胶质瘤是颅内最常见的恶性肿瘤,发病率占颅内原发性肿瘤的50%,居第1位。多见于成人,好发部位以额叶、颞叶、顶叶居多。胶质瘤患者男性发病率高于女性,发病年龄以成人多见,30-40岁为发病高峰年龄。不同病理类型的胶质瘤各有其高发年龄,室管膜瘤的高发年龄在10岁以前,星形细胞瘤多见于中年人,老年人以胶质母细胞瘤多见。
胶质瘤的临床症状主要分为
(1)由肿瘤占位引起的高颅压症状,即由于颅内压增高,引起患者头疼、恶心、呕吐、眼底水肿等症状。其中,呕吐并不同于普通的吃东西导致的恶心、呕吐,而是一种喷射性呕吐。
(2)肿瘤侵犯不同的功能区,导致不同的功能障碍。发生在额叶的胶质瘤会表现为精神行为的改变,尤其是老年人的额叶胶质瘤,会出现反映迟钝、精神行为异常,甚至随地大小便等;颞叶主管人体的语言和听觉中枢,如果胶质瘤发生在此处,就可能出现感音性失语,就是别人说话,患者听不懂,答非所问;发生在枕叶的胶质瘤会导致患者出现视野缺损;还有一种胶质瘤发生在大脑运动功能区,如大脑中央前回和中央后回,患者会出现感觉障碍或者运动障碍,也就是偏瘫或半身麻木等。
(3)绝大部分脑胶质瘤的患者都以癫痫发作为主要表现,肿瘤发生的位置不同,癫痫发作的部位也不一样。
胶质瘤治疗:以手术为主的综合治疗
根据世界卫生组织(WHO)制定的分级系统,将脑胶质瘤分为Ⅰ级到Ⅳ级。应该注意:Ⅰ级与Ⅱ级胶质瘤生长缓慢,大脑逐渐适应。当出现癫痫小发作、性格改变、记忆与学习障碍等症状时应尽早进行影像学检查。临床上,CT诊断胶质瘤病较为困难,MRI(核磁共振成像)在发现和显示肿瘤范围方面比CT更为清晰和敏感。
对神经胶质瘤的治疗以手术治疗为主,胶质瘤的手术切除原则是既要尽可能彻底切除肿瘤,缓解颅内压增高和占位效应,改善神经功能,又要尽可能保护脑重要的功能区。胶质瘤手术切除的主要目的是获得精准的病理诊断,为选择合适的后续治疗提供组织学依据;切除肿瘤消除占位,降低颅压;减轻肿瘤引起的神经系统症状和体征。
但由于肿瘤浸润性生长,与脑组织间无明显边界,除早期肿瘤小且位于适当部位者外,一般都主张综合治疗,通过手术全切或近全切为放疗和化疗等联合治疗创造条件,即术后配合以放射治疗、化学治疗等,可延缓复发及延长生存期。
李士其教授执刀 成功切除肿瘤
近期,上海蓝十字脑科医院神经外科6B病区收治了一位胶质瘤患者,并成功完为他进行了手术。患者两个月前,突然出现头晕还伴有左侧下肢肢体无力,经当地医院检查可能是可能是血管源性病变或脑肿瘤,后转入上海蓝十字脑科医院进一步治疗。
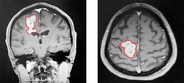
到院时,患者左下肢肌力明显下降,走路不稳。头颅MRI平扫+增强+MRS+MRSI提示:右侧顶叶占位性病变。根据患者影像学检查及检验结果分析,专家认为颅内肿瘤恶性可能性大,并肿瘤性质不明,造成患者生活质量下降,应尽快行手术治疗,明确病理诊断。

▲ MR显示肿瘤近4厘米大小
由于肿瘤位于患者右侧中央功能区,术中可能触及功能区及重要血管,手术极易造成神经功能障碍,造成患者术后肢体瘫痪,语言功能障碍等。术中术者对肿瘤边界的辨识、显微手术技巧、术区止血、周围脑组织的保护等任何一点稍有疏忽都可能出现灾难性后果,手术难度不言而喻。
李士其教授在助手吴治群博士协助下,双极电凝沿肿瘤边界,在充分保护神经功前的前提下,历时三小时,最终2.0*3.0*3.8厘米大的肿瘤被切除。

▲ 李士其教授在紧张手术中
术后病理确定为胶质瘤Ⅲ级,李士其教授据此与放疗科专家行MDT讨论,制定进一步放化疗方案。由于手术的成功为后续的放化疗打下了良好的基础,从而提高患者生存质量。同时专家叮嘱患者以后要定期检查,以防再次复发和恶化。
李士其教授提醒,对于胶质瘤应争取做到早期确诊,及时治疗,以提高治疗效果。晚期不但手术困难,危险性大,并常遗有神经功能缺失。
(注:部分图片来源于网络,如有侵权请联系删除。)
上一篇:视力下降、视野缺损是眼睛出问题了吗? 下一篇:放疗科:从每一个细节入手、用心服务,用爱导航
科学运动,重在适度。只有充分了解自身条件,合理规划锻炼强度,...【详细】


