出血,大家并不陌生,它是一种常见的脑血管疾病,多发于中老年群体,如果治疗不及时,很可能会对患者造成严重的伤害,甚至危及生命。在我们的日常生活中,诱发脑出血的潜在危险因素很多,比如肥胖、酗酒、抽烟等。近年来,熬夜、作息不规律等“过劳”原因导致的急性脑出血事件频频发生,也越来越受到人们的关注。
脑出血发病率高、死亡率高
根据《中国急性脑出血诊治指南》(2018年版),脑出血在脑卒中各亚型中发病率仅次于缺血性脑卒中,居第2位。人群中每年脑出血的发病率为12~15/10万人。在我国,脑出血约占所有脑卒中的比例为18.8%~47.6%。
脑出血发病凶险,病情变化快,致死致残率高。超过70%的患者发生早期血肿扩大或累及脑室,3个月内的死亡率为20%~30%。

▲ 脑出血部位示意图
上海蓝十字脑科医院神经外科6A病区主任侯增欣介绍,脑出血是临床常见高发病率、高死亡率的一类疾病的典型代表,其致死原因主要是脑水肿、颅内压增高以及脑疝形成。
侯主任解释,脑出血的预后与出血的部位、出血的量、意识状态以及有无并发症、是否得到及时的治疗等因素有关。例如发生在脑干的出血预后极差,因为脑干是人体基本生命中枢所在区域,一旦发生大量出血容易形成脑疝,因而许多病人还没来得及抢救就死亡了,非常凶险;而发生在大脑半球的出血则会引起相应的功能缺失,死亡率则相对较低。
过度劳累是脑出血重要诱因
大多出现脑出血的患者常伴有高血压,最常见的病因是高血压合并细、小动脉硬化,其他病因包括脑动静脉畸形、动脉瘤、血液病、梗死后出血、脑淀粉样血管病、烟雾病、脑动脉炎、抗凝或溶栓治疗、瘤卒中等。

日常生活中,许多因素都会增加脑出血的风险,潜在的风险因素包括:超重或肥胖、酗酒或狂饮、吸烟或接触二手烟、过度劳累等等。一项发表于《中国中医急症》的研究,对深圳中青年脑卒中的致病危险因素进行了分析。结果显示,中青年脑卒中致病危险因素较多,其中高血压、血脂异常、高尿酸血症、吸烟、喝酒、熬夜、劳累、压力、动脉硬化是独立危险因素。
“近年来,在中青年人群中,由于工作压力大、通宵熬夜、作息不规律等引发的急性脑出血病例越来越多见,应该引起全社会重视。”侯增欣主任表示。
中年企业主熬夜三天突发脑出血
最近,上海蓝十字脑科医院收治了一位突发急性脑出血的中年男性患者。8月底的一天,48岁的汪先生(化名)无明显诱因出现右侧肢体麻木,很快便不能动弹。之前一段时间,做家具生意的他忙于盘货,还有多场商务应酬。汪先生的家属表示,就在发病前不久,他连着三天三夜没睡觉,顶多抽空在办公室“眯”上一小会儿。
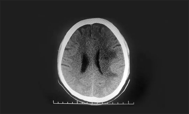
经头颅CT检查,汪先生被诊断为左侧基底节区出血。除了右侧肢体瘫痪,患者还出现了精神躁动、言语不清的情况,病情快速加重。

▲ 患者左侧基底节区二次出血伴水肿带环绕
侯增欣主任表示,脑出血的治疗包括内科治疗和外科治疗,内科治疗主要包括血压、血糖管理,药物治疗(如止血、降颅压、抗癫痫等对症支持治疗)等;如果患者有脑实质出血(如出现神经功能恶化或脑干受压的小脑出血者)、脑室出血、脑积水,且有手术指征者,则应该尽快进行外科手术治疗。
在开展严谨的评估讨论,并明确告知家属手术风险后,侯增欣主任亲自执刀,为患者开展了微创颅内血肿清除手术,通过引流管,将患者颅内的暗红色陈旧血性液体缓慢控制引出。这样,既清除了血肿,解除了对脑重要结构的压迫,又不会对周围正常脑组织造成二次损害,避免加重病情。

▲ 术后CT复查,出血基本已吸收
经过一段时间住院和康复治疗后,汪先生可以自行平稳走动和爬楼梯,语言能力也恢复了正常。“我平时没高血压,熬夜那段时间却频频头痛,当时太忙,疏忽了身体发出的危险信号,以后再也不敢这么拼命了。”汪先生感慨道。
侯增欣主任提醒,脑出血的治疗和恢复是一个漫长的过程,除了早期死亡率高的特点外,幸存者中多数留有不同程度的运动障碍、认知障碍、言语吞咽障碍等后遗症。因此,平时的预防是“重中之重”,应该做到以下几点:
1.控制高血压;
2.生活要有规律,不要过度劳累;
3.保持良好心态,避免情绪激动;
4.注意饮食,戒烟控酒。
脑出血典型症状包括:
1.说话和理解困难:可能会说话含糊不清或难以听懂别人的话。
2.面部或四肢麻木:脸、胳膊或腿可能突然麻木、无力或瘫痪,常发生于身体的一侧。
3.单眼或双眼视力障碍:突然单眼或双眼的视觉模糊或变黑,或者出现视物双影。
4.头痛:突然剧烈的头痛,可能伴有呕吐、头晕或意识改变。
5.行走困难:可能会绊倒或突然头晕,失去平衡或协调能力。
一旦出现剧烈头痛、肢体麻木、言语障碍等症状,应尽快到专业、规范的医院就医。
上一篇:国际交流 | 德国马尔堡大学副校长一行访问上海蓝十字脑科医院 下一篇:40岁男子发热、头痛20余天,以为是呼吸道病毒感染,其实是大病前兆......
近日,上海蓝十字脑科医院神经内科任明博士为核心成员参与完成的...【详细】


