面肌痉挛有哪些诊断依据?面肌痉挛对患者的危害非常大,了解面肌痉挛的相关诊断依据,便于尽早发现本病并及时进行治疗。

面肌痉挛有哪些诊断依据:
1.临床表现:为本病的主要诊断依据,首发症状为一侧眼睑不自主跳动。随病情发展,可逐渐由上向下扩展至同侧其他面肌。受累面肌会出现阵发性、快速、不规律的抽搐,病初仅持续数秒,以口角抽搐引人注意;情绪紧张及过度疲劳可诱发或加重痉挛,多数在入睡后停止,但患者对此症状不能进行自我控制;病变严重者,可出现患侧眼睛无法睁开、口角歪斜的表现;抽搐呈间歇性发作,患者在间歇期无异常表现。
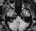
2.面部检查:在做常规检查前,患者可行初步自我检查,如两侧眼睛是否对称、皱眉时两侧幅度是否一致、抬眉时是否出现额部皱纹等;常规检查以肌电图及脑电图检查为常见,用电刺激患侧眶上神经时,同侧眼轮匝肌及其他面神经支配的肌肉出现同步收缩,这是本病的主要特点。正常者或其他面部疾病者进行此检查时,仅引起患侧眼轮匝肌的收缩;为排除乳突及颅骨病变,应进行乳突及颅骨X线摄片、头颅CT及MRI,以进行终确诊。
微血管减压术:从病因上治疗面肌痉挛的科学手段
“面肌痉挛是因颅内血管压迫面神经根所致,一旦将血管对神经根的压迫解除,面肌痉挛可立即或逐渐停止。”
“微血管减压术”治疗面肌痉挛,因其效果确切,不易复发,极少造成面部感觉障碍,并且随着手术显微镜的发展,出现并发症的几率很低,为越来越多的患者所接受。该类手术的治疗原理是在手术显微镜下将位于面神经根部走行异常、并对面神经造成压迫的血管推移离开并固定,使血管不接触到面神经,从而解除血管对面神经根部的压迫,恢复面神经的正常功能,消除患者的痛苦,是目前治疗面肌痉挛疾病比较理想的治疗方法。该手术具有时间短、出血少、痛苦小、见效快等特点。
面肌痉挛疾病的成功治疗,首先是有高场强磁共振技术支持,使压迫神经的微血管在磁共振上一览无余。
上一篇:导致面肌痉挛的原因是什么 下一篇:面肌痉挛有哪些治疗措施
近日,上海蓝十字脑科医院神经内科任明博士为核心成员参与完成的...【详细】


