2020年1月开始,新冠病毒COVID-19感染的肺炎疫情来势汹汹,非新冠肺炎危重疾病的临床救治工作也遇到很多困难。既要防控疫情,又要拯救患者,两手抓两不误。在上海蓝十字脑科医院,活跃着这样一支生机勃勃、兢兢业业又勤于学习的“生力军”,他们就是医院脑血管病科张琪博士团队。
以心为灯 患者救治“疫”刻不能停
张琪博士领衔的脑血管病科(7B病区),是一支朝气蓬勃的团队,从内科到外科,相互协作,优势互补,能为脑血管病患者提供综合诊疗服务。
“以心为灯,愿做生命的守护天使”——就在最近,张琪博士团队收到了一面真情满满的锦旗。

▲ 患者送上锦旗致谢
原来,去年10月中旬,47岁的汪先生(化名)骑车时不慎摔倒,头部重重撞击地面当场失去意识,被路人发现后紧急拨打“120”送至就近医院抢救。经检查,汪先生这一摔着实凶险:蛛网膜下腔出血、右侧额部硬膜下出血、双侧额叶脑挫伤、左侧额顶部软组织肿胀、左侧颞骨骨折。经急救,汪先生虽然暂时脱离了生命危险,但仍然昏迷不醒。去年11月中旬,汪先生家属慕名将患者转至上海蓝十字脑科医院,寻求进一步治疗。
入院时,汪先生神志昏迷、气管切开无法自主呼吸、鼻饲饮食、留置尿管,可以说处于“植物人”状态。像这样的脑出血昏迷患者,病情随时可能恶化,张琪博士团队为患者完善相关检查,结合既往病史,多次开展病情讨论评估,制定了有针对性的治疗方案。鉴于患者有中度脑积水,严重影响意识恢复,张琪博士亲自为患者进行了脑室-腹腔分流手术。

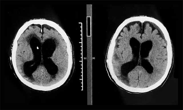
▲ 术前(左)和出院前(右)CT比对,患者原先扩张的脑室已缩小,症状改善明显
手术非常顺利,汪先生的意识也逐渐恢复。
然而,突如其来的新冠肺炎疫情,让患者家属心里本已落下的石头再度高悬。由于医院疫情防控需要,家属无法正常探视陪伴,面对未知状况,患者和家属都有些焦虑不安。为此,病区医护人员一边不厌其烦地向患者家属解释疫情防控的重要性,一边详细讲解患者后续治疗方案,并通过微信视频让家属能实时掌握汪先生的恢复情况。“眼见为实”,看到亲人健康状况一天天好转,家属终于放心了。
3月上旬,经过专业系统的治疗康复后,入院时陷入昏迷的汪先生已神志清楚,精神状态良好,肢体、语言等功能有所恢复。出院时,汪先生和家属为张琪博士团队送上了制作精美的锦旗,由衷感谢医护人员在特殊时期,克服重重困难,尽心尽责照顾像汪先生这样病情较重的患者,点亮生命的希望之光。
将心比心 有呼必有应
疫情期间,医院脑血管病科7B病区47张住院床位爆满,多为卒中后治疗和康复过程中的病患,且以老年人居多。病区医护人员一方面要严格落实执行医院的各项防疫管控措施,另一方面则要时刻关注患者的病情变化,尤其在人手有限的春节假期,整个团队可谓“压力山大”。

▲ 正月初三早晨,张琪博士(中)与刘春医生查看患者病情
春节期间,张琪博士主动放弃休息,深入临床一线。作为脑血管病科主任,他经常要参与其他科室的会诊讨论,并为患者开展DSA全脑血管造影检查,为明确治疗方案提供重要依据。科室骨干医生刘春,整个春节期间坚持在病区值守,任劳任怨;另一位骨干医生周林华根据医院要求提前结束假期,从家乡返沪,完成居家隔离观察后也马上返岗投入工作。
47名住院患者的病情瞬息万变,疫情防控下的医疗护理工作变得异常繁忙。“小姑娘,我这两天呛咳厉害,是不是感染肺炎了?”、“大夫,我觉得自己已经好了,什么时候能出院?”……疫情的蔓延,加上医院严格的防控措施,让一些住院患者出现了情绪波动,有时甚至过于敏感,烦躁不安。

▲ 张琪博士和护士长张秀娟查看叶先生病情
年近七旬的叶先生(化名)是一位受人尊敬的退休教师,在病区接受脑出血术后康复治疗。天有不测风云,叶先生的爱人前段时间因病不得不去外院进行手术,导致他很长时间没有家人陪护。外面新冠肺炎疫情肆虐,自己卧病在床行动不便,爱人手术不能相伴,这让自尊心很强的叶先生一度落寞消沉。
“将心比心,这段时间如果自己的亲人正在住院,肯定也很焦急,所以我们就把他们当自己的爷爷奶奶来照顾。”7B病区护士长张秀娟带领的护理团队发现叶先生的异常表现后,立即将其列为“重点照顾对象”。一有空闲,护士便会来到叶先生的病床前跟他“唠家常”,还积极鼓励帮助他做康复训练。护士姑娘们一声声亲切的“爷爷”,让叶老先生心头的“坚冰”渐渐融化。从抗拒到接受,从拘束到亲和,叶先生的不良情绪也在一次次真诚的沟通安慰中被化解。“我一直担心他闷闷不乐影响恢复,这段时间真是辛苦你们了!”叶先生的爱人感激地表示。
除了坚持做好住院病患的治疗护理工作外,对于已出院患者的求助,张琪博士团队也丝毫没有懈怠,力争提供优质服务。一位脑梗患者在疫情发生前已顺利出院返回老家,他本打算过完春节后回医院继续康复治疗,结果却因受疫情影响无法成行。

▲ 张琪博士和病区康复组长共同为患者解决困难
“主任,你帮我想想办法,在家待不住了,我要尽早去做康复。”3月初,张琪博士的微信收到了患者的求助信息。他一边安抚焦虑的患者,一边马上跟病区康复组长彭建文取得联系。工作本来就很繁忙的彭建文二话不说,利用下班休息时间,通过微信为患者“直播”了一些简单易操作的康复锻炼动作要领,帮患者解决了烦恼。
用心进取 学科钻研不停步
为做好疫情防控,避免人员聚集,受到广大医护人员欢迎的院级学科教研活动不得不按下“暂停键”。但在脑血管病科,自发学习的热情却并未熄灭。

▲ 张琪博士团队利用午休时间开展培训
张琪博士指出,除了急性期的救治工作外,脑血管病的预防、康复同样非常重要,是一个复杂专业的系统工程,科室成员面临着知识和技能水平不断巩固和更新的挑战。
为此,在疫情期间,脑血管病科利用午休时间,每周不定期开展小规模的内部学习培训OJT(On the Job Training,在职培训),由医生轮流准备主题和课件,开展讲解和互动交流。

▲ 利用早交班会开展病例讨论
“江XX,男,51岁,2020年1月23日入院……”为进一步加深科室医生对患者病情的了解,培养主动分析问题、解决问题的能力,脑血管病科还利用早交班会进行病例演示,并对下一步治疗方案展开评估讨论。
脑卒中,已经成为中国人第一大死亡原因。以脑卒中为主的各类脑血管疾病,长期以来是威胁人类健康的“致命杀手”。张琪博士指出,战胜新冠肺炎疫情的曙光已经显现,对他的团队来说,脑血管病防治的“战疫”还任重而道远。
去年12月,上海蓝十字脑科医院成为国家卫健委脑防委“示范防治卒中中心”,标志着医院脑血管病防治工作获得专业认可。在张琪博士看来,这既是机遇也是挑战。接下来,进一步完善覆盖“全生命周期”的关护闭环:即从健康管理和疾病预警、院前急救、院内绿色通道、诊断和治疗、神经重症监护到卒中康复和二级预防,真正做到“以病人为中心”,将是医院脑血管病科和兄弟科室共同为之努力奋斗的目标。
健康所系,生命相托!
战“疫”防“疫”,我们从未停止脚步!
——张琪
上一篇:恪尽职守 防疫战疫勇担当(下篇)—— 访上海蓝十字脑科医院院感科科长李文英 下一篇:疫情期间,针对4类不同人群心理危机如何进行干预?
头晕、耳鸣等这些看似普通的身体信号,有时也可能是颅内一种“沉...【详细】


