脑卒中俗称“中风”,根据世界医学知名期刊《柳叶刀》披露的数据统计,脑卒中已成为中国人第一大死亡原因,其中脑梗(缺血性卒中)约占全部脑卒中的70%,是脑血液供应障碍引起的脑部病变。脑卒中是一个高发病率、高致残率及高致死率的疾病,一旦发生,会给患者、及其家属和社会造成很大的人力和经济负担,因此对脑卒中早发现、早预防、早治疗是关键。

2018年《中国脑卒中防治报告》显示:根据第六次人口普查数据估算:2017年我国约有196万人死于脑卒中;≥40岁人群现患或曾患脑卒中1242万;病后存活人群中的70%留有不同程度的残疾;“因病致贫和返贫”的重要因素。
脑梗“疾如风”,出现这些症状需警惕
上海蓝十字脑科医院脑血管病病区主任张琪介绍,脑梗“疾如风”,发病非常迅速,属于急症,有的患者睡觉前还好好的,但一觉醒来就发现一侧偏瘫、肢体麻木、言语不清等严重病症。但一般脑梗患者在发生前往往都会出现一些先兆症状,应引起广大患者的注意,具体如下:

脑梗常见先兆症状:
a、肢体症状:动一动,没劲了,突然出现肢体(伴或不伴面部)麻木或者乏力、笨拙,特别是出现在身体的一侧,并站立不稳,很快缓解后又发作,就要当心脑梗的侵袭了。
b、言语症状:笑一笑,嘴歪了,突然言语不清或者言语理解困难,但持续时间短,不超过24小时,应引起重视。
c、眼部症状:看一看,眼花了,突然单眼或者双眼看物体困难,或者看物体模糊。几秒钟或几十秒钟后便完全恢复正常,医学上称单眼一次性黑朦,是脑梗的又一信号。
d、头部症状:不知不觉头痛了,突然眩晕,突然失去平衡,突然没有原因的剧烈头痛、呕吐,几秒钟后便恢复常态,要警惕脑梗的发生。
e、不明跌跤:由于脑血管硬化,引起脑缺血,运动神经失灵,可产生共济失调与平衡障碍,而容易发生跌跤,这也是一种脑梗的先兆症状。
牢记脑梗发生前常见先兆症状,当自己出现以上一种、或多种临床症状时,不能抱着侥幸的心里,缓一缓、动一动就好了,一定要第一时间拨打120急救电话,去正规医院进行诊治,以免延误病情。
突发脑梗肢体麻木,及时溶栓使其脱险
今年7月24日上午,63岁的李女士(化名)和几个闺蜜相约在其中一位朋友家唱卡拉OK,起初身体也没什么异常,但在唱了几首歌之后,突然感觉自己右侧上肢与下肢有些麻木、无力,当时她和朋友们都以为是久坐所致,想着拍拍腿、胳膊就会好了。但二十多分钟后仍无任何缓解,且说话有些含糊,明显感觉自己不对劲的李女士,赶紧联系了丈夫,随后,在她丈夫陪同下,紧急就诊于附近的上海蓝十字脑科医院。

▲ 为患者启动脑卒中急救绿色通道
当天接诊李女士的医生是脑血管病科门诊医生,通过仔细询问李女士的丈夫了解其病史,并结合其刚出现的症状,初步诊断她为急性脑梗死。随后,门诊医生立即将患者转诊于急诊科,同时联系“示范防治卒中中心”组长张琪主任与急诊科齐鸿阁主任,立刻为患者启动脑卒中急救绿色通道。

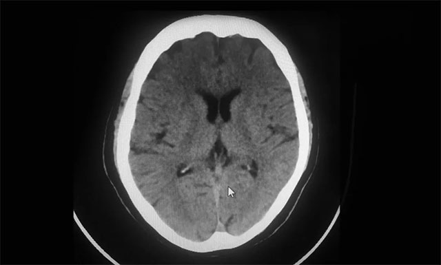
▲ 影像科平扫CT:排除脑出血
从急诊科14:37接诊,患者14:43建立静脉通道,到14:56影像科平扫CT排除脑出血,并告知家属征得同意,再到15:17接受溶栓,急诊科、脑血管病科、影像科、检验科等多个科室通力合作,发挥多学科联动优势,无缝对接,DNT用时为40分钟,为抢救患者的大脑功能赢得了宝贵时间。
溶栓结束后,李女士病情逐渐好转,其言语恢复正常,右上肢恢复良好,肢体肌力基本恢复正常,麻木、无力的情况明显好转;其右下肢麻木、无力情况有所好转,但仍需要一段时间恢复。看到病情好转的妻子,她丈夫感慨良多道:“当时我老婆肢体麻木无力的症状还是蛮严重的,胳膊、腿脚感觉都是别人的,走路更是轻飘,像踩了棉花一样,脚上穿着鞋子自己却感觉不到,且说话不清,这次幸亏蓝十字医护人员诊断明确、救治及时才有惊无险,使我老婆躲过了一劫”。

▲ 溶栓后:患者病情明显好转
对于李女士这次良好的溶栓效果,张琪主任表示,脑血管病尤其是脑梗,是一种急症,时间就是大脑,一旦发病必须第一时间就医。而李女士就医非常及时,从发病到来院就诊仅用了30多分钟,她当时还处于急性脑梗4.5黄金时间窗内,加之分诊与溶栓及时,实现了脑组织再灌注,较好地挽救因缺血而濒死的脑组织,减轻脑细胞的损伤,极大改善了患者恢复的机会。
医院致力于脑卒中防治 打造多学科融合救治体系
张琪主任指出,由于脑组织对缺血和缺氧非常敏感,一旦发生脑梗,如果未得到及时救治,患者将以每分钟190万个神经元细胞死亡的速度丧失脑神经功能,尤其是发病时间超过4.5小时后,脑细胞就会出现不可逆转地死亡。因此,对于脑梗患者应在发病4.5小时内尽可能静脉溶栓治疗,在发病6-8小时内,到有条件的医院可进行适当的急性期血管内干预。
上海蓝十字脑科医院十分重视脑卒中防治工作,于2018年6月成立脑血管病科,同年9月开始进行脑卒中绿色通道的相关建设;医院在引进国内先进卒中中心模式的基础上,探索出了理论、实践并行的专业脑卒中救治模式。并先后联合脑血管病科、神经内外科、急诊科、影像科、检验科、DSA介入手术室、麻醉科等科室,以此打造多学科融合的救治体系,旨在集中脑科医院的专科优势资源,把医院卒中中心水平提升到国内先进水平。

▲ 荣获“示范防治卒中中心”
目前,上海蓝十字脑科医院已成立脑血管病科(7B病区),专门设立了脑卒中急诊,配置多名能独立完成静脉溶栓的卒中医生值班,另有2名具备独立开展取栓治疗能力的神经介入治疗师,可全天候(7天*24小时)待命。搭建了集院前急救、专科救治、院后管理为一体的多学科、多模式“脑卒中急救绿色通道”,该项目获评首批上海市“创新医疗服务品牌”,2019年12月,成为国家卫健委脑防委“示范防治卒中中心”。

▲ 为国家“示范防治卒中中心”揭牌
2020年8月26日,上海蓝十字脑科医院国家示范防治卒中中心正式揭牌,成为长三角卒中专科联盟单位,这为医院发展带来了机遇与挑战,医院将顺势而为,积极作为,不断提升卒中救治能力,让区域内民众享受同质化的治疗水平,为健康闵行、健康中国作出更大的贡献。
上一篇:要闻 | 国家示范防治卒中中心揭牌仪式暨卒中防治新进展学术论坛在上海蓝十字脑科医院顺利举行 下一篇:警惕!第三大运动障碍疾病——肌张力障碍,致残率高并可严重影响患者的生命质量
近日,在由市、区级行业协会、护理学会、医学会等主办的多项健康...【详细】


