脑膜瘤是神经外科常见的颅内肿瘤之一,发病率占颅内肿瘤的19.2%,仅次于胶质瘤,居第2位。一般而言,脑膜瘤属于良性肿瘤,生长慢,病程长。但有一种类型的脑膜瘤,体积很小时患者就可能出现明显症状,其位置毗邻鞍区重要神经血管结构,随着肿瘤不断生长会逐渐压迫神经和动脉血管,产生视力下降、嗅觉障碍等症状。这,就是蝶骨嵴内侧脑膜瘤。
眼花头晕竟查出脑膜瘤
胡女士(化名)今年56岁,前段时间视力出现明显下降,双侧视力在0.5上下,起初她觉得可能是老眼昏花,并没有太在意。“五一”黄金周期间,胡女士出现无明显诱因的头晕和恶心呕吐,遂前往当地医院就诊。
经检查,其右侧前颅窝区占位,考虑脑膜瘤。“除了头晕呕吐,并没有其他明显不适症状,不想竟然生了脑瘤。”胡女士和家人对诊断结果大吃一惊。

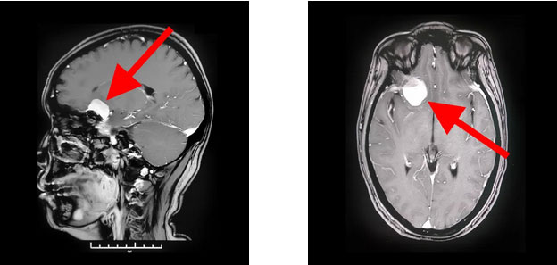
为寻求进一步治疗,经亲友推荐,胡女士慕名前来上海蓝十字脑科医院。入院后,行头颅磁共振增强扫描后确认,患者右侧颅底蝶骨嵴-鞍结节区实性占位,考虑为脑膜瘤且血供丰富;右侧大脑前动脉A1段与瘤灶贴近。
上海蓝十字脑科医院神经外科主任沈建康教授表示,蝶骨嵴脑膜瘤的临床表现取决于肿瘤的部位,内侧型早期症状明显,患者早期可出现脑神经受压表现,如视力下降等。如肿瘤向眼眶内或眶上裂侵犯,眼静脉回流受阻,患者可以有眼球突出等症状。内侧型患者还可出现嗅觉障碍和精神症状,但较为少见。
外侧型蝶骨嵴脑膜瘤症状出现较晚,早期仅有头痛而缺乏定位体征,一部分患者可以表现为颞叶癫痫发作,如肿瘤侵犯颞骨可出现颧颞部骨质隆起。两种类型的肿瘤在生长较大时,均会引起对侧肢体肌力减退和颅内压增高。
肿瘤个头虽不大 手术难度却很大
颅脑肿瘤的治疗,首选外科手术方式。而手术切除肿瘤的难度,取决于肿瘤生长的位置和大小。

▲ 蝶骨嵴脑膜瘤周围多重要神经血管
上海蓝十字脑科医院神经外科主任沈建康教授指出,患者的脑肿瘤直径约3厘米,只有“鸽子蛋”大小,体积并不大。但蝶骨嵴脑膜瘤由于位置比较特殊,肿瘤有可能和血管神经粘连紧密,手术难度和风险都很大。如果没有做到全切除,肿瘤易复发,可能需要再次手术;术中若损伤瘤体周围神经血管,则可能导致患者残疾,甚至危及生命。

▲ 沈教授(右)与吴治群博士(左)讨论患者病情
在颅底肿瘤切除方面有着丰富手术经验的沈建康教授,与神经外科6B病区潘仁龙主任、吴治群博士团队开展了严谨的术前评估工作。沈教授指出,随着脑膜瘤的不断生长,患者视神经等重要神经和动脉血管将进一步被压迫。通过手术切除肿瘤,可解除肿瘤对周围组织的压迫,改善症状。
患者手术指征明确,在完善相关预案,明确告知患者和家属手术风险并获得签字同意后,沈建康教授在吴治群博士的协助下,为患者实施了经翼点小骨窗入路蝶骨嵴脑膜瘤切除手术。

▲ 借助蔡司显微镜(双荧光),沈教授开展高难度手术
通过蔡司显微镜(双荧光)下可见,患者蝶骨嵴内侧硬脑膜下有淡红色肿物,血供丰富。肿物大小约2.5cm*2.5cm*1.5cm,肿瘤与额叶底面脑组织粘连,并有较多血管沟通。沈教授聚精会神,抽丝剥茧地自蝶骨嵴位置基底部将肿物从硬脑膜分离。在镜下保护好视神经和颈内动脉、大脑中动脉、大脑前动脉等大血管,“蚂蚁搬家”般将只有“鸽子蛋”大小的肿物一点一点逐步切除。整台手术历时近5个小时,患者术中失血约100毫升,未进行输血,安返监护室后进一步观察。经病理检查,该肿瘤确诊为脑膜瘤。

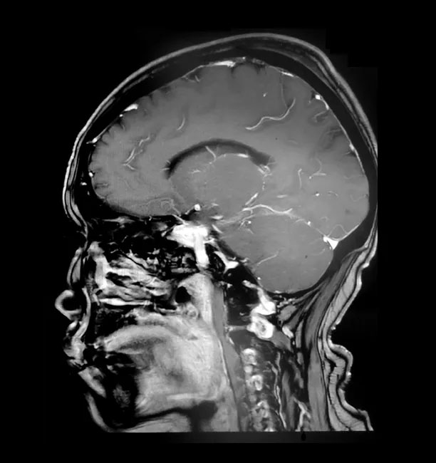
▲ 术后影像显示,肿瘤已被切除
术后一周,胡女士恢复情况良好,没有出现偏瘫失明等功能障碍和其他明显并发症。
目前,胡女士正在康复中,不久将顺利出院。
脑膜瘤宜早发现、早手术
脑膜瘤是起源于脑膜及脑膜间隙的衍生物。约50%位于矢状窦旁,另大脑凸面、大脑镰旁者多见,其次为蝶骨嵴、鞍结节、嗅沟、小脑桥脑角与小脑幕等部位。
沈建康教授表示,脑膜瘤的常见症状包括:颅内压增高表现(如:头痛头晕、恶心呕吐等)、神经功能障碍(肢体无力、肢体感觉障碍、言语不利等)、癫痫等。
一些特殊部位脑膜瘤,如本次手术的蝶骨嵴内侧型脑膜瘤可出现单眼视力减退或失明,视野缺损等。而大型蝶骨嵴脑膜瘤可包绕颈内动脉或压迫大脑后动脉,引起脑梗死。
蝶骨嵴内侧型脑膜瘤因其常邻近海绵窦,第Ⅲ、Ⅳ、Ⅵ脑神经,视神经,视交叉,垂体,下丘脑等,通过手术全切除存在许多困难。不过,如今在先进的显微镜设备辅助下,可有效提高脑膜瘤的全切率,降低手术风险。
沈教授提醒,随着肿瘤的生长,蝶骨嵴脑膜瘤会逐渐压迫神经和动脉,手术难度也会进一步提高,因此临床上建议患者在出现症状后应尽早就诊,及时手术。
上一篇:落实任务 勇于担当 | 蓝十字举办年度科室目标管理责任书签字仪式 下一篇:凝心聚力“迎评”创优——上海蓝十字脑科医院组织开展首次“双评”模拟评审
近日,上海蓝十字脑科医院在学科建设与人才引进方面取得重要进展...【详细】


